Amelogenesis imperfecta
La amelogenesis imperfecta es una enfermedad genética que se presenta con formación anormal del esmalte o capa externa de los dientes. El esmalte está compuesto principalmente por mineral, que es formado y regulado por las proteínas en él. La amelogenesis imperfecta es debida al mal funcionamiento de las proteínas en el esmalte: ameloblastina, enamelina, tuftelina y amelogenina.
| Amelogenesis imperfecta | ||
|---|---|---|
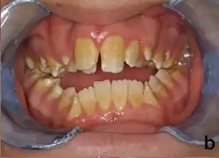
![]() Amelogénesis imperfecta, tipo hipoplásico. Nótese la asociación de esmalte picado y mordida abierta. | ||
| Especialidad | odontología | |
Las personas afectadas con amelogenesis imperfecta tienen dientes con color anormal: amarillo, marrón o gris. Los dientes tienen un mayor riesgo de sufrir cavidades dentales y son hipersensitivos a los cambios de temperatura. Este desorden puede afectar cualquier número de dientes.
Genética
Hasta la fecha, mutaciones en los genes: AMELX, ENAM, MMP20, y KLK-4 han sido encontrados de causar amelogenesis imperfecta (forma no-sindrómica).
Los genes AMELX, ENAM, KLK-4 y MMP20 proveen instrucciones para producir proteínas que son esenciales para el normal desarrollo de los dientes. Estas proteínas están involucradas en la formación del esmalte, el cual es duro, material rico en calcio que forma la capa exterior de cada diente.
Las mutaciones en algunos de estos genes alteran la estructura de estas proteínas o incluso impiden a los genes producir por completo las proteínas. Como resultado el esmalte dental es anormalmente fino o suave y puede tener un color amarillo o marrón. Los dientes con esmalte defectuoso son débiles y fácilmente dañados.
Los investigadores están buscando mutaciones en otros genes que puedan también causar amelogenesis imperfecta.
La amelogenesis imperfecta puede tener diferentes patrones de herencia dependiendo del gen que es alterado. La mayoría de los casos son causados por mutaciones en el gen ENAM, y son heredados con un patrón autosómico dominante. Este tipo de herencia significa que una copia del gen alterado en cada célula es suficiente para causar el desorden.
La amelogenesis imperfecta es también heredada en un patrón autosómico recesivo; esta forma de desorden puede resultar de mutaciones en el gen ENAM or MMP20. Una herencia autosómico recesiva significa que dos copias del gen en cada célula están alteradas.
Cerca del 5% de los casos de amelogenesis imperfecta son causadas por mutaciones en el gen AMELX y están vinculadas a un patrón de enlace X. Una condición se considera enlazada X si el gen mutado que causa el desorden se localiza en el cromosoma X, uno de los dos cromosomas sexuales. En muchos casos, el macho con una forma enlazada X de esta condición experimenta más severas anormalidades dentales que una hembra afectada.
Otros casos de esta condición resultan de nuevas mutaciones de genes y ocurren en gente sin historia de desórdenes genéticos en su familia. así pues la amelogenesis imperfecta muta nuevamente.
Tratamiento
Las directrices actuales para el tratamiento de restauración sugieren que se debe cubrir la superficie dental con composite directo o carillas de composite hasta la edad adulta y se recomiendan las coronas de acero inoxidable para los primeros molares permanentes como una solución temporal en la infancia y adolescencia.
Los pacientes con Amelogénesis Imperfecta a menudo piden un tratamiento más permanente en una edad temprana.[1]
Referencias
- Pousette Lundgren, Gunilla; Karsten, Agneta; Dahllöf, Göran (10 de diciembre de 2015). «Oral health-related quality of life before and after crown therapy in young patients with amelogenesis imperfecta». Health and Quality of Life Outcomes (en inglés) 13 (1). PMC 4676094. PMID 26651486. doi:10.1186/s12955-015-0393-3. Consultado el 3 de marzo de 2016.
