Esfínter urinario artificial
Un esfínter urinario artificial (AUS, por sus siglas en inglés) es un dispositivo implantado para tratar la incontinencia urinaria de esfuerzo moderada a severa, más comúnmente en los hombres. El AUS está diseñado para complementar la función del esfínter urinario natural que restringe el flujo de orina fuera de la vejiga.
Esfínter urinario artificial
![]() Modelo 3D del AMS 800 ![]() Modelo 3D del ZSI 375 | ||
|---|---|---|
| Clasificación y recursos externos | ||
| ICD-10-PCS | 0THC0LZ | |
| Otros códigos: | CPT 53445 | |
| Sinónimos | ||
| Esfínter artificial inflable | ||
La cirugía del esfínter artificial se hace para mejorar la calidad de vida del paciente, ya que le permite contener la orina durante las actividades diarias.
Descripción
Hay dos tipos de esfínteres urinarios artificiales:
- El esfínter urinario artificial con un depósito de balón (3 componentes): abrazadera, bomba y balón. La abrazadera se coloca alrededor de la uretra; la bomba se inserta en el escroto y el depósito del globo se implanta en el espacio retropúbico, entre la vejiga y la vena ilíaca. La presión en el circuito hidráulico es generada por el balón-depósito elástico y por la presión retropúbica.[1][2]
- El esfínter urinario artificial con un resorte (2 componentes): unidad de abrazadera y bomba.[3][4] La abrazadera se coloca alrededor de la uretra y la unidad de bomba se inserta en el escroto. La presión en el circuito hidráulico es generada por el resorte de la unidad de bomba. La presión en el espacio retropúbico no tiene ninguna influencia para este tipo de esfínter.
La característica común entre los diseños disponibles es un mecanismo de constricción mecánica: una abrazadera inflable lleno de solución salina estéril y colocado alrededor de la uretra que mantiene cerrada la luz uretral; esto se debe a la presión producida dentro del dispositivo y a un mecanismo de bomba de control accesible externamente colocado entre dos capas de piel del escroto (bolsa de subdartos) que permite al usuario aliviar manualmente la constricción para permitir la micción.
Historia

Frederic Foley fue el primero en describir un esfínter urinario artificial usado externamente para tratar la incontinencia urinaria, publicado en 1947.[5] En 1972, F. Brantley Scott y sus colegas del Baylor College of Medicine diseñaron el primer precursor del esfínter urinario artificial contemporáneo.[6][7]
El primer modelo de AUS en el mercado fue el AMS 800 (Boston Scientific, Marlborough, MA), desarrollado hace 50 años.[8][9] Es un dispositivo de 3 componentes con una abrazadera colocada alrededor de la uretra, una bomba insertada en el escroto y un depósito generador de presión colocado en la pelvis, que viene como un kit para preparar y llenar antes de la implantación.[10]
Otro modelo es el ZSI 375 (implantes quirúrgicos Zephyr, Ginebra, Suiza), introducido en 2008.[11] Es un dispositivo de una pieza de dos partes con una abrazadera y una unidad de bomba con un resorte integrado; viene en una sola pieza, previamente conectado y precargado.[1][12] No hay ningún componente abdominal en el ZSI 375, que junto con su configuración lista para implantar reduce el tiempo de operación.[13] Además, debido a que no hay componente abdominal, no se requieren intervenciones quirúrgicas en el espacio retroperitoneal. Las cirugías previas, como la prostatectomía radical, pueden provocar cicatrices postoperatorias y fibrosis en el espacio retroperitoneal. Por lo tanto, evitar la disección de tejidos retroperitoneales evita el riesgo de complicaciones quirúrgicas.[14][15] El modelo permite aumentar o disminuir la presión dentro del dispositivo después de la implantación para cumplir con la tasa de continencia deseada; estos ajustes ayudan particularmente a controlar la continencia en casos de atrofia uretral posterior a la implantación o retención urinaria (flujo de orina deficiente).[16][17][13] El ajuste de la presión se puede realizar de forma ambulatoria agregando o eliminando solución salina estéril a través del escroto mediante una jeringa.[12] En 2019, se habían implantado más de 4.500 ZSI 375 en el mundo.[11]
