Astrocitoma
Los astrocitomas son un grupo de neoplasias intracraneales primarias del sistema nervioso central que aparecen en el parénquima cerebral y que rara vez producen metástasis a otros tejidos. La célula predominante en estos tumores deriva de los astrocitos que se han vuelto inmortales[1] y constituyen aproximadamente un 80 % de los tumores neuroepiteliales.[2][3]
| Astrocitoma | ||
|---|---|---|
![]() | ||
| Especialidad |
oncología neurocirugía | |
| Sinónimos | ||
| Tumor astrocítico | ||
No existen pautas precisas para la prevención porque se desconoce la causa exacta de la aparición de un astrocitoma.
Clasificación
En 1993, la Organización Mundial de la Salud (OMS) estableció los criterios para clasificar los astrocitomas en 4 grados basados en sus características histológicas:[4]
- Grado I: Astrocitoma de bajo grado, poco frecuentes que cursan con un excelente pronóstico después de su extirpación, aparecen en niños más que en adultos.
- Grado II: Astrocitoma propiamente dicho, que junto con el grado I constituyen aproximadamente un 6 % de todos los tumores de cerebro reportados.
- Grado III: Astrocitoma anaplásico, un tumor difuso, infiltrante caracterizado por anaplasia dispersa y elevado potencial proliferativo, por lo general aparecen de un astrocitoma de bajo grado aunque pueden ser diagnosticados sin un precursor. Igualmente, tienen un potencial intrínseco de progresar a un glioblastoma maligno. Son tumores predominantes en personas de raza blanca y en la quinta década de vida.[5]
- Grado IV: Glioblastoma multiforme, el más frecuente con una incidencia máxima a los 65 años aproximadamente y crece principalmente en los hemisferios cerebrales y tiende a ser el tumor más agresivo, clínicamente, entre los astrocitomas. La supervivencia de pacientes con glioblastoma multiforme se extiende a unos 12 meses con tratamiento quirúrgico agresivo junto con radioterapia y quimioterapia. La supervivencia de 5 años no suele subir del 3 %.[6][7] Es posible que un astrocitoma que inicialmente fue de bajo grado recurra a una forma más agresiva y extensa.[4]
Existe una clasificación de los tumores del sistema nervioso central de la OMS de 2016.[8]
Diagnóstico

Se debe realizar una evaluación neurológica si el paciente presenta signos crecientes de disfunción mental, nuevos ataques, dolores de cabeza persistentes evidencia de presión dentro del cráneo, como vómito, hinchazón o una protuberancia en la mancha ciega en la parte posterior del ojo. El neurólogo (especialista que ha recibido capacitación especial y adicional en el diagnóstico y tratamiento de desórdenes del cerebro, médula y nervios de la columna) realizará un examen completo, el cual puede incluir una resonancia magnética (RM) escáner, una tomografía computarizada (TC o TAC) escáner o unos rayos X del tórax para determinar si el tumor se ha extendido desde alguna otra parte del cuerpo. La RM encuentra por lo general astrocitomas de bajo grado antes que una TC. La angiografía cerebral se utiliza muy rara vez para diagnosticar un tumor cerebral, pero se puede realizar antes de una cirugía. Dependiendo de los síntomas que presente el paciente se realizarán pruebas especializadas. Estas pruebas incluyen el campo visual, la agudeza visual y la audición. Si los resultados de otras pruebas no son concluyentes, se puede realizar un examen del líquido cefalorraquídeo, que rodea el cerebro y la médula espinal. Esto por lo general es necesario.[9]
Generalmente se requiere una tomografía axial computarizada (TAC) o una resonancia magnética (IRM) para caracterizar el tumor y la extensión, incluyendo el tamaño, la ubicación y su consistencia. La TAC usualmente muestra distorsiones en los ventrículos tercero y lateral con desplazamiento de las arterias cerebrales anterior y media. El análisis histológico es requerido para estadificar el diagnóstico. Adicionalmente, se acostumbra realizar un examen médico completo, con el fin de verificar la integridad neurológica del individuo, incluidos visión, balance, coordinación y estado mental. Las biopsias de tumores cerebrales son procedimientos quirúrgicos dirigidos por un neurocirujano, las cuales son estadificadas dependiendo del tipo de células presentes, el grado de diferenciación y la cantidad de vasos sanguíneos.
