Arteriopatía cerebral autosómica dominante con infartos subcorticales y leucoencefalopatía
La arteriopatía cerebral autosómica dominante con infartos subcorticales y leucoencefalopatía, más conocida por sus siglas en inglés CADASIL (Cerebral Autosomal Dominant Arteriopathy with Subcortical Infarcts and Leukoencephalopathy), es una enfermedad de las arterias menores del cerebro que produce múltiples infartos en sus partes más profundas. A diferencia de la corteza cerebral, que es gris, las partes profundas que sufren los daños están constituidas por una sustancia blanca (de ahí "leucoencefalopatía"). Es una enfermedad hereditaria, transmitida directamente de padres a hijos según un patrón autosómico dominante, por lo que la probabilidad de cada hijo de heredar la enfermedad es del 50 %.
| CADASIL | ||
|---|---|---|
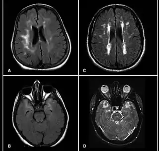
![]() Imagen MRI del cerebro de pacientes con CADASIL mostrando lesiones múltiples | ||
| Especialidad |
neurología cardiología genética médica | |
Los primeros síntomas pueden aparecer alrededor de los 20 años de edad, pero el lento desarrollo de la enfermedad provoca un lapso de varios años hasta la aparición de síntomas graves, como la demencia. La enfermedad suele manifestarse por medio de accidentes isquémicos transitorios, que suelen aparecer entre los 40 y los 50 años de edad. Los daños en el cerebro se manifiestan de diversas formas, desde dolores de cabeza muy intensos (migraña) y parálisis de alguna parte del cuerpo, hasta pérdida de la memoria y demencia. La enfermedad suele conducir a la muerte en un periodo de unos 20 años (Chabriat et al, 1995).
Fisiopatología

La patología causante de la CADASIL es la degeneración progresiva de las células musculares lisas en los vasos sanguíneos. Ciertas mutaciones del gen Notch 3 (en el brazo corto del cromosoma 19) causan una acumulación de la proteína Notch 3 en la membrana plasmática de las citadas células musculares, tanto en los vasos sanguíneos en el cerebro como fuera de él. Estas acumulaciones son observables como depósitos osmiofílicos al microscopio electrónico (Ruchoux et al, 1995).
Curiosamente, el gen Notch 3 se encuentra en el mismo locus que el gen responsable de la migraña hemipléjica familiar.
Características clínicas
Los cuatro síntomas más importantes del CADASIL son la migraña con aura, los infartos subcorticales recurrentes, los síntomas psiquiátricos con déficit cognitivo y la demencia. Los ataques de migraña pueden iniciarse incluso antes de los 10 años de edad, pero más frecuentemente durante la tercera década. El primer ataque isquémico sobreviene entre los 28 y los 60 años de edad, y la muerte se produce aproximadamente 20 años después de la aparición de los primeros síntomas (Chabriat et al, 1995).
Diagnóstico
El método preferido de diagnóstico es la resonancia magnética. Las lesiones detectables con este sistema se encuentran concentradas alrededor de los ganglios basales, la sustancia blanca periventricular y el puente de Varolio, y son similares a las que se pueden observar en la enfermedad de Binswanger. Las lesiones en la sustancia blanca suelen estar presentes también en individuos que sufren la mutación del gen en cuestión sin presentar síntomas (Tournier et al, 1993). Otro diagnóstico diferencial a tener en cuenta es la esclerosis múltiple.
La enfermedad también se puede diagnosticar identificando la mutación en el gen Notch 3. Este método es, sin embargo, costoso y laborioso. Dado que CADASIL es una arteriopatía sistémica, los daños de los vasos sanguíneos pueden ser observados en arterias pequeñas y medianas. Se ha sugerido un método de diagnóstico basado en la realización de biopsias de la piel (Joutel et al, 2001); sin embargo, la utilidad de este método está limitada por la escasa disponibilidad de un anticuerpo monoclonal necesario para el proceso de diagnóstico.
Dentro de los diagnósticos diferenciales deben considerarse otras leucodistrofias de aparición en la edad adulta.