En ambos modelos, la solución salina estéril dentro del sistema se usa para generar presión y comprimir la uretra (para evitar que la orina se escape). La abrazadera uretral se desinfla manualmente presionando la bomba de control que se coloca en el escroto, lo que permite al paciente vaciar la vejiga. La abrazadera uretral se vuelve a inflar automáticamente para rellenar la abrazadera uretral y, una vez más, evitar que se escape la orina.[1][18]
La lista incluye modelos AUS disponibles en 2020:
| Producto | Compañía | País de origen | Presentado en | Diseño | Preconectado y prellenado | Entrega de presión | Presión ajustable |
|---|---|---|---|---|---|---|---|
| AMS 800 | Boston Scientific (antes American Medical Systems) | Estados Unidos de América | 1988 | 3 componentes: abrazadera, bomba, depósito de globo | No | Depósito flexible insertado en el piso pélvico | No |
| ZSI 375 | Zephyr Surgical Implants | Suiza | 2008 | 2 componentes: abrazadera, unidad de bomba | Si | Resorte de acero inoxidable dentro de la unidad de bomba insertada en el escroto | Si |
Uso médico



La deficiencia intrínseca del esfínter que conduce a la incontinencia de esfuerzo es la indicación más común para la implantación de AUS.[13] La Asociación Europea de Urología recomienda la implantación de AUS para la incontinencia de esfuerzo moderada a severa en los hombres.[19] Además, a pesar de las nuevas opciones de tratamiento (eslingas, inyecciones de volumen uretral, terapia con células madre), la AUS se considera el tratamiento quirúrgico estándar de oro tanto para la incontinencia de esfuerzo en hombres como para la incontinencia urinaria desarrollada como una complicación de la cirugía, como la prostatectomía, cistectomía y RTU.[8][4][3]
Existen varios informes de casos publicados en la literatura sobre implantación de AUS en niños por incontinencia secundaria como resultado de una lesión uretral traumática.[20][21]
Hay datos limitados sobre el uso de AUS en mujeres, y no todos los productos disponibles en el mercado están diseñados para su uso en mujeres.[22][23] La Asociación Europea de Urología ofrece recomendaciones limitadas sobre el uso de AUS en mujeres, indicando que aunque la cura es posible, el riesgo de complicaciones es alto.[19] No obstante, la AUS se ha utilizado como último recurso para tratar la incontinencia urinaria en mujeres debido a causas congénitas y secundarias a enfermedades neurológicas.[22]
Resultados
Tasa de éxito
Se han publicado numerosos estudios sobre los resultados de los pacientes que se han sometido a un implante de esfínter urinario artificial. La tasa de éxito, generalmente definida como lograr el total (sin uso de almohadilla) o la continencia social (uso de ≤1 almohadilla / día) con el dispositivo implantado, varía de 61% a 100% en la literatura.[4] La mejora en la calidad de vida también se ha considerado como un éxito, incluso si se necesitaba más de 1 almohadilla / día. La tasa de éxito se informó en 78% con un seguimiento de 3 años[17] y más del 72% con 5 a 7 años de seguimiento.[24] En una revisión sistemática (2013), se informó que la tasa de éxito fue del 79% con un período de seguimiento que oscila entre 5 meses y 16 años.[25] Un estudio comparativo entre pacientes implantados con diferentes modelos de esfínter urinario artificial y continencia social lograda no mostró diferencias entre dos grupos con respecto a las pruebas urodinámicas, como la tasa de flujo, la presión uretral, etc.[2]
Satisfacción
