Dolor pélvico
El dolor pélvico es un dolor en el área de la pelvis. El dolor agudo es más común que el dolor crónico. Si el dolor dura más de seis meses, se considera dolor pélvico crónico. Puede afectar tanto a mujeres como a hombres.
| Dolor pélvico | ||
|---|---|---|
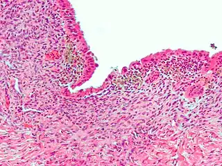
![]() Micrografía que muestra endometriosis (tinción H&E), una causa común de dolor pélvico crónico en las mujeres. | ||
Las causas comunes incluyen: endometriosis en las mujeres, adherencias intestinales, síndrome del intestino irritable y cistitis intersticial. La causa también puede ser un número de enfermedades poco entendidas que pueden representar una función psiconeuromuscular anormal.
Terminología
El síndrome de dolor pélvico crónico urológico (SDPCU) es un término genérico adoptado para su uso en la investigación de síndromes de dolor asociados con la pelvis masculina y femenina. No es para un uso como diagnóstico clínico. El síntoma distintivo de la inclusión es el dolor crónico en la pelvis, el suelo pélvico o los genitales externos, aunque a menudo se acompaña de síntomas del tracto urinario inferior[1]
El dolor pélvico crónico en los hombres se conoce como prostatitis crónica/síndrome de dolor pélvico crónico (PC/ SDPC) y también se conoce como prostatitis no bacteriana crónica. Los hombres en esta categoría no tienen infección conocida, pero tienen un dolor pélvico extenso que dura más de 3 meses.[2]
Causa
Mujeres
Muchas enfermedades diferentes pueden causar dolor pélvico, incluyendo:
- síndrome de congestión pélvica
- sensibilidad exagerada en la vejiga, el intestino o dolor uterino (también conocido como dolor visceral)
- dolor de la cintura pélvica (SPD o DSP)
- atrapamiento del nervio pudendo.
- Ginecológica
- Dismenorrea — dolor durante el período menstrual
- Endometriosis — el dolor causado por tejido uterino que se encuentra fuera del útero. La endometriosis se puede confirmar visualmente mediante laparoscopia en aproximadamente el 75% de las adolescentes con dolor pélvico crónico que es resistente al tratamiento, y en aproximadamente el 50% de las adolescentes con dolor pélvico crónico que no es necesariamente resistente al tratamiento.[3]
- Anomalías Müllerianas
- Enfermedad inflamatoria pélvica — dolor causado por daño producido por infecciones
- Quistes ováricos: el ovario produce un quiste grande y doloroso que puede romperse
- Torsión ovárica — el ovario se tuerce de manera que interfiere con el suministro de sangre
- Embarazo ectópico — un embarazo implantado fuera del útero
- Abdominal
- Síndrome de hematuria dolor lumbar
- Proctitis — infección o inflamación del ano o el recto
- Colitis — infección o inflamación del colon
- Apendicitis — infección o inflamación del intestino
Diagnóstico
Mujeres
El examen para el diagnóstico comienza con una historia y un examen cuidadosos, seguidos de una prueba de embarazo. Algunas mujeres también pueden necesitar análisis de sangre o estudios de imágenes adicionales, y unas pocas también puede beneficiarse de una revisión quirúrgica.
La ausencia de patología visible en los síndromes de dolor crónico no debe formar la base para buscar explicaciones psicológicas o cuestionar la realidad del dolor del paciente. En cambio, es esencial abordar la complejidad del dolor crónico desde una perspectiva psicofisiológica que reconoce la importancia de la interacción mente-cuerpo. Algunos de los mecanismos por los cuales el sistema límbico impacta sobre el dolor, y en particular el dolor miofascial, han sido aclarados por los hallazgos de la investigación en neurología y psicofisiología.
Hombres
En el dolor pélvico crónico no hay pruebas de diagnóstico estándar en hombres; el diagnóstico es por exclusión de otras enfermedades. Este cuadro se suele denominar Prostatitis Crónica/Síndrome de Dolor Pélvico Crónico (Prostatitis tipo III). A menudo se diagnostica erróneamente como prostatitis bacteriana crónica (categoría II) y se trata con antibióticos, exponiendo al paciente a un uso inapropiado de antibióticos e innecesariamente a efectos adversos con poco o ningún beneficio en la mayoría de los casos.[4]
Tratamiento
Mujeres
Muchas mujeres obtienen beneficio consultando con un fisioterapeuta, mediante un ensayo con medicamentos antiinflamatorios, terapia hormonal o incluso agentes neurológicos.
