Divertículo (medicina)
En medicina un divertículo es la aparición de una estructura hueca (o llena de líquido) en el cuerpo.[1]
La palabra proviene del latín dīverticulum, "desvío" o "baipás".
Dependiendo de qué capas de la estructura estén involucradas, los divertículos se describen como verdaderos o falsos.[2]

En medicina, el término generalmente implica que la estructura no está normalmente presente, pero en embriología, el término se usa para algunas estructuras normales que surgen de otras, como por ejemplo el divertículo tiroideo, que surge de la lengua primordial.[3]
Embriología
- Los riñones son originalmente divertículos en el desarrollo de los órganos urinarios y reproductivos.
- Los pulmones son originalmente divertículos que se forman a partir del intestino anterior ventral.[3][4]
- El timo aparece en forma de dos divertículos en forma de matraz, que surgen de la tercera bolsa branquial (bolsa faríngea) del endodermo.[5]
- La glándula tiroides se desarrolla como un divertículo que surge de un punto en la lengua demarcado como el foramen ciego.[3]
Clasificación
Los divertículos se describen como verdaderos o falsos según las capas involucradas:
- Los divertículos falsos (también conocidos como pseudodivertículos) no involucran capas musculares ni adventicias. Los divertículos falsos, en el tracto gastrointestinal, por ejemplo, afectan solo la submucosa y la mucosa.[2]
- Los divertículos verdaderos involucran todas las capas de la estructura, incluidas la muscularis propia y la adventicia, como el divertículo de Meckel.[2]
Patología humana
Divertículos del tracto gastrointestinal

Los divertículos del tracto gastrointestinal se pueden presentar en varias localizaciones.[6]
- Los divertículos esofágicos pueden ocurrir en una de tres áreas del esófago:
- Los divertículos faríngeos (de Zenker) generalmente ocurren en los ancianos, a través del triángulo de Killian por encima del músculo cricofaríngeo. Asimismo, un divertículo de Killian-Jamieson es un divertículo muy similar, y se diferencia en el hecho de que la bolsa está debajo del músculo cricofaríngeo, en el triángulo de Leimer.[7]
- Divertículos mesofágicos
- Los divertículos epifrénicos se deben a una disfunción del esfínter esofágico inferior, como en la acalasia.[8]
- Un divertículo duodenal se puede encontrar de manera incidental en el 23% de las personas normales que se someten a imágenes. Puede ser congénita o adquirida, pero la forma adquirida es más común y se debe a la debilidad de la pared duodenal, que provoca protuberancias. Suele encontrarse en la segunda o tercera parte del duodeno, alrededor de la ampolla de Vater. Los restos de comida pueden entrar en las bolsas diverticulares y causar inflamación o diverticulitis. En la tomografía computarizada o resonancia magnética, aparece como una bolsa en forma de saco. Si el divertículo está lleno de agentes de contraste, la pared sería delgada y podría contener aire, líquido, material de contraste o restos de comida. Si los restos de comida son degradados por bacterias, la bolsa puede mostrar un "signo de heces". La inflamación de la pared duodenal muestra un engrosamiento de la pared. En raras ocasiones, en los estudios con bario en divertículos duodenales congénitos, el material de contraste llena la luz verdadera y causa una deformidad en forma de manga de viento.[2][9]
- Un divertículo yeyunal es una lesión congénita y puede ser una fuente de sobrecrecimiento bacteriano. También puede perforar o provocar abscesos.