En diferentes estudios con un seguimiento medio de más de 6 años,[26][27] al menos el 73% de los hombres con un esfínter urinario artificial implantado estaban satisfechos o muy satisfechos con el dispositivo, y el 10-23% informaron insatisfacción. En períodos más cortos de seguimiento (2-4 años), las tasas de satisfacción alcanzaron más del 90%.[25][26][4] En otro estudio con un seguimiento medio de más de 7 años, la tasa de satisfacción general midió 3.9 en una escala de 0 a 5.[26] La tasa de satisfacción en pacientes después de la radioterapia no parece verse afectada de manera desfavorable.[28] Se informa que la satisfacción inicial con la tasa de continencia mejora al ajustar la presión dentro del implante con el modelo ZSI 375.[23]
Las encuestas de pacientes que se sometieron al procedimiento han encontrado que más del 90% recomendaría el procedimiento a un amigo o familiar con el mismo problema, y más del 90% volvería a someterse a la implantación.[29][30] Junto con esto, el 14% de los pacientes informaron una mejora en la actividad sexual.[30]
Se ha demostrado que la calidad de vida después de la implantación de AUS ha mejorado significativamente en numerosos estudios que utilizan diversas herramientas de escala. Y la calidad de vida parece no verse afectada negativamente por las reintervenciones, siempre que el dispositivo continúe funcionando después de la revisión.[25][7]
Reoperación
En la serie más grande disponible que evalúa a 1082 pacientes que se sometieron a colocación primaria de AUS, la tasa de supervivencia del dispositivo a 5 años fue del 74%, lo que es consistente con los resultados informados en la literatura, que van del 59% al 79%.[31] Notablemente, en todas las series, con el tiempo algunos pacientes tuvieron que someterse a una cirugía repetida por incontinencia urinaria recurrente o infección del dispositivo. En un análisis agrupado de los estudios disponibles, la tasa de reintervención (por cualquier causa) fue aproximadamente del 26%.[25] Significativamente, algunos estudios han demostrado que los cirujanos que realizan este procedimiento con mayor frecuencia (cirujanos de alto volumen) han mejorado los resultados en comparación con aquellos que lo hacen con menos frecuencia.[23] De hecho, en esta serie, las tasas de reoperación disminuyeron en aproximadamente un 50% a medida que los cirujanos alcanzaron su caso número 200 enfatizando la necesidad de que los pacientes potenciales busquen cirujanos de alto volumen para mejorar sus posibilidades de éxito.[23]
Riesgos y complicaciones
El procedimiento generalmente es seguro. Los posibles riesgos derivados de la implantación de la AUS incluyen:[1]
- lesión de la uretra o vejiga durante la colocación de AUS;
- dificultades para vaciar la vejiga que requiere autocateterismo temporal;
- persistencia de la incontinencia urinaria de esfuerzo;
- infección del dispositivo que conduce a la extracción;
- incontinencia recurrente por falla del dispositivo o atrofia de los tejidos uretrales (en cuyo caso una cirugía adicional puede quitar el dispositivo viejo y reemplazarlo por uno nuevo).
La tasa general de complicaciones reportadas en los hombres es del 37%.[32] Las complicaciones postoperatorias más comunes son:
- falla mecánica (8-21%)
- erosión uretral (4-15%)
- infección (1-14%)
- atrofia uretral (4-10%)
Otras complicaciones menos frecuentes son hematoma, estenosis uretral, fístula urinaria.[33] Las fallas mecánicas y las complicaciones no mecánicas pueden llevar a una revisión quirúrgica en 8-45% y 7-17% de los casos, respectivamente. Se informa que las tasas generales de explantación del dispositivo en varones son del 16-20%.[34]
Una de las causas de la falla mecánica son las complicaciones relacionadas con el balón-reservorio. Se ha informado que el 26% de los hombres con un AUS implantado requirieron una nueva operación en el seguimiento de 10 años, para regular la presión dentro del dispositivo.