A veces se realiza una histerectomía.[5]
La estimulación de la médula espinal ha sido explorada como una posible opción de tratamiento por algún tiempo, sin embargo, aún falta consenso sobre dónde debe apuntar la ubicación óptima de la médula espinal. Como la inervación de la región pélvica proviene de las raíces nerviosas sacras, los tratamientos previos se han dirigido a esta región; los resultados han sido mixtos La estimulación de la médula espinal dirigida a la región torácica media - alta de la médula espinal ha producido algunos resultados positivos. [6]
Tratamientos no farmacológicos
Las guías actuales de la Asociación Europea de Urología incluyen:[7]
- Educación sobre el dolor: conversación con el paciente sobre el dolor, sus causas e impacto.
- Fisioterapia: algunos protocolos se centran en estiramientos para liberar músculos tensionados en el área pélvica o anal (comúnmente denominados puntos gatillo) que incluye masaje digital intrarrectal del piso pélvico, fisioterapia en el área pélvica y terapia de relajación progresiva para reducir el estrés causante.[8] No se recomiendan los ejercicios de Kegel.[9] El tratamiento también puede incluir un programa de "relajación paradójica" para prevenir la tensión crónica de la musculatura pélvica.[10]
- Terapia psicológica: como la mayoría de las condiciones de dolor crónico, la psicoterapia podría ser útil en su tratamiento independientemente de su impacto directo sobre el dolor.[11][12]
Otros tratamientos no farmacológicos que se han evaluado para esta afección incluyen acupuntura, terapia de ondas de choque extracorpóreas, programas de actividad física, termoterapia transrectal y un conjunto diferente de recomendaciones con respecto a cambios en el estilo de vida.[13] La acupuntura probablemente conduce a una disminución de los síntomas de la prostatitis en comparación con la terapia médica estándar, pero es posible que no reduzca los problemas sexuales.[13] En comparación con un procedimiento simulado, la terapia de ondas de choque extracorpóreas también parece ser útil para disminuir los síntomas de la próstata sin el impacto de los efectos secundarios, pero la disminución solo durará mientras se continúe el tratamiento. A partir de 2018, el uso de la terapia de ondas de choque extracorpóreas estudió como un tratamiento potencial para esta afección en tres estudios pequeños; hubo mejoras a corto plazo en los síntomas y pocos efectos adversos, pero se desconocen los resultados a mediano plazo y los resultados son difíciles de generalizar debido a la baja calidad de los estudios.[13] La actividad física puede reducir levemente los síntomas físicos de la prostatitis crónica, pero es posible que no reduzca la ansiedad o la depresión. La termoterapia transrectal, en la que se aplica calor a la próstata y al área de los músculos pélvicos, por sí sola o combinada con terapia médica, puede hacer que los síntomas disminuyan levemente en comparación con la terapia médica sola.[13] Sin embargo, este método puede provocar efectos secundarios transitorios. Las terapias alternativas como el masaje de próstata o las modificaciones del estilo de vida pueden reducir o no los síntomas de la prostatitis.[13] En los ensayos se ha demostrado que la ablación transuretral de la próstata con aguja es ineficaz.[14]
Medicamentos
Se pueden usar varios medicamentos que deben adaptarse a las necesidades y tipos de síntomas de cada persona (según UPOINTS).[7] Algunos tratamientos evaluados hasta la fecha incluyen, entre otros:
- El tratamiento con antibióticos es controvertido. Una revisión de 2019 indicó que los antibióticos pueden reducir los síntomas. Algunos han encontrado beneficios en los síntomas,[15][16] pero otros han cuestionado la utilidad de un ensayo con antibióticos.[17] Se sabe que los antibióticos tienen propiedades antiinflamatorias y esto se ha sugerido como explicación de su eficacia parcial en el tratamiento del síndrome de dolor pélvico crónico.[18] Los antibióticos como las fluoroquinolonas, tetraciclinas y macrólidos tienen propiedades antiinflamatorias directas en ausencia de infección, bloqueando las señales químicas inflamatorias (citocinas) como la interleucina-1 (IL-1), la interleucina-8 y el factor de necrosis tumoral (TNF). Coincidentemente, se encuentran elevadas las mismas citocinas en el semen y en las secreciones prostáticas expresadas de hombres con prostatitis crónica.[19] El método de diagnóstico UPOINT sugiere que no se recomiendan los antibióticos a menos que haya evidencia clara de infección.[20]
