Hialino
Se denomina hialina a una substancia o material con aspecto vidrioso. La palabra se deriva del griego: ὑάλινος, romanizado: hyálinos, lit. 'transparente' y ὕαλος, hýalos, 'cristal, vidrio'.[1][2]


Histopatología
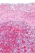
En el uso médico histopatológico, una sustancia hialina aparece vidriosa y rosada después de teñirse con hematoxilina y eosina, por lo general, es un material acelular y proteináceo. Un ejemplo es el cartílago hialino, un cartílago articular transparente y brillante.[3]
A veces se cree erróneamente que el único material hialino es el cartílago hialino; sin embargo es incorrecto ya que el término hialino se aplica a todo material que posea aspecto traslúcido.
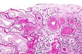
La hialina arterial se observa en el envejecimiento, la presión arterial alta, la diabetes mellitus y en asociación con algunos medicamentos (por ejemplo, inhibidores de la calcineurina). Es de color rosa brillante con tinción PAS.
Ictiología y entomología

En ictiología y entomología, hialino denota una sustancia transparente e incolora, como aletas de peces sin pigmentar o alas de insecto claras.[4]
Véase también
- Arterioesclerosis hialina
- Canal hialoide, que pasa a través del ojo
- Síndrome de dificultad respiratoria infantil, previamente conocido como enfermedad de la membrana hialina
Referencias
- IMA Mycological Glossary: Hyaline.
- Hyaline definition in Merriam Webster Dictionary
- Adele, Knibbs (2003). «The Leeds Histology Guide» (en inglés). Consultado el 27 de octubre de 2018.
- Resh, Vincent H. and R. T. Cardé, Eds. Encyclopedia of Insects, Elsevier 2003.