- Los divertículos colónicos, aunque pueden encontrarse incidentalmente durante la colonoscopía, pueden infectarse (véase diverticulitis) y perforarse, requiriendo cirugía.[10]
- Los divertículos gástricos son muy poco frecuentes.[11]
- El divertículo de Meckel, una porción persistente del conducto onfalomesentérico, está presente en el 2% de la población,[12] lo que lo convierte en la malformación gastrointestinal congénita más común.[13]
- Los senos de Rokitansky-Aschoff son divertículos en la vesícula biliar debido a la colecistitis.[14]
La mayoría de estos tipos patológicos de divertículos son capaces de albergar un enterolito. Si el enterolito permanece en su lugar, es posible que no cause problemas, pero un enterolito grande expulsado de un divertículo hacia el lumen puede causar obstrucción.[15]
Divertículos del tracto genitourinario
- Los divertículos vesicales son crecimientos en forma de globo en la vejiga comúnmente asociados con obstrucción crónica del flujo de salida, como hiperplasia benigna de próstata en hombres mayores. Por lo general, se encuentran en pares en lados opuestos de la vejiga. Los divertículos de la vejiga a menudo se extirpan quirúrgicamente para prevenir infecciones, rupturas o incluso cáncer.
- Los divertículos caliceales suelen ser asintomáticos, pero si un cálculo se aloja en la bolsa exterior, pueden presentarse con dolor.[16]
- Los divertículos uretrales se encuentran generalmente en mujeres de 30 a 70 años, entre el 1 y el 6% de las mujeres adultas. Dado que la mayoría de los casos no presentan síntomas, se desconoce la verdadera incidencia. Los síntomas pueden variar desde infecciones frecuentes del tracto urinario, relaciones sexuales dolorosas (dispareunia) o síntomas debidos al cáncer. Un divertículo uretral se encuentra en la pared vaginal anterior, 1 a 3 cm dentro del introito vaginal. Se prefiere la resonancia magnética como método de imagen de elección debido a su excelente resolución de tejidos blandos. En las imágenes ponderadas en T2, muestra una señal alta en el divertículo debido a la presencia de líquido en su interior. La ecografía vaginal es muy sensible para diagnosticar el divertículo, pero depende en gran medida de las habilidades del operador.[17]
Otros divertículos
- Un divertículo de Kommerell es una salida (aneurisma) de la aorta donde se localiza una arteria subclavia derecha aberrante.[18] Es una nomenclatura inusual, ya que las dilataciones focales de un vaso sanguíneo se denominan correctamente aneurismas.
- El divertículo cardíaco es una malformación congénita muy rara del corazón que suele ser benigna.[19]
Galería
Divertículo de Meckel
Intestino grueso (colon sigmoide) que muestra múltiples divertículos: observe cómo aparecen los divertículos a ambos lados del haz de músculos longitudinales (tenio).
Divertículo de colon
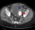
Divertículo de la vejiga urinaria de un hombre de 59 años, plano transversal
- Divertículos de vejiga como se ve en la ecografía con Doppler[20]
- Divertículos de vejiga vistos en ultrasonido[20]
Véase también
Referencias
- OMS,OPS (ed.). «Divertículo». Descriptores en Ciencias de la Salud, Biblioteca virtual de Salud.
- Townsend, Jr., Courtney M.; Daniel Beauchamp, R.; Mark Evers, B.; Mattox, Kenneth L. (2017). Sabiston Textbook of Surgery: The Biological Basis of Modern Surgical Practice (20a. edición). Philadelphia. pp. 1280-1282.
- Sadler, Thomas W. (2012). Langman's Medical Embryology (12th edición). Philadelphia: Wolters Kluwer Health/Lippincott Williams & Wilkins. ISBN 9781451113426. OCLC 732776409.
- Standring, Susan (2016). Gray's Anatomy: The Anatomical Basis of Clinical Practice (41st edición). [Philadelphia]. ISBN 9780702052309. OCLC 920806541.
- Ignacio Roa; Manuel Meruane (2012). «Desarrollo del Aparato Digestivo». Int. J. Morphol. (Temuco) 30 (4): 1285-1294. Consultado el 23 de noviembre de 2021.
- O'Rourke, Ashli K.; Weinberger, Paul M.; Postma, Gregory N. (May 2012). «Killian-Jamieson diverticulum». Ear, Nose, & Throat Journal 91 (5): 196. ISSN 1942-7522. PMID 22614553. doi:10.1177/014556131209100507.
