Corioamnionitis
La corioamnionitis es una infección del líquido amniótico y las membranas que lo contienen; también se denomina infección intraamniótica, infección ovular o amnionitis y puede ir acompañada de una ruptura prematura de membranas o con el saco amniótico completo.
| Corioamnionitis | ||
|---|---|---|
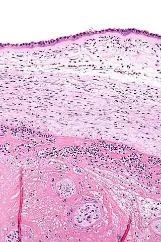
![]() Micrografía mostrando corioamnionitis. Los acúmulos de manchas azules corresponden a células inflamatorias. Tinción hematoxilina-eosina. | ||
| Especialidad | obstetricia y ginecología | |
Se asocia a una mayor morbimortalidad materna y neonatal. Puede causar parto pretérmino, donde las complicaciones son más frecuentes.[1][2][3][4]
Epidemiología
Complica entre el 2 y el 11% de todos los embarazos y en aproximadamente el 5% de los casos el feto está infectado. Siendo esto más común en los partos prematuros.[1]
Diagnóstico
La sospecha y el diagnóstico son eminentemente clínicos y se apoya en algunos exámenes complementarios.
Debe descartarse en toda embarazada con fiebre de la que no se conoce foco infeccioso, sobre todo si ha ocurrido ruptura prematura de membranas.
Un 80% de los casos son subclínicos (no dan signos ni síntomas) y se manifiestan en el posparto como fiebre o irritabilidad uterina en la madre o signos de infección en el feto. También puede ser la causa de una amenaza de parto prematuro, sobre todo cuando esta no responde al manejo inicial.
El diagnóstico clínico se basa en los siguientes datos clínicos:[5]
Temperatura axilar igual o mayor a 38 °C, acompañada de dos o más de los siguientes signos:
- Sensibilidad uterina anormal.
- Líquido amniótico purulento o de mal olor.
- Taquicardia materna mayor de 100 latidos por minuto.
- Taquicardia fetal mayor de 160 latidos por minuto.
- Leucocitosis >15.000/mm.
- Aumento de la contractibilidad uterina.
- Dolor pélvico al movimiento.
Referencias
- Espitia-De La Hoz, Franklin J. (2008). «Diagnóstico y tratamiento de la corioamnionitis clínica». Revista Colombiana de Obstetricia y Ginecología 59 (3): 231-237. ISSN 0034-7434. Consultado el 26 de marzo de 2014.
- Suzanne Cote; Andrea Chisholm, MD. «Corioamnionitis». NYU Langone Medical Center. Consultado el 26 de marzo de 2014.
- Argilagos Casasayas, Grisell (2011). «Factores de riesgo en la corioamnionitis». MEDISAN 15 (5): 643. Archivado desde el original el 4 de febrero de 2015. Consultado el 27 de marzo de 2014.
- Rincón Ricote, M. Inmaculada (2010). «Corioamnionitis histológica y morbilidad neonatal: Aproximación al síndrome de respuesta inflamatoria fetal». Revista Chilena de Obstetricia y Ginecología 75 (3): 172-178. ISSN 0717-7526. doi:10.4067/S0717-75262010000300005. Consultado el 27 de marzo de 2014.
- Gibbs, RS; Castillo, MS; Rodgers, PJ (1980). «Management of acute chorioamnionitis». American Journal of Obstetrics and Gynecology 136 (6): 709-13. PMID 7355955.
