Fractura del pie
En medicina, se entiende por fractura del pie a cualquier fractura ósea que produzca una solución de continuidad en alguno de los huesos que forman la estructura del pie. Generalmente se deben a un traumatismo, pero en ocasiones se producen por sobrecarga y no existen antecedentes de golpe ni caída, son las llamadas fracturas por fatiga que se presentan sobre todo en los huesos metatarsianos y son frecuentes en deportistas, militares o personas que por circunstancias laborales deben caminar largas distancias.[1]
| Fractura de pie | ||
|---|---|---|
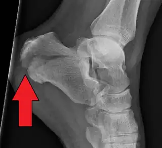
![]() Fractura de calcáneo | ||
Importancia y etiología
Las fracturas del pie son de gran complejidad debido a que cada pie está formado por 26 huesos que forman 30 articulaciones sustentadas por más de 100 ligamentos óseos. El pie es un elemento fundamental en la locomoción y durante la marcha soporta una carga biomecánica que equivale a 7 veces el peso corporal.
Las principales causas de fractura son aplastamiento, golpes directos, caídas, accidentes de tráfico o laborales, sobrecargas sin trauma y esguinces o torceduras que provocan arrancamiento de fragmentos óseos.
Clasificación
Dependiendo del hueso afectado las fracturas del pie se clasifican en los siguientes tipos:

- Fractura de calcáneo.
- Fractura de astrágalo
- Fractura del escafoides del pie.
- Fractura de cuboides.
- Fractura luxación de Chopart. La articulación de Chopart está formada por la articulación calcaneocuboidea y la astragaloescafoidea. La luxación suele asociarse a rotura y distensión de ligamentos y fractura del escafoides del pie o del cuboides.[2]
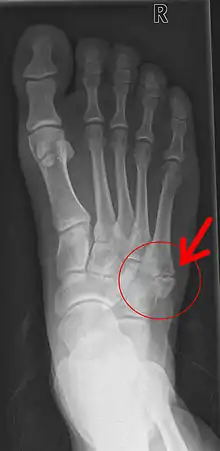
- Fractura de metatarsiano.
- Fractura de las falanges del pie.
Galería de imágenes
Hueso calcáneo representado en color rojo.
Hueso astrágalo representado en rojo.
Primer metatarsiano representado en color verde.
Cuarto metatarsiano
Quinto metatarsiano
Referencias
- https://www.ucm.es/data/cont/docs/420-2014-03-28-24%20Lesiones%20traumaticas%20de%20tobillo%20y%20pie.pdf Lesiones traumáticas del tobillo y pie.
- http://www.portalsato.es/documentos/revista/Revista16-2/07.pdf Luxación de la articulación de Chopart. A propósito de un caso.
