Bronquiolitis obliterante
La bronquiolitis obliterante (OB), también conocida como bronquiolitis constrictiva y pulmón de palomitas de maíz, es una enfermedad que provoca la obstrucción de las vías respiratorias más pequeñas de los pulmones, los bronquiolos, debido a inflamación.[1][6] Los síntomas incluyen tos seca, dificultad para respirar, sibilancias y sensación de cansancio.[1] Estos síntomas por lo general empeoran en el transcurso de semanas o meses.[3] No está relacionado con la neumonía organizada criptogénica, anteriormente conocida como bronquiolitis obliterante con neumonía organizada.[3]
| Bronquiolitis obliterante (BO)[1] | ||
|---|---|---|
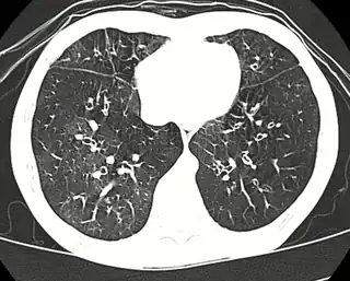
![]() Tomografía computada de alta resolución mostrando una bronquiolitis obliterante con atenuación en mosaico, broquiectasias, atrapamiento aéreo y engrosamiento bronquial[2] | ||
| Especialidad | neumología | |
| Síntomas | Tos seca, falta de aire, sibilancias, fatiga[1] | |
| Inicio habitual | Empeora en el transcurso de semanas a meses[3] | |
| Causas | Vapores tóxicos, infecciones respiratorias, enfermedad del tejido conectivo, secundaria a trasplante de médula ósea o trasplante de corazón y pulmón[1] | |
| Diagnóstico | Tomografía computada, pruebas de funcionalidad pulmonar, biopsia de pulmón[1] | |
| Diagnóstico diferencial | Asma[4] | |
| Tratamiento | Corticoesteroides, inmunosupresores, trasplante de pulmón[1][3] | |
| Pronóstico | Generalmente, malo[3] | |
| Frecuencia | Rara[3] | |
| Sinónimos | ||
|
Bronquiolitis obliterans bronquiolitis constrictiva (BC),[5] síndrome bronquiolítico obliterante (SBO), pulmón en palomitas de maíz. | ||
Las causas incluyen respirar gases tóxicos, infecciones respiratorias, trastornos del tejido conectivo o complicaciones después de un trasplante de médula ósea o de corazón y pulmón.[1] Es posible que los síntomas no se presenten hasta dos a ocho semanas después de la exposición tóxica o la infección.[1] El mecanismo subyacente involucra inflamación que da como resultado la formación de tejido cicatricial.[1] El diagnóstico se realiza mediante tomografía computarizada, pruebas de función pulmonar o biopsia pulmonar.[1] Las radiografías de tórax suelen ser normales.[3]
Si bien no es reversible, un tratamiento adecuado puede retrasar el avance de la enfermedad.[1] El tratamiento puede incorporar el uso de corticosteroides o inmunosupresores.[1] En algunos casos se puede ofrecer un trasplante de pulmón.[3] Los resultados suelen ser pobres, y la mayoría de las personas mueren en el transcurso de meses o años.[3]
La bronquiolitis obliterante es rara en la población general.[3] Sin embargo, afecta aproximadamente al 75 % de los trasplantados de pulmón luego de diez años y hasta al 10 % de las personas que han recibido un trasplante de médula ósea de otra persona.[3] La afección fue descrita con detalle por primera vez en 1981.[3] Las primeras descripciones son del año 1956, mientras que el término "bronquiolitis obliterante" fue utilizado por primera vez por Reynaud en 1835.[7][8]
Referencias
- «Bronchiolitis obliterans». GARD. 2012. Archivado desde el original el 21 de enero de 2017. Consultado el 13 de septiembre de 2016.
- Xie BQ, Wang W, Zhang WQ, Guo XH, Yang MF, Wang L, He ZX, Tian YQ (2014). «Ventilation/perfusion scintigraphy in children with post-infectious bronchiolitis obliterans: a pilot study». PLOS ONE 9 (5): e98381. Bibcode:2014PLoSO...998381X. PMC 4031120. PMID 24852165. doi:10.1371/journal.pone.0098381.
- Lynch JP, Weigt SS, DerHovanessian A, Fishbein MC, Gutierrez A, Belperio JA (october de 2012). «Obliterative (constrictive) bronchiolitis». Seminars in Respiratory and Critical Care Medicine 33 (5): 509-532. PMID 23001805. doi:10.1055/s-0032-1325161.
- Lockey, Richard F.; Ledford, Dennis K. (2014). Oxford University Press, ed. Asthma: Comorbidities, Coexisting Conditions, and Differential Diagnosis. p. 111. ISBN 9780199918072. Archivado desde el original el 08/09/2017.
- Schlesinger C, Meyer CA, Veeraraghavan S, Koss MN (octubre de 1998). «Constrictive (obliterative) bronchiolitis: diagnosis, etiology, and a critical review of the literature». Annals of Diagnostic Pathology 2 (5): 321-34. PMID 9845757. doi:10.1016/S1092-9134(98)80026-9.
- Barker AF, Bergeron A, Rom WN, Hertz MI (mayo de 2014). «Obliterative bronchiolitis». The New England Journal of Medicine 370 (19): 1820-8. PMID 24806161. doi:10.1056/NEJMra1204664.
- Gosink BB, Friedman PJ, Liebow AA (abril de 1973). «Bronchiolitis obliterans. Roentgenologic-pathologic correlation». The American Journal of Roentgenology, Radium Therapy, and Nuclear Medicine 117 (4): 816-832. PMID 4698820. doi:10.2214/ajr.117.4.816.
- Gourtsoyiannis, Nicholas C.; Ros, Pablo R. (2005). Radiologic-Pathologic Correlations from Head to Toe: Understanding the Manifestations of Disease. Springer Science & Business Media. p. 154. ISBN 9783540266648.
Enlaces externos
- Esta obra contiene una traducción derivada de «User:Mr. Ibrahem/Obliterative bronchiolitis» de Wikipedia en inglés, concretamente de esta versión del 16 de agosto de 2023, publicada por sus editores bajo la Licencia de documentación libre de GNU y la Licencia Creative Commons Atribución-CompartirIgual 4.0 Internacional.