Seguimiento
Después del alta
Se deben evitar las relaciones sexuales durante las primeras 6 semanas después del procedimiento para permitir que la herida sane adecuadamente.[35] Las actividades físicas que ejercen presión directa sobre la herida, como montar a caballo y andar en bicicleta, también deben evitarse durante al menos 6 semanas. Los pacientes pueden ser recetados con un soporte escrotal para usar durante 1 semana después del procedimiento.[36]
Atención continua
Para minimizar el riesgo de daño a su AUS o uretra, es vital que el paciente informe a su proveedor de atención médica que tiene un AUS antes de cualquier colocación de catéter urinario, cistoscopia o cualquier otra intervención médica en el tracto urinario.[37] Se puede recomendar la desactivación del dispositivo por las noches a los pacientes, especialmente a aquellos que informan estar secos por la noche, para minimizar los riesgos de atrofia uretral.[38][35]
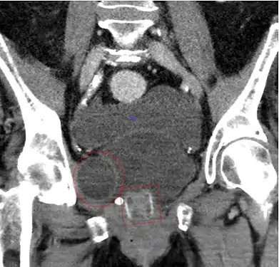
Galería de imágenes
Tomografía computarizada (reconstrucción coronal) que muestra un AMS 800 en una mujer
Una imagen de rayos X del ZSI 375 implantado. El dispositivo está desactivado: el resorte está comprimido debajo de la parte superior del cilindro. El paciente es incontinente.
Una imagen de rayos X del ZSI 375 implantado. El dispositivo está activado: el resorte se descomprime en la parte superior del cilindro. El paciente es continente.
Un GIF animado que muestra cómo la abrazadera periuretral de la AUS contrae la uretra.
Referencias
- Vakalopoulos, Ioannis; Kampantais, Spyridon; Laskaridis, Leonidas; Chachopoulos, Vasileios; Koptsis, Michail; Toutziaris, Chrysovalantis (2012). «New Artificial Urinary Sphincter Devices in the Treatment of Male Iatrogenic Incontinence». Advances in Urology 2012. ISSN 1687-6369. PMC 3332164. PMID 22567002. doi:10.1155/2012/439372. Consultado el 3 de mayo de 2020.
- Ripert, Thomas; Pierrevelcin, Jean (21 de septiembre de 2017). «Comparative study of urodynamic tests after AMS 800 and ZSI 375 insertion». Urologia Journal (en inglés estadounidense) 85 (1): 15-18. ISSN 0391-5603. doi:10.5301/uj.5000271. Consultado el 3 de mayo de 2020.
- Bauer, Ricarda M.; Gozzi, Christian; Hübner, Wilhelm; Nitti, Victor W.; Novara, Giacomo; Peterson, Andrew; Sandhu, Jaspreet S.; Stief, Christian G. (2011-06). «Contemporary Management of Postprostatectomy Incontinence». European Urology 59 (6): 985-996. ISSN 0302-2838. doi:10.1016/j.eururo.2011.03.020. Consultado el 3 de mayo de 2020.
- Cordon, Billy H. (4 de julio de 2016). «Artificial urinary sphincters for male stress urinary incontinence: current perspectives». Medical Devices: Evidence and Research (en inglés). pp. 175-183. doi:10.2147/mder.s93637. Consultado el 3 de mayo de 2020.
- Foley Frederic E.B. (1 de octubre de 1947). «An Artificial Sphincter: A New Device and Operation for Control of Enuresis and Urinary Incontinence1». Journal of Urology 58 (4): 250-259. doi:10.1016/S0022-5347(17)69552-1. Consultado el 3 de mayo de 2020.
- Scott F. Brantley; Bradley William E.; Timm Gerald W. (1 de julio de 1974). «Treatment of Urinary Incontinence By An Implantable Prosthetic Urinary Sphincter». Journal of Urology 112 (1): 75-80. doi:10.1016/S0022-5347(17)59647-0. Consultado el 3 de mayo de 2020.
- Yafi, Faysal A.; Powers, Mary K.; Zurawin, Jonathan; Hellstrom, Wayne J. G. (1 de abril de 2016). «Contemporary Review of Artificial Urinary Sphincters for Male Stress Urinary Incontinence». Sexual Medicine Reviews (en inglés) 4 (2): 157-166. ISSN 2050-0521. doi:10.1016/j.sxmr.2015.11.004. Consultado el 3 de mayo de 2020.
