Hemotórax
El hemotórax es la presencia de sangre en la cavidad pleural. Generalmente está causado por lesiones torácicas, (arterias)pero puede haber otras causas, tales como cáncer pulmonar o pleural, o incluso cirugías torácicas o del corazón.[1]
| Hemotórax | ||
|---|---|---|
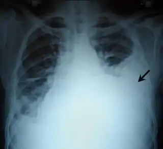
![]() Radiografía de tórax con un hemotórax izquierdo (flecha negra) | ||
| Especialidad | medicina de emergencia | |
| Síntomas | Dolor torácico y dificultad en la respiración. | |
| Diagnóstico | Radiografía de tórax, Ecografía torácica, TAC torácico, Resonancia magnética nuclear , toracocentesis. | |
En una lesión traumática con un objeto contundente, una costilla puede herir parte del tejido del pulmón o de una arteria, causando que la sangre entre en el espacio pleural, en el caso de una lesión cortopunzante o una herida de bala, puede haber compromiso de pulmón. Un hemotórax puede ir asociado con un neumotórax (entrada de aire en el espacio pleural), y dependiendo de la cantidad de sangre, el hemotórax puede complicarse con un estado de shock.
La cantidad de sangre acumulada varía de acuerdo con el diámetro del vaso sanguíneo roto y tiempo que ha transcurrido desde que se produjo la lesión, así tenemos que en un adulto se puede acumular 3 litros o más en cada espacio pleural. El origen de este sangrado puede ser: vasos intercostales, pulmones, vasos bronquiales, vasos pulmonares y los grandes vasos torácicos.
Manifestaciones clínicas
- Paciente que ha recibido trauma en el tórax
- Dolor intenso en el tórax
- Inspección - Paciente confuso o ansioso: dificultad respiratoria con taquipnea
- Auscultación - Con disminución o ausencia de los ruidos respiratorios en el lado afectado
- Percusión - Matidez en el lugar de timpanismo en el lado enfermo
- Estado de choque (dependiendo la cantidad de sangre perdida).
- Tos (pudiendo haber expectoración hemoptoica).
Los síntomas del hemotórax son: dificultad para respirar, dolor torácico, ansiedad o inquietud, y frecuencia cardíaca acelerada. El médico puede confirmar su diagnóstico con un examen físico que puede revelar una disminución de ruidos respiratorios, la aparición de matidez a la percusión, o por medio de una radiografía de tórax.
Tratamiento

El tratamiento consiste en estabilizar al paciente, detener la hemorragia y extraer la sangre del espacio pleural, sin embargo, también se debe considerar la sangre, es decir, emplear la sangre extraída del tórax como una transfusión.[cita requerida] Además se debe tratar la causa del hemotórax, pero en el caso de una lesión traumática, dependiendo de la gravedad, la simple colocación de un tubo de drenaje es suficiente, sin necesidad de una cirugía. El pronóstico es casi siempre favorable dependiendo de la causa del hemotórax y de la rapidez con la que se aplicó el tratamiento.
Causas y presentación
La causa más común del hemotórax es el trauma, por un objeto contundente o por herida penetrante, resultando en la ruptura de la membrana serosa tanto pleural como parietal. Esta ruptura provoca que la sangre se vacíe en el espacio pleural, igualando las presiones entre este y los pulmones. La pérdida de sangre puede ser masiva en personas con esta condición, puesto que cada lado del tórax puede contener 30-40% del volumen sanguíneo total de una persona. Incluso pequeñas lesiones en la caja torácica pueden llevar a un hemotórax de importancia.
Referencias
- Pumarejo Gomez, Laura; Tran, Vu H. (2022). Hemothorax. StatPearls Publishing. Consultado el 7 de diciembre de 2022.
