Intestino grueso
El intestino grueso es la última porción del tubo digestivo, formada por el ciego, el colon, el recto y el canal anal. El intestino delgado se une al intestino grueso en el abdomen inferior derecho a través de la válvula ileocecal. El intestino grueso es un tubo muscular de aproximadamente un metro y medio de largo. La primera parte del intestino grueso se llama ciego. El intestino grueso continúa absorbiendo agua y nutrientes minerales de los alimentos y sirve como área de almacenamiento de las heces.
| Intestino grueso | ||
|---|---|---|
![]() Localización del intestino grueso en el abdomen. | ||
![]() Apéndice. | ||
| Nombre y clasificación | ||
| Sinónimos |
| |
| Latín | [TA]: intestinum crassum | |
| TA | A05.7.01.001 | |
| Gray | pág.1177 | |
| Información anatómica | ||
| Sistema | Digestivo | |
| Arteria | Arteria mesentérica superior, Arteria mesentérica inferior, Arteria cólica izquierda, Arteria cólica media, Arteria cólica derecha inferior, Arterias sigmoideas, Arteria rectal superior | |
| Vena | Vena cólica izquierda, Vena cólica derecha, Vena cólica media, Vena cólica izquierda, Vena mesentérica inferior | |
|
| ||
Desde el intestino delgado, los pocos nutrientes que no han sido digeridos previamente, y parte del agua, pasan al intestino grueso a través de una sortija muscular (válvula ileocecal) que impide que los alimentos vuelvan al intestino delgado. El intestino grueso necesita de 10 a 12 horas para finalizar el resto del proceso. En esta fase, los alimentos ya no se siguen procesando; el intestino grueso simplemente absorbe las vitaminas creadas por las bacterias que habitan al colon y el agua restante, compacta los excrementos y almacena la materia fecal al recto hasta