Tratamiento
No existe ningún tratamiento específico. En algunos casos se pueden usar antiagregantes para frenar la evolución de la enfermedad y ayudar a prevenir los infartos cerebrales. Pacientes con CADASIL.[1] No se ha demostrado que el uso a corto plazo de atorvastatina, un medicamento para reducir el colesterol de tipo estatina, sea beneficioso en los parámetros hemodinámicos cerebrales de los pacientes con CADASIL, [17] aunque se recomienda el tratamiento de comorbilidades como el colesterol alto. [18] Se puede recomendar suspender las píldoras anticonceptivas orales. [19] Algunos autores desaconsejan el uso de triptanos para el tratamiento de la migraña, dados sus efectos vasoconstrictores, [20] aunque este sentimiento no es universal.[2] En este sentido, la llegada de los "Ditans" como Lasmiditan, sin efecto vasoconstrictivo, y los "Gepants", como Ubrogepant y Rimegepant, son alternativas atractivas, aunque aún no probadas en campo en esta condición. Al igual que con otras personas, se debe alentar a las personas con CADASIL a que dejen de fumar. [21]
En un estudio pequeño, se encontró que alrededor de 1/3 de los pacientes con CADASIL tenían microhemorragias cerebrales (áreas diminutas de sangre vieja) en la resonancia magnética. [16]
Se ha propuesto la L-arginina, un aminoácido natural, como una terapia potencial para CADASIL, [22] pero a partir de 2017 no hay estudios clínicos que respalden su uso. [19] No se demostró que el donepezil, normalmente utilizado para la enfermedad de Alzheimer, no mejorara el funcionamiento ejecutivo en pacientes con CADASIL. [23]
Referencias
- André, Charles (2010-04). «CADASIL: pathogenesis, clinical and radiological findings and treatment». Arquivos de Neuro-Psiquiatria (en inglés) 68: 287-299. ISSN 0004-282X. doi:10.1590/S0004-282X2010000200026. Consultado el 27 de julio de 2022.
- Hack, Remco J.; Rutten, Julie; Lesnik Oberstein, Saskia AJ (1993). Adam, Margaret P., ed. CADASIL. University of Washington, Seattle. Consultado el 27 de julio de 2022.
Bibliografía
- Chabriat H, Vahedi K, Iba-Zizen MT, et al. Clinical spectrum of CADASIL: a study of 7 families. Cerebral autosomal dominant arteriopathy with subcortical infarcts and leukoencephalopathy. Lancet 1995;346:934-939 PMID 7564728 (en inglés)
- Chabriat H, Levy C, Taillia H, et al. Patterns of MRI lesions in CADASIL. Neurology 1998; 51(2):452-457 PMID 9710018 (en inglés)
- Joutel A, Corpechot C, Ducros A, et al. Notch 3 mutations in CADASIL, a hereditary adult-onset condition causing stroke and dementia. Nature 1996;383:707-710. PMID 8878478 (en inglés)
- Joutel A, Andreux F and Gaulis S et al. The ectodomain of the Notch3 receptor accumulates within the cerebrovasculature of CADASIL patients, J Clin Invest 105 (2000), 597–605. PMID 10712431 (en inglés)
- Joutel A, Favrole P, Labauge P, et al. Skin biopsy immunostaining with a Notch3 monoclonal antibody for CADASIL diagnosis. Lancet. 2001 15;358(9298):2049-51. PMID 11755616 (en inglés)
- Ropper AH, Brown RH (eds) Cerebrovascular Diseases in Adams and Victor's Principles of Neurology. 2005 McGraw-Hill, New York ISBN 007141620 (en inglés)
- Ruchoux MM, Guerouaou D, Vandenhaute B et al. Systemic vascular smooth muscle cell impairment in cerebral autosomal dominant arteriopathy with subcortical infarcts and leukoencephalopathy, Acta Neuropathol (Berl) 89 (1995), 500–512. PMID 7676806 (en inglés)
- Tournier-Lasserve E, Joutel A, Melki J, et al. Cerebral autosomal dominant arteriopathy with subcortical infarcts and leukoencephalopathy maps on chromosome 19q12. Nat Genet 1993;3:256-259. PMID 8485581 (en inglés)
Enlaces externos
- CADASIL, Página del Grupo de Neurociencias de Antioquia
- The CADASIL Foundation (en inglés)
- United Leukodystrophy Foundation: CADASIL (en inglés)