1. Astrocitoma de bajo grado del mesencéfalo (lámina tecti), resonancia magnética sagital ponderada en T1 después de la administración de medio de contraste: el tumor está marcado con una flecha. Los espacios del LCR frente al tumor se expanden debido a la hidrocefalia interna inducida por compresión..
Una muestra patológica de un astrocitoma gemistocítico.
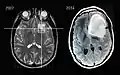
Imágenes por resonancia magnética de un paciente con astrocitoma, que muestran la progresión del tumor en el transcurso de siete años
La actividad mitótica de las células que componen el tumor se correlaciona con el curso clínico del mismo, haciendo posible detectar por medio de anticuerpos el grado de proliferación de estas células neoplásicas, mediante su tinción inmunohistoquímica. Para ello se utiliza un antígeno nuclear de células proliferativas o PCNA (por sus siglas en inglés proliferating cell nuclear antigen) o mediante un anticuerpo monoclonal denominado Ki-67, que reconoce a una proteína histona que sólo se expresa en las células que proliferan, proporcionando detalles sobre la síntesis de ADN de las células malignas.[4]
Tratamiento
Para los astrocitomas de bajo grado, la extirpación del tumor por lo general permitirá la supervivencia funcional por varios años. Algunos informes han demostrado una supervivencia mayor a 90 % a los 7 años cuando se extirpa el tumor. Algunos tumores como los astrocitomas pilocíticos, son procesos indolentes que permiten la función neurológica a pesar de su presencia. Sin embargo, el dejarlos sin atención médica hará que evolucionen apareciendo transformaciones neoplásicas. Por razón del alto grado de infiltración difusa por el parénquima cerebral de la mayoría de los astrocitomas, resulta imposible extirpar el tumor completamente. Por tal razón, los astrocitomas de alto grado recurren después de cierto tiempo pasada la terapia quirúrgica. A pesar de varias décadas de investigación terapéutica, la intervención curativa para los astrocitomas más agresivos es muy pobre, de modo que el cuidado médico radica principalmente en el manejo paliativo del individuo. Ocasionalmente se usan glucocorticoides para el tratamiento de estas neoplasias, en especial las de alto grado.[4]
Referencias
- Dorland's Medical Dictionary. Dorland. 2007. ISBN 141602364-X.
- Peri, Camille. «What Is Astrocytoma?». WebMD (en inglés). Consultado el 14 de noviembre de 2021.
- Kapoor, Mayank; Gupta, Vikas (2021). Astrocytoma. StatPearls Publishing. Consultado el 14 de noviembre de 2021.
- Harrison Principios de Medicina Interna 16a edición (2006). «Tumores cerebrales primarios». Harrison online en español. McGraw-Hill. Archivado desde el original el 27 de octubre de 2008. Consultado el 17 de julio de 2008.
- PEREZ ORTIZ, Letier, RODRIGUEZ RAMOS, Eglys, FIGUEREDO RODRIGUEZ, Roger et al. Astrocitoma anaplásico y glioblastoma multiforme: Factores que influyen en la supervivencia. Rev Cubana Cir [online]. 2001, vol. 40, no. 2 [citado 2008-07-17], pp. 87-91. Disponible en: . ISSN 0034-7493.
- Buckner JC, Brown PD, O'Neill BP, Meyer FB, Wetmore CJ and Uhm JH (2007). «Central Nervous System Tumors». Mayo Clinic Proceedings 82: 1271-86. PMID 17908533.
- Central Brain Tumor Registry of the United States, http://www.cbtrus.org/
- Louis, David N.; Perry, Arie; Reifenberger, Guido; von Deimling, Andreas; Figarella-Branger, Dominique; Cavenee, Webster K.; Ohgaki, Hiroko; Wiestler, Otmar D. et al. (1 de junio de 2016). «The 2016 World Health Organization Classification of Tumors of the Central Nervous System: a summary». Acta Neuropathologica (en inglés) 131 (6): 803-820. ISSN 1432-0533. doi:10.1007/s00401-016-1545-1. Consultado el 14 de noviembre de 2021.
- «Copia archivada». Archivado desde el original el 25 de febrero de 2016. Consultado el 26 de septiembre de 2014.