- La eficacia de los bloqueantes alfa (tamsulosina, alfuzosina) es cuestionable en hombres con síndrome de dolor pélvico crónico y puede aumentar los efectos secundarios como mareos y presión arterial baja.[15] Un metaanálisis de 2006 encontró que son moderadamente beneficiosos cuando la duración de la terapia era de al menos 3 meses.[21]
- Un inhibidor de la reabsorción de estrógenos como la mepartricina mejora la micción, reduce el dolor urológico y mejora la calidad de vida en pacientes con prostatitis crónica no bacteriana.[22]
- Se han estudiado fitoterápicos como la quercetina y el extracto de polen de flores en pequeños ensayos clínicos.[23][24] Una revisión de 2019 encontró que este tipo de terapia puede reducir los síntomas del síndrome de dolor pélvico crónico sin efectos secundarios, pero es posible que no mejore los problemas sexuales.[15]
- Los inhibidores de la 5-alfa reductasa probablemente ayuden a reducir los síntomas de la prostatitis en hombres con síndrome de dolor pélvico crónico y no parecen causar más efectos secundarios que cuando se toma un placebo.[15]
- Los medicamentos antiinflamatorios pueden reducir los síntomas y es posible que no produzcan efectos secundarios asociados.[15]
- Cuando se inyecta en la próstata, la toxina botulínica A puede causar una gran disminución de los síntomas de la prostatitis. Si se aplica en los músculos de la pelvis, es posible que no reduzca los síntomas. Es posible que no haya efectos secundarios asociados en ninguno de los dos procedimientos.[15]
- Para los hombres con síndrome de dolor pélvico crónico, tomar alopurinol puede dar poca o ninguna diferencia en los síntomas, pero tampoco causar efectos secundarios.[15]
- Es posible que la medicina tradicional china no produzca efectos secundarios y puede reducir los síntomas en los hombres con síndrome de dolor pélvico crónico. Sin embargo, estos medicamentos probablemente no mejoren los problemas sexuales o los síntomas de ansiedad y depresión.[15]
- Ente las terapias que no se han evaluado adecuadamente en ensayos clínicos, aunque existe evidencia anecdótica de apoyo, se encuentran la gabapentina, las benzodiazepinas y la amitriptilina.[25]
Epidemiología
La mayoría de las mujeres, en algún momento de sus vidas, experimentan dolor pélvico. A medida que las niñas ingresan a la pubertad, el dolor pélvico o abdominal se convierte en una queja frecuente. El dolor pélvico crónico es una afección común con una tasa de dismenorrea entre el 16.8 y el 81%, dispareunia entre el 8 y el 21.8% y dolor no cíclico entre el 2.1 y el 24%. [26]
Según el CDC, el dolor pélvico crónico (DPC) representó aproximadamente el 9% de todas las visitas a ginecólogos en 2007.[27] Además, el DPC es la razón del 20-30% de todas las laparoscopías en adultos. El dolor de la cintura pélvica es frecuente durante el embarazo.[28]
Implicaciones sociales
En la búsqueda de mejores resultados para las personas, se han encontrado problemas en los procedimientos actuales para el tratamiento del dolor pélvico crónico. Estos se relacionan principalmente con respecto a la dicotomía conceptual entre una génesis "orgánica" de dolor, donde se presume la presencia de daño tisular, y un origen "psicógeno", donde el dolor se produce a pesar de la falta de daño al tejido. Los tratamientos del DPC en entornos multidisciplinarios han demostrado altas tasas de éxito para las personas para quienes la patología 'orgánica' no ha sido útil
Investigación
En 2007, el Instituto Nacional de Diabetes y Enfermedades Digestivas y Renales (INDEDR), parte de los Institutos Nacionales de Salud de los Estados Unidos, comenzó a usar SDPC como un término para referirse a síndromes de dolor pélvico crónico, principalmente síndrome de cistitis intersticial/dolor de vejiga (CI/SDV) en mujeres y prostatitis crónica/síndrome de dolor pélvico crónico (PC/SDPC) en hombres [29][30]
Red de investigación MAPP
En 2008, el INDEDR estableció la Red de Investigación EMEDPC (Enfoque Multidisciplinario para el Estudio del Dolor Pélvico Crónico) para ayudar a comprender mejor las causas subyacentes, reconociendo que había una falta de comprensión y manejo de estos síndromes de dolor y también que frecuentemente se asociaron con trastornos de dolor crónico en otras partes del cuerpo. Los objetivos son "descubrir nuevos conocimientos clínicamente relevantes que pueden conducir a mejores opciones de tratamiento y una mejor atención del paciente". Los resultados preliminares de esta red indican que las personas con síntomas dolorosos de vejiga (llenado doloroso o urgencia dolorosa) tienen síntomas más severos, una presentación más sistémica de los síndromes y una peor calidad de vida.[31]
Referencias
- «Update on Urologic Pelvic Pain Syndromes». Reviews in Urology 13 (1): 39-49. enero de 2011. PMC 3151586. PMID 21826127.
