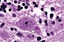
Cuerpo de Negri
Los cuerpos de Negri son inclusiones citoplasmáticas presentes en neuronas infectadas por el virus de la rabia que contienen viriones, proteínas y ARN.[1]

Descripción

Tienen un tamaño entre 0.25 y 27 µm. Se encuentran sobre todo en las neuronas piramidales del asta de Amón (en el hipocampo) y en las células de Purkinje del cerebelo, aunque también en el bulbo raquídeo y las neuronas de las glándulas salivares, la lengua y otros órganos. Su presencia es variable y se prefieren usar otros métodos en el diagnóstico de la rabia.[2] Los cuerpos de Negri son viroplasmas, inclusiones citoplasmáticas donde se concentran las proteínas virales, ácidos nucleicos y factores celulares para la replicación y ensamblaje de los viriones.[3]
Historia
Fueron descubiertos por Adelchi Negri, un auxiliar de patología del laboratorio de Camillo Golgi, observándolos en perros y conejos con rabia. El hallazgo fue presentado en una reunión de la Sociedad Médico-Quirúgica de Pavía en 1903.[1] Negri estaba convencido de que estas formaciones eran un protozoo parásito que sería el agente etiológico de la rabia,[1] al que nombró Neurocytes hydrophobiae.[4] Sin embargo, ese mismo año, Paul Remlinger y Rifat-Bey Frasheri en Constantinopla e, independientemente, Alfonso di Vestea en Nápoles demostraron que la rabia está causada por un virus. Negri siguió intentando demostrar hasta 1909 que estas inclusiones intraneuronales nombradas en su honor se correspondían con uno de los estadios del ciclo de vida de un protozoo. Los cuerpos de Negri supusieron un avance en el diagnóstico de la rabia y su detección fue usada por mucho tiempo hasta el desarrollo de los métodos modernos de diagnóstico.[1]
Referencias
- Henry y Murphy, 2017, p. 1461.
- «Rabies: Histologic examination». Centers for Disease Control and Prevention (en inglés). Consultado el 2 de junio de 2020.
- Nikolic et al., 2017, p. 2.
- Margreth, 2003, pp. 252-254.
- La sección «Historia» contiene una traducción adaptada de Etymologia: Negri Bodies, artículo de Ronnie Henry y Frederick A. Murphy publicado en Emerging Infectious Diseases, revista en dominio público.
Bibliografía
- Henry, Ronnie; Murphy, Frederick A. (septiembre de 2017). «Etymologia: Negri Bodies». Emerging Infectious Diseases (en inglés) 23 (9): 1461. PMC 5572856. doi:10.3201/eid2309.ET2309. Consultado el 2 de junio de 2020.
- Margreth, Alfredo (diciembre de 2003). «Adelchi Negri and Schools of General Pathology in Italy between the end of the nineteenth and beginning of the twentieth century». Rendiconti Lincei (en inglés) 14 (4): 251-262. doi:10.1007/BF02904485. Consultado el 2 de junio de 2020.
- Nikolic, Jovan; Le Bars, Romain; Lama, Zoé; Scrima, Nathalie; Lagaudrière-Gesbert, Cécile; Gaudin, Yves; Blondel, Danielle (5 de julio de 2017). «Negri bodies are viral factories with properties of liquid organelles». Nature Communications (en inglés) 8 (58). PMC 5498545. PMID 28680096. doi:10.1038/s41467-017-00102-9. Consultado el 2 de junio de 2020.