Cuerpos arenáceos
Los cuerpos arenáceos (acérvulos o arena cerebral,[1] del latín corpora arenacea) son estructuras calcificadas en la glándula pineal y otras partes del cerebro como el plexo coroideo. Los organismos más antiguos poseen muchos cuerpos arenáceos, cuya función, en su caso, se desconoce. La concentración de "arena cerebral" se incrementa con la edad, por lo que la glándula pineal se vuelve cada vez más visible con el tiempo en las radiografías de rayos X, por lo general durante la tercera o cuarta década. Se utilizan a veces como puntos de referencia anatómicos en exámenes radiológicos.
| Cuerpos arenáceos | ||
|---|---|---|
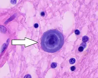
![]() Histopatología de un corpus arenaceum en la materia blanca cerebral | ||
| Nombre y clasificación | ||
| Latín | Corpora arenacea | |
| TH | H3.08.02.3.00007 | |
| TH | H3.08.02.3.00007 | |
|
| ||
Análisis químicos muestra que están compuestas por fosfato de calcio, carbonato de calcio, fosfato de magnesio y fosfato de amoníaco.[2] Recientemente se han descrito también depósitos de calcita.[3]
Referencias
- Tomonari, Yuki; Sato, Junko; Wako, Yumi; Tsuchitani, Minoru (2012). «Age-related Histological Findings in the Pineal Gland of Crl:CD(SD) Rats». Journal of Toxicologic Pathology 25 (4): 287-91. PMC 3517926. PMID 23345933. doi:10.1293/tox.25.287.
- Bocchi G, Valdre G (1993). «Physical, chemical, and mineralogical characterization of carbonate-hydroxyapatite concretions of the human pineal gland.». J Inorg Biochem 49 (3): 209-20. PMID 8381851. doi:10.1016/0162-0134(93)80006-U.
- Baconnier S, Lang S, Polomska M, Hilczer B, Berkovic G, Meshulam G (2002). «Calcite microcrystals in the pineal gland of the human brain: first physical and chemical studies.». Bioelectromagnetics 23 (7): 488-95. PMID 12224052. doi:10.1002/bem.10053.
Enlaces externos
- Esta obra contiene una traducción derivada de «Corpora arenacea» de Wikipedia en inglés, concretamente de esta versión, publicada por sus editores bajo la Licencia de documentación libre de GNU y la Licencia Creative Commons Atribución-CompartirIgual 4.0 Internacional.
_in_cerebral_white_matter.jpg.webp)