- Luzzi GA (2002). «Chronic prostatitis and chronic pelvic pain in men: aetiology, diagnosis and management». Journal of the European Academy of Dermatology and Venereology : JEADV 16 (3): 253-6. PMID 12195565. doi:10.1046/j.1468-3083.2002.00481.x.
- Janssen, E. B.; Rijkers, A. C. M.; Hoppenbrouwers, K.; Meuleman, C.; d'Hooghe, T. M. (2013). «Prevalence of endometriosis diagnosed by laparoscopy in adolescents with dysmenorrhea or chronic pelvic pain: A systematic review». Human Reproduction Update 19 (5): 570-582. PMID 23727940. doi:10.1093/humupd/dmt016.
- Franco, Juan VA; Turk, Tarek; Jung, Jae Hung; Xiao, Yu‐Tian; Iakhno, Stanislav; Tirapegui, Federico Ignacio; Garrote, Virginia; Vietto, Valeria (6 de octubre de 2019). «Pharmacological interventions for treating chronic prostatitis/chronic pelvic pain syndrome». The Cochrane Database of Systematic Reviews 2019 (10). ISSN 1469-493X. PMC 6778620. PMID 31587256. doi:10.1002/14651858.CD012552.pub2. Consultado el 1 de marzo de 2021.
- «Predictors of hysterectomy use and satisfaction». Obstet Gynecol 115 (3): 543-51. marzo de 2010. PMID 20177285. doi:10.1097/AOG.0b013e3181cf46a0.
- Hunter, C; Davé, N; Diwan, S; Deer, T (Jan 2013). «Neuromodulation of pelvic visceral pain: review of the literature and case series of potential novel targets for treatment.». Pain Practice 13 (1): 3-17. PMID 22521096. doi:10.1111/j.1533-2500.2012.00558.x.
- Professionals, Sumedia-Online. «EAU Guidelines: Chronic Pelvic Pain». Uroweb (en inglés estadounidense). Consultado el 1 de marzo de 2021.
- Potts, Jeannette; Payne, Richard E. (2007-05). «Prostatitis: Infection, neuromuscular disorder, or pain syndrome? Proper patient classification is key». Cleveland Clinic Journal of Medicine. 74 Suppl 3: S63-71. ISSN 0891-1150. PMID 17549825. doi:10.3949/ccjm.74.suppl_3.s63. Consultado el 1 de marzo de 2021.
- «Intertitial Cystitis (IC/BPS) Guideline - American Urological Association». www.auanet.org (en inglés). Consultado el 1 de marzo de 2021.
- Anderson, Rodney U.; Wise, David; Nathanson, Brian H. (10 2018). «Chronic Prostatitis and/or Chronic Pelvic Pain as a Psychoneuromuscular Disorder-A Meta-analysis». Urology 120: 23-29. ISSN 1527-9995. PMID 30056195. doi:10.1016/j.urology.2018.07.022. Consultado el 1 de marzo de 2021.
- Champaneria, Rita; Daniels, Jane P.; Raza, Amer; Pattison, Helen M.; Khan, Khalid S. (2012-03). «Psychological therapies for chronic pelvic pain: systematic review of randomized controlled trials». Acta Obstetricia Et Gynecologica Scandinavica 91 (3): 281-286. ISSN 1600-0412. PMID 22050516. doi:10.1111/j.1600-0412.2011.01314.x. Consultado el 1 de marzo de 2021.