- Suarez, Oscar A.; McCammon, Kurt A. (2016-06). «The Artificial Urinary Sphincter in the Management of Incontinence». Urology 92: 14-19. ISSN 0090-4295. doi:10.1016/j.urology.2016.01.016. Consultado el 3 de mayo de 2020.
- Scott, F. B.; Bradley, W. E.; Timm, G. W. (1 de julio de 1974). «Treatment of urinary incontinence by an implantable prosthetic urinary sphincter». The Journal of Urology 112 (1): 75-80. ISSN 0022-5347. PMID 4600662. doi:10.1016/s0022-5347(17)59647-0.
- AMS 800™ Urinary Control System For Male Patients: Oerating Room Manual. Minnetonka, MN: Boston Scientific Corporation. 2017. Archivado desde el original el 24 de febrero de 2020. Consultado el 24 de enero de 2020.
- Zephyr Surgical Implants (November 2019). ARTIFICIAL URINARY SPHINCTER ZSI 375 (Second edición). Geneva, Switzerland: Zephyr Surgical Implants. Consultado el 19 de enero de 2020.
- Ostrowski, Ireneusz; Golabek, Tomasz; Ciechan, Janusz; Śledź, Emil; Przydacz, Mikolaj; Dyś, Wojciech; Blewniewski, Mariusz; von Heyden, Burkhard; Pottek, Tobias; Neugart, Frank; Carrieri, Giuseppe; Selvaggio, Oscar; Iori, Francesco; Arjona, Manuel Fernández; Foley, Steve; Yang, Bob; Llorens, Christophe; Różanski, Waldemar; Chłosta, Piotr L. (2019). «Preliminary outcomes of the European multicentre experience with the ZSI 375 artificial urinary sphincter for treatment of stress urinary incontinence in men». Central European Journal of Urology 72 (3): 263-269. PMC 6830485. PMID 31720028. doi:10.5173/ceju.2019.1920.
- Ostrowski, Ireneusz; Ciechan, Janusz; Sledz, Emil; Dys, Wojciech; Golabek, Tomasz; Chłosta, Piotr L. (2018). «Four-year follow-up on a ZSI 375 artificial urinary sphincter for male urinary incontinence from one urological centre in Poland». Central European Journal of Urology 71 (3): 320-325. PMC 6202622. PMID 30386654. doi:10.5173/ceju.2018.1704.
- Sandhu, Jaspreet S.; Maschino, Alexandra C.; Vickers, Andrew J. (December 2011). «The Surgical Learning Curve for Artificial Urinary Sphincter Procedures Compared to Typical Surgeon Experience». European Urology 60 (6): 1285-1290. PMC 3646622. PMID 21665357. doi:10.1016/j.eururo.2011.05.048. Consultado el 27 de enero de 2020.
- Staerman, Frederic; G-Llorens, Christophe; Leon, Priscilla; Leclerc, Yves (April 2013). «ZSI 375 artificial urinary sphincter for male urinary incontinence: a preliminary study». BJU International 111 (4b): E202-E206. PMID 22937774. doi:10.1111/j.1464-410X.2012.11468.x.
- Obando, Alejandro Carvajal; Gil, Federico Gavira; Martinez, Álvaro Gutiérrez; Molina, Luis Fernando Echeverry; Botero, Juan Carlos Castaño (1 de junio de 2017). «EFFICACY OF THE ARTIFICIAL URINARY SPHINCTER ZSI 375 FOR TREATMENT OF POST-RADICAL PROSTATECTOMY INCONTINENCE IN PATIENTS WITH INTRINSIC SPHINCTER DEFICIENCY: A PRELIMINARY STUDY». European Medical Journal 2 (2): 22-26. Consultado el 27 de enero de 2020.