- Yam, Julie; Ahmad, Sarah A. (2019), «Esophageal Diverticula», StatPearls (StatPearls Publishing), PMID 30422453, consultado el 17 de julio de 2019.
- Barat, M.; Dohan, A.; Dautry, R.; Barral, M.; Boudiaf, M.; Hoeffel, C.; Soyer, P. (October 2017). «Mass-forming lesions of the duodenum: A pictorial Review». Diagnostic and Interventional Imaging (en inglés) 98 (10): 663-675. PMID 28185840. doi:10.1016/j.diii.2017.01.004.
- Feuerstein, Joseph D.; Falchuk, Kenneth R. (August 2016). «Diverticulosis and Diverticulitis». Mayo Clinic Proceedings 91 (8): 1094-1104. ISSN 1942-5546. PMID 27156370. doi:10.1016/j.mayocp.2016.03.012.
- Shah, Jamil; Patel, Kalpesh; Sunkara, Tagore; Papafragkakis, Charilaos; Shahidullah, Abul (April 2019). «Gastric Diverticulum: A Comprehensive Review». Inflammatory Intestinal Diseases 3 (4): 161-166. ISSN 2296-9365. PMC 6501548. PMID 31111031. doi:10.1159/000495463.
- Elsayes, Khaled M.; Menias, Christine O.; Harvin, Howard J.; Francis, Isaac R. (July 2007). «Imaging manifestations of Meckel's diverticulum». AJR. American Journal of Roentgenology 189 (1): 81-88. ISSN 1546-3141. PMID 17579156. doi:10.2214/AJR.06.1257.
- Sagar, Jayesh; Kumar, Vikas; Shah, D. K. (October 2006). «Meckel's diverticulum: a systematic Review». Journal of the Royal Society of Medicine 99 (10): 501-505. ISSN 0141-0768. PMC 1592061. PMID 17021300. doi:10.1258/jrsm.99.10.501.
- Stunell, H; Buckley, O.; Geoghegan, T; O’Brien, J; Ward, E; Torreggiani, W (2008). «Imaging of adenomyomatosis of the gall bladder». Journal of Medical Imaging and Radiation Oncology 52 (2): 109-117. ISSN 1754-9477. PMID 18373800. doi:10.1111/j.1440-1673.2008.01926.x.
- «Small bowel obstruction and perforation secondary to primary enterolithiasis in a patient with jejunal diverticulosis». BMJ Case Reports 2014: bcr2014203833. 2014. PMC 3962938. PMID 24626387. doi:10.1136/bcr-2014-203833.
- Oxford American Handbook of Urology. Albala, David M. Oxford: Oxford University Press. 2011. ISBN 9780199707720. OCLC 655896560.
- Greiman, Alyssa K.; Rolef, Jennifer; Rovner, Eric S. (2 de enero de 2019). «Urethral diverticulum: A systematic review». Arab Journal of Urology (en inglés) 17 (1): 49-57. ISSN 2090-598X. PMC 6583718. PMID 31258943. doi:10.1080/2090598X.2019.1589748.
- Raymond, Steven L.; Gray, Sarah E.; Peters, Keith R.; Fatima, Javairiah (25 de junio de 2019). «Right-sided aortic arch with aberrant left subclavian artery and Kommerell diverticulum». Journal of Vascular Surgery Cases and Innovative Techniques 5 (3): 259-260. ISSN 2468-4287. PMC 6600077. PMID 31304436. doi:10.1016/j.jvscit.2019.02.009.
- Vazquez-Jimenez, Dr. Jaime (2003). «Cardiac diverticulum». Orphanet Encyclopedia. Consultado el 14 de enero de 2008.
- «UOTW #56 - Ultrasound of the Week». Ultrasound of the Week. 21 de agosto de 2015.
Enlaces externos
- Esta obra contiene una traducción derivada de «Diverticulum» de Wikipedia en inglés, publicada por sus editores bajo la Licencia de documentación libre de GNU y la Licencia Creative Commons Atribución-CompartirIgual 4.0 Internacional.