- Cheong, Ying C.; Smotra, Grisham; Williams, Amanda C. de C. (5 de marzo de 2014). «Non-surgical interventions for the management of chronic pelvic pain». The Cochrane Database of Systematic Reviews (3): CD008797. ISSN 1469-493X. PMID 24595586. doi:10.1002/14651858.CD008797.pub2. Consultado el 1 de marzo de 2021.
- Franco, Juan VA; Turk, Tarek; Jung, Jae Hung; Xiao, Yu-Tian; Iakhno, Stanislav; Garrote, Virginia; Vietto, Valeria (12 de mayo de 2018). «Non-pharmacological interventions for treating chronic prostatitis/chronic pelvic pain syndrome». En Cochrane Urology Group, ed. Cochrane Database of Systematic Reviews (en inglés). PMC 6494451. PMID 29757454. doi:10.1002/14651858.CD012551.pub3. Consultado el 16 de marzo de 2021.
- Leskinen, Markku J; Kilponen, Ansa; Lukkarinen, Olavi; Tammela, Teuvo L.J (2002-08). «Transurethral needle ablation for the treatment of chronic pelvic pain syndrome (category III prostatitis): a randomized, sham-controlled study». Urology (en inglés) 60 (2): 300-304. doi:10.1016/S0090-4295(02)01704-1. Consultado el 16 de marzo de 2021.
- Franco, Juan VA; Turk, Tarek; Jung, Jae Hung; Xiao, Yu-Tian; Iakhno, Stanislav; Tirapegui, Federico Ignacio; Garrote, Virginia; Vietto, Valeria (6 de octubre de 2019). «Pharmacological interventions for treating chronic prostatitis/chronic pelvic pain syndrome». En Cochrane Urology Group, ed. Cochrane Database of Systematic Reviews (en inglés). PMC 6778620. PMID 31587256. doi:10.1002/14651858.CD012552.pub2. Consultado el 16 de marzo de 2021.
- Anothaisintawee, Thunyarat (5 de enero de 2011). «Management of Chronic Prostatitis/ Chronic Pelvic Pain Syndrome: A Systematic Review and Network Meta-analysis». JAMA (en inglés) 305 (1): 78. ISSN 0098-7484. doi:10.1001/jama.2010.1913. Consultado el 16 de marzo de 2021.
- Wagenlehner, Florian M. E.; Naber, Kurt G.; Bschleipfer, Thomas; Brähler, Elmar; Weidner, Wolfgang (13 de marzo de 2009). «Prostatitis and Male Pelvic Pain Syndrome». Deutsches Aerzteblatt Online. ISSN 1866-0452. PMC 2695374. PMID 19568373. doi:10.3238/arztebl.2009.0175. Consultado el 16 de marzo de 2021.
- Schaeffer, Anthony J. (2003-02). «Editorial: Emerging Concepts in the Management of Prostatitis/chronic Pelvic Pain Syndrome». Journal of Urology (en inglés) 169 (2): 597-598. ISSN 0022-5347. doi:10.1016/S0022-5347(05)63961-4. Consultado el 16 de marzo de 2021.
- Wagenlehner, Florian M. E.; Naber, Kurt G.; Bschleipfer, Thomas; Brähler, Elmar; Weidner, Wolfgang (13 de marzo de 2009). «Prostatitis and Male Pelvic Pain Syndrome». Deutsches Aerzteblatt Online. ISSN 1866-0452. doi:10.3238/arztebl.2009.0175. Consultado el 16 de marzo de 2021.
- Sandhu, Jaspreet; Tu, Hin Yu Vincent (25 de septiembre de 2017). «Recent advances in managing chronic prostatitis/chronic pelvic pain syndrome». F1000Research (en inglés) 6: 1747. ISSN 2046-1402. PMC 5615772. PMID 29034074. doi:10.12688/f1000research.10558.1. Consultado el 16 de marzo de 2021.
- Yang, G.; Wei, Q.; Li, H.; Yang, Y.; Zhang, S.; Dong, Q. (12 de julio de 2006). «The Effect of -Adrenergic Antagonists in Chronic Prostatitis/Chronic Pelvic Pain Syndrome: A Meta-Analysis of Randomized Controlled Trials». Journal of Andrology (en inglés) 27 (6): 847-852. ISSN 0196-3635. doi:10.2164/jandrol.106.000661. Consultado el 16 de marzo de 2021.
