Infarto intestinal
La isquemia intestinal, infarto intestinal o necrosis intestinal es la muerte del tejido del intestino debido a una interrupción del suministro sanguíneo.[1]
Suele venir precedida de sintomatología de angina intestinal, por insuficiencia vascular del mesenterio, que degenera en isquemia.
La isquemia causa efectos generales, debido a la pérdida de plasma con hipovolemia y debido al choque séptico por filtración de bacterias.[2]
| Infarto intestinal | ||
|---|---|---|
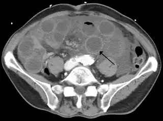
![]() TC de una isquemia de intestino delgado debida a trombosis de la vena mesentérica superior. Se muestra el intestino dilatado y la pared engrosada. | ||
| Especialidad | gastroenterología | |
| Síntomas |
Agudo : dolor intenso repentino.[1] Crónico : dolor abdominal después de comer, pérdida de peso involuntaria , vómitos. | |
Clasificación
En el 2000 la Asociación Americana de Gastroenterología propuso una clasificación clínica en 3 tipos: Isquemia aguda, Isquemia crónica y Colitis isquémica.[2]
- Isquemia mesentérica aguda
Es consecuencia de la oclusión de la arteria mesentérica superior ya sea por trombosis o por embolia. La embolia sola, representa el 50% de todos los episodios de isquemia.
- Isquemia mesentérica crónica
Afecta a personas con arterioesclerosis previa y se presenta en el 5 % de los casos de isquemia intestinal.
- Colitis isquémica
Es la forma más frecuente de isquemia intestinal. Es más común en pacientes mayores con patologías cardiovasculares previas.[2]
Causas[3]
Existen varias causas posibles del infarto intestinal:
- En una hernia, si la irrigación del intestino queda ocluida, esto puede llevar a isquemia intestinal.
- El intestino también puede quedar atrapado en tejido cicatrical de una cirugía previa.
- Una embolia que bloquee los vasos principales que irrigan el intestino, así como la trombosis arterial, pueden impedir el suministro adecuado, generalmente a partir de una enfermedad ateroesclerótica (acumulación de colesterol).[4] Recientemente, se ha sugerido que este bloqueo podría ser en parte causado por un remodelado vascular anómalo.[5]
- Una trombosis de las venas que evacuan la sangre del intestino, que se pueden obstruir con coágulos de sangre. Ésta es una afección más frecuente en personas con insuficiencia hepática, cáncer o trastornos de la coagulación.[4]
- Una hipotensión, ya que la presión arterial muy baja en pacientes con obstrucción previa de las arterias también puede ocasionar isquemia intestinal.[6]
Signos
- Leucocitosis
- Leve acidosis
Exámenes
- Tomografía computarizada del abdomen
- Angiografía
Ninguno de estos exámenes es una prueba definitiva así que algunas veces la única manera segura de diagnosticar la isquemia intestinal es con una cirugía exploratoria.
Tratamiento[3]
El tratamiento generalmente requiere cirugía, conocida como enterectomía, en la que se extirpa la porción necrosada y se unen los cabos seccionados. Según la región implicada, se denomina colostomía o ileostomía. Si es posible, se corrige la obstrucción de las arterias que irrigan el intestino.
Pronóstico
Dependiendo de la causa puede ser alentador con un tratamiento oportuno, aunque la isquemia intestinal es una afección seria que puede ocasionar la muerte si no se la trata adecuadamente.
Véase también
Referencias
- Bobadilla, Joseph L. (1 de agosto de 2013). «Mesenteric Ischemia». Surgical Clinics of North America. Vascular Surgery and Endovascular Therapy (en inglés) 93 (4): 925-940. ISSN 0039-6109. doi:10.1016/j.suc.2013.04.002. Consultado el 21 de enero de 2022.
- Guerra Macías I; Rodríguez Fernández Z. (2014). «Isquemia intestinal». MEDISAN (Artículo de Revisión) (Santiago de Cuba: SciELO) 18 (3).
- Vindas Guerrero, Sylvia (Octubre 2017). «ISQUEMIA MESENTÉRICA AGUDA». Revista Médica Sinergia. Consultado el 07-07-2023.
- del Río Solá, M. L.; González-Fajardo, J. A.; Vaquero Puerta, C. (1 de marzo de 2015). «Isquemia mesentérica aguda. Diagnóstico y tratamiento». Angiología 67 (2): 133-139. ISSN 0003-3170. doi:10.1016/j.angio.2014.05.015. Consultado el 7 de julio de 2023.
- Transient mesenteric ischemia leads to remodeling of rat mesenteric resistance arteries. (2012)
- Isquemia e infarto intestinal pequeño. MedlinePlus