- Ostrowski, Ireneusz; Blewniewski, Mariusz; Neugart, Frank; von Heyden, Burkhard; Selvaggio, Oscar; Iori, Francesco; Foley, Steeve; Fernández Arjona, Manuel et al. (29 de mayo de 2017). «Multicentre Experience with ZSI 375 Artificial Urinary Sphincter for the Treatment of Stress Urinary Incontinence in Men». Urologia Journal (en inglés estadounidense) 84 (3): 148-152. ISSN 0391-5603. doi:10.5301/uj.5000246. Consultado el 3 de mayo de 2020.
- Chung, Eric (July 2017). «Contemporary surgical devices for male stress urinary incontinence: a review of technological advances in current continence surgery». Translational Andrology and Urology 6 (Supplement 2): S112-S121. PMC 5522789. PMID 28791230. doi:10.21037/tau.2017.04.12.
- Burkhard, F.C.; Bosch, J.L.H.R.; Cruz, F.; Lemack, G.E.; Nambiar, A.K.; Thiruchelvam, N.; Tubaro, A. (2018). EAU Guidelines on Urinary Incontinence in Adults. Arnhem, The Netherlands: European Association of Urology. ISBN 978-94-92671-01-1. Archivado desde el original el 8 de febrero de 2020. Consultado el 24 de enero de 2020.
- Routh, Jonathan C.; Husmann, Douglas A. (1 de octubre de 2007). «Long-term continence outcomes after immediate repair of pediatric bladder neck lacerations extending into the urethra». The Journal of Urology 178 (4S): 1816-1818. PMID 17707005. doi:10.1016/j.juro.2007.05.094.
- Kandpal, D. K.; Rawat, S. K.; Kanwar, S.; Baruha, A.; Chowdhary, S. K. (1 de octubre de 2013). «Single piece artificial urinary sphincter for secondary incontinence following successful repair of post traumatic urethral injury». Journal of Indian Association of Pediatric Surgeons (en inglés) 18 (4): 152. ISSN 0971-9261. PMC 3853858. PMID 24347870. doi:10.4103/0971-9261.121120. Consultado el 3 de mayo de 2020.
- Islah, MAR; Cho, Sung Yong; Son, Hwancheol (April 2013). «The Current Role of the Artificial Urinary Sphincter in Male and Female Urinary Incontinence». The World Journal of Men's Health 31 (1): 21-30. PMC 3640149. PMID 23658862. doi:10.5534/wjmh.2013.31.1.21.
- Sandhu, Jaspreet S.; Maschino, Alexandra C.; Vickers, Andrew J. (2011). «The Surgical Learning Curve for Artificial Urinary Sphincter Procedures Compared to Typical Surgeon Experience». European Urology 60 (6): 1285-1290. PMC 3646622. PMID 21665357. doi:10.1016/j.eururo.2011.05.048.
- Llorens, Christophe; Pottek, Tobias (18 de mayo de 2017). «Urinary Artificial Sphincter ZSI 375 for Treatment of Stress Urinary Incontinence in Men: 5 and 7 Years Follow-Up Report». Urologia Journal (en inglés estadounidense) 84 (4): 263-266. ISSN 0391-5603. doi:10.5301/uj.5000243. Consultado el 3 de mayo de 2020.
- Van der Aa, Frank; Drake, Marcus J.; Kasyan, George R.; Petrolekas, Andreas; Cornu, Jean-Nicolas (April 2013). «The Artificial Urinary Sphincter After a Quarter of a Century: A Critical Systematic Review of Its Use in Male Non-neurogenic Incontinence». European Urology 63 (4): 681-689. PMID 23219375. doi:10.1016/j.eururo.2012.11.034. Consultado el 25 de enero de 2020.
- Montague, Drogo K. (2012). «Artificial Urinary Sphincter: Long-Term Results and Patient Satisfaction». Advances in Urology 2012 (Special Issue): 1-4. PMC 3318201. PMID 22536227. doi:10.1155/2012/835290.
- Chung, Eric (17 de junio de 2014). «A state-of-the-art review on the evolution of urinary sphincter devices for the treatment of post-prostatectomy urinary incontinence: Past, present and future innovations». Journal of Medical Engineering & Technology 38 (6): 328-332. PMID 24936961. doi:10.3109/03091902.2014.899400.
