Henipavirus
Henipavirus es un género de virus perteneciente a la familia Paramyxoviridae, orden Mononegavirales. Incluye 4 especies: virus Hendra, virus Nipah, virus Cedar y virus Langya. Se caracterizan por provocar enfermedad en humanos y en animales domésticos como caballos y cerdos, siendo responsables de diversos brotes epidémicos que se han producido en las últimas décadas. El hospedante habitual son los murciélagos frugívoros del género Pteropus, comúnmente conocidos como zorros voladores.[2][3]

Microfotografía electrónica de transmisión (TEM) que muestra viriones de Nipah aislados del fluido espinal de un paciente

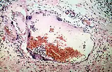
virus Nipah en las venas de los pulmones de un cerdo
| Henipavirus | ||
|---|---|---|
![]() | ||
| Taxonomía | ||
| Dominio: | Riboviria | |
| Reino: | Orthornavirae | |
| Filo: | Negarnaviricota | |
| Clase: | Monjiviricetes | |
| Orden: | Mononegavirales | |
| Familia: | Paramyxoviridae | |
| Género: | Henipavirus | |
| Clasificación de Baltimore | ||
| Grupo: | V (Virus ARN monocatenario negativo) | |
| Especie tipo | ||
| Virus Hendra | ||
| Especies | ||
Referencias
- https://www.razon.com.mx/mundo/china-halla-virus-35-contagios-493830
- Li Y, Wang J, Hickey AC, Zhang Y, Li Y, Wu Y, et al. Antibodies to Nipah or Nipah-like viruses in bats, China. Emerg Infect Dis, diciembre 2008. Consultado el 6 de enero de 2014.
- Sawatsky et al. (2008). «Hendra and Nipah Virus». Animal Viruses: Molecular Biology. Caister Academic Press. ISBN 978-1-904455-22-6.
Este artículo ha sido escrito por Wikipedia. El texto está disponible bajo la licencia Creative Commons - Atribución - CompartirIgual. Pueden aplicarse cláusulas adicionales a los archivos multimedia.
