Fractura de Goyrand-Smith

La fractura de Goyrand-Smith o fractura de Smith (o fractura de Colles invertida) es una fractura del extremo distal del radio con desplazamiento palmar del fragmento y la mano, respecto del radio; esto produce la deformidad en pala de jardinería. Su epónimo se debe al médico, cirujano y político francés Gaspard Goyrand[1] y al cirujano ortopédico irlandés Robert William Smith que la describe en su obra Treatise on Fractures in the Vicinity of Joints, and on certain forms of Accidents and Congenital Dislocations, publicada en 1847.[2]

Fractura de Goyrand-Smith

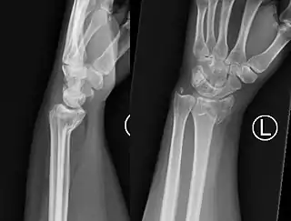
Fractura de Smith muñeca izquierda
Sinónimos
fractura de Colles invertida

El fragmento de fractura distal se desplaza de forma volar (ventralmente), a diferencia de la fractura de Colles, que el fragmento se desplaza dorsalmente. Dependiendo de la gravedad del impacto, puede haber uno o varios fragmentos y puede o no afectar la superficie articular de la articulación de la muñeca.

Mecanismo de lesión

Está causada, de forma opuesta a lo que sucede con la fractura de Colles, por traumatismos que ejercen impacto sobre al extremo distal y dorsal del antebrazo, o por caídas con la muñeca en flexión. Dependiendo de la severidad del traumatismo puede producirse una fractura de uno o de varios fragmentos y puede afectar o no a la superficie articular del radio con el carpo.[3]

Epidemiología

La fractura de Goyrand-Smith es bastante menos frecuente que la fractura de Colles.

Exploración

Los pacientes aquejados con este tipo de fractura presentan dolor, colocando la extremidad en posición antiálgica o apoyada en la extremidad sana, que visualmente tienen un acortamiento del radio y una deformidad hacia cara palmar, o volar, de la parte más distal del antebrazo, lo que se conoce como deformidad en "pala del jardinero".

Por el desplazamiento palmar típico de esta fractura con cierta frecuencia puede existir un compromiso vasculo-nervioso agudo, por ello, como se ha de hacer en todo tipo de traumatismo, es importante comprobar que no existen signos de compromiso circulatorio agudo a nivel distal de la extremidad afectada, mano o dedos, en forma de palidez cutánea, dolor o disminución de la capacidad motora o sensitiva de la mano y/o dedos, o afectación nerviosa, casi siempre por compresión o lesión del nervio mediano, lo que se traduce en clínica deficitaria motora y sensitiva de la mano y de los dedos típica de la afectación de este nervio: imposibilidad para abducir y oponer el primer dedo, pérdida de sensibilidad del primero, segundo y tercer dedo y del lado radial del 4.º dedo, debilidad para la pronación y flexión de la muñeca.

Diagnóstico

El diagnóstico inicial es clínico mediante al exploración, haciendonos sospechar la presencia de este tipo de fractura si se presentan los signos detallados arriba. Ante esta sospecha, el diagnóstico final apropiado de este tipo de fracturas necesita la realización de una radiografía simple del antebrazo distal y del carpo en al menos dos proyecciones: antero-posterior y lateral. En algunos casos, una vez realizada la radiografía simple, cuando las imágenes muestren que se trata de una fractura multifragmentario o compleja, la realización de una tomografía computarizada simple de la lesión puede ser útil para guiar el tratamiento.

Tratamiento

El tratamiento depende de la gravedad de la misma. Esta se define por la concurrencia de que se traté o no de una fractura cerrada o abierta, del grado de desplazamiento del fragmento o fragmentos distales y del número de fragmentos del que se compone la fractura.

Por el desplazamiento palmar o volar típico de esta fractura puede suponer con cierta frecuencia que exista un compromiso vasculo-nervioso agudo. En este caso se impone una reducción de la fractura lo más inmediata posible independientemente del resto de los factores, intentando recuperar el la circulación sanguínea arterial distal.

En caso de fracturas cerradas, si el grado de desplazamiento es mínimo se debe intentar una reducción cerrada de la misma con colocación de una férula de yeso o de un yeso circular, si es posible con control radiológico, realizándose un control precoz de la evolución de la fractura en unos pocos días para descartar desplazamientos secundarios o diferidos. Si tras intentar la reducción cerrada no se consigue un aposición anatómica óptima de la fractura, o si en el control evolutivo se aprecia un desplazamiento mayor del deseado, requerirá una reducción abierta quirúrgica.

Si el grado de desplazamiento de los fragmentos es significativo requerirá una reducción abierta en quirófano para la colocación de una fijación interna en forma, generalmente, de una placa metálica palmar atornillada.

En caso de fracturas abiertas, el tratamiento siempre será quirúrgico, generalmente colocándose un fijador externo, además de desbridamiento de la herida y de tratamiento antibiótico adecuado. En estos casos de herida asociada a la fractura, es imprescindible comprobar el estado de vacunación antitetánica del paciente y actuar en consecuencia.

Referencias

  1. [Goyrand J.G.B (1803-1866), surgeon and academicia...[Ann Chir Plast Esthet. 1992] - PubMed Result
  2. «Smith's fracture (Robert William Smith)». Whonamedit? (en inglés). Consultado el 31 de diciembre de 2018.
  3. Stead, LG; Stead, SM; Kaufman, MS (2006). First Aid: Emergency Medicine (2nd edición). McGraw-Hill. ISBN 0-07-144873-X.

Enlaces externos

Este artículo ha sido escrito por Wikipedia. El texto está disponible bajo la licencia Creative Commons - Atribución - CompartirIgual. Pueden aplicarse cláusulas adicionales a los archivos multimedia.