- Herschorn, Sender (17 de abril de 2013). «The artificial urinary sphincter is the treatment of choice for post–radical prostatectomy incontinence». Canadian Urological Association Journal 2 (5): 536-9. PMC 2572249. PMID 18953453. doi:10.5489/cuaj.924.
- Viers, Boyd R.; Linder, Brian J.; Rivera, Marcelino E.; Rangel, Laureano J.; Ziegelmann, Matthew J.; Elliott, Daniel S. (2016). «Long-Term Quality of Life and Functional Outcomes among Primary and Secondary Artificial Urinary Sphincter Implantations in Men with Stress Urinary Incontinence». The Journal of Urology 196 (3): 838-843. PMID 26997310. doi:10.1016/j.juro.2016.03.076.
- Litwiller, Scott E.; Kim, Kap B.; Fone, Patricia D.; deVere White, Ralph W.; Stone, Anthony R. (December 1996). «Post-Prostatectomy incontinence and the Artificial Urinary Sphincter: A Long-Term Study of Patient Satisfaction and Criteria for Success». Journal of Urology 156 (6): 1975-1980. PMID 8911369. doi:10.1016/S0022-5347(01)65408-9. Consultado el 2 de febrero de 2020.
- Linder, Brian J.; Rivera, Marcelino E.; Ziegelmann, Matthew J.; Elliott, Daniel S. (2015). «Long-term Outcomes Following Artificial Urinary Sphincter Placement: An Analysis of 1082 Cases at Mayo Clinic». Urology 86 (3): 602-607. PMID 26135815. doi:10.1016/j.urology.2015.05.029.
- Hussain, Mahreen; Greenwell, Tamsin J.; Venn, Suzie N.; Mundy, Anthony R. (1 de agosto de 2005). «The current role of the artificial urinary sphincter for the treatment of urinary incontinence». Journal of Urology 174 (2): 418-424. PMID 23658862. doi:10.1097/01.ju.0000165345.11199.98.
- Islah, MAR; Cho, Sung Yong; Son, Hwancheol (2013). «The Current Role of the Artificial Urinary Sphincter in Male and Female Urinary Incontinence». The World Journal of Men's Health 31 (1): 21. ISSN 2287-4208. PMC 3640149. PMID 23658862. doi:10.5534/wjmh.2013.31.1.21. Consultado el 3 de mayo de 2020.
- Amend, Bastian; Toomey, Patricia; Sievert, Karl-Dietrich (November 2013). «Artificial sphincter». Current Opinion in Urology 23 (6): 520-527. PMID 24080811. doi:10.1097/01.MOU.0000434591.02823.d0. Consultado el 20 de enero de 2020.
- «Urinary Sphincter Replacement (Discharge Care) - What You Need to Know». Drugs.com (en inglés). Consultado el 25 de marzo de 2020.
- «About Your Artificial Urinary Sphincter | Memorial Sloan Kettering Cancer Center». www.mskcc.org (en inglés). Memorial Sloan Kettering Cancer Center. Consultado el 25 de marzo de 2020.
- Agarwal, Deepak K; Linder, Brian J; Elliott, Daniel S (2016). «Artificial urinary sphincter urethral erosions: Temporal patterns, management, and incidence of preventable erosions». Indian Journal of Urology 0 (1): 26-29. PMC 5264188. PMID 28197026. doi:10.4103/0970-1591.195758.
- Elliott, Daniel S; Barrett, David M; Gohma, Mohamed; Boone, Timothy B (June 2001). «Does nocturnal deactivation of the artificial urinary sphincter lessen the risk of urethral atrophy?». Urology 57 (6): 1051-1054. doi:10.1016/s0090-4295(01)00963-3. Consultado el 25 de marzo de 2020.
Enlaces externos
- Incontinencia urinaria - Enciclopedia MedlinePlus.
- Medscape: colocación de esfínter urinario artificial