- Cohen, Jeffrey M.; Fagin, Adam P.; Hariton, Eduardo; Niska, Joshua R.; Pierce, Michael W.; Kuriyama, Akira; Whelan, Julia S.; Jackson, Jeffrey L. et al. (1 de agosto de 2012). «Therapeutic Intervention for Chronic Prostatitis/Chronic Pelvic Pain Syndrome (CP/CPPS): A Systematic Review and Meta-Analysis». En Eldabe, Sam, ed. PLoS ONE (en inglés) 7 (8): e41941. ISSN 1932-6203. PMC 3411608. PMID 22870266. doi:10.1371/journal.pone.0041941. Consultado el 16 de marzo de 2021.
- Dhar, Nivedita Bhatta; Shoskes, Daniel A. (2007-07). «New therapies in chronic prostatitis». Current Urology Reports (en inglés) 8 (4): 313-318. ISSN 1527-2737. doi:10.1007/s11934-007-0078-5. Consultado el 16 de marzo de 2021.
- Capodice, Jillian L.; Bemis, Debra L.; Buttyan, Ralph; Kaplan, Steven A.; Katz, Aaron E. (2005). «Complementary and Alternative Medicine for Chronic Prostatitis/Chronic Pelvic Pain Syndrome». Evidence-Based Complementary and Alternative Medicine (en inglés) 2 (4): 495-501. ISSN 1741-427X. PMC 1297501. PMID 16322807. doi:10.1093/ecam/neh128. Consultado el 16 de marzo de 2021.
- Curtis Nickel, J; Baranowski, Andrew P; Pontari, Michel; Berger, Richard E; Tripp, Dean A (2007). «Management of Men Diagnosed With Chronic Prostatitis/Chronic Pelvic Pain Syndrome Who Have Failed Traditional Management». Reviews in Urology 9 (2): 63-72. ISSN 1523-6161. PMC 1892625. PMID 17592539. Consultado el 16 de marzo de 2021.
- «WHO systematic review of prevalence of chronic pelvic pain: a neglected reproductive health morbidity». BMC Public Health 6: 177. 2006. PMC 1550236. PMID 16824213. doi:10.1186/1471-2458-6-177.
- «National Ambulatory medical Care Survey: 2007 Summary». Centers for Disease Control. 3 de noviembre de 2010. Consultado el 1 de septiembre de 2013.
- Hall, Helen; Cramer, Holger; Sundberg, Tobias; Ward, Lesley; Adams, Jon; Moore, Craig; Sibbritt, David; Lauche, Romy (2016). «The effectiveness of complementary manual therapies for pregnancy-related back and pelvic pain». Medicine 95 (38): e4723. PMC 5044890. PMID 27661020. doi:10.1097/MD.0000000000004723.
- «UCPPS Society». Archivado desde el original el 6 de julio de 2017. Consultado el 24 de marzo de 2021.
- J Quentin Clemens, Chris Mullins, John W Kusek, Ziya Kirkali, Emeran A Mayer, Larissa V Rodríguez, David J Klumpp, Anthony J Schaeffer, Karl J Kreder, Dedra Buchwald, Gerald L Andriole, M Scott Lucia, J Richard Landis, Daniel J Clauw, The MAPP Research Network Study Group (1 de agosto de 2014). «The MAPP research network: a novel study of urologic chronic pelvic pain syndromes». BMC Urology 14 (57). PMC 4134515. PMID 25085007. doi:10.1186/1471-2490-14-57.
- «Painful Bladder Filling and Painful Urgency Are Distinct Characteristics in Men and Women with Urologic Chronic Pelvic Pain Syndromes – A MAPP Research Network Study». The Journal of Urology 194 (6): 1634-1641. diciembre de 2015. PMC 4669971. PMID 26192257. doi:10.1016/j.juro.2015.05.105.
Enlaces externos
- Sociedad Internacional de Dolor Pélvico
- Sociedad Americana del Dolor
- Programa de dolor pélvico de la Universidad de Míchigan
- Programa de dolor pélvico de la Universidad de Carolina del Norte
- Dolor de punta de cola (dolor de cóccix, coccigodinia)
- Ejercicios para paliar el dolor pélvico Archivado el 27 de enero de 2022 en Wayback Machine.
