Enfermedad de Castleman
La enfermedad de Castleman es un raro desorden linfoproliferativo que puede ser localizada e involucrar un solo ganglio linfático o ser de carácter sistémico y afectar a todos los ganglios del cuerpo. Dentro de los diagnósticos diferenciales, es importante distinguirlo de la hiperplasia reactiva y malignidades.[1] Se caracteriza por el crecimiento de tumores benignos que puede desarrollarse a partir del tejido de un solo linfonodo o a partir de múltiples sitios simultáneamente[2] El crecimiento de los linfonodos radica en la hiperproliferación de ciertas células B que con frecuencia son productoras de múltiples citoquinas. A pesar de no ser considerado como un tipo de cáncer, el sobrecrecimiento de los linfocitos resulta similar a lo ocurrido en los linfomas.[3]
| Enfermedad de Castleman | ||
|---|---|---|
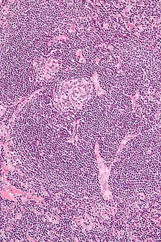
![]() Micrografía de la variante vascular hialina. | ||
| Especialidad |
Inmunología angiología | |
Su nombre proviene del médico Benjamin Castleman (1906 - 1982).[4][5]
Tipos
Unicéntrico
Se caracteriza por aparecer en personas de edad joven y tiene un curso asintomático y benigno. La localización de las adenopatías puede afectar al mediastino o al hilio pulmonar.
Multicéntrico
A diferencia del tipo unicéntrico, la forma multicéntrica afecta a personas de edad avanzada y tiene un curso más desfavorable. Destaca la presencia de síntomas generales (fiebre, astenia, anorexia), hepatoesplenomegalia y erupciones en la piel. Las adenopatías son generalizadas (cervicales, axilares, mediastínicos, retroperitoneales, inguinales...) y no dolorosas.
Se han descrito complicaciones a largo plazo como el sarcoma de Kaposi, el linfoma difuso de células B, la enfermedad de Hodgkin o el síndrome POEMS.
Referencias
- Weng, Chien-Hsiang; Joe-Bin Chen, John Wang, Cheng-Chung Wu, Yuan Yu, Tseng-Hsi Lin (agosto de 2011). «Surgically Curable Non-Iron Deficiency Microcytic Anemia: Castleman’s Disease». Onkologie 34 (8-9): 456-458. PMID 21934347. doi:10.1159/000331283.
- Bucher P, Chassot G, Zufferey G, Ris F, Huber O, Morel P (junio de 2005). «Surgical management of abdominal and retroperitoneal Castleman's disease». World J Surg Oncol 3: 33. PMC 1166581. PMID 15941478. doi:10.1186/1477-7819-3-33.
- «Castleman disease». Mayo Clinic. Consultado el 3 de febrero de 2010.
- synd/3017 en Who Named It?
- Castleman B, Iverson L, Menendez VP (1956). «Localized mediastinal lymphnode hyperplasia resembling thymoma». Cancer 9 (4): 822-30. PMID 13356266. doi:10.1002/1097-0142(195607/08)9:4<822::AID-CNCR2820090430>3.0.CO;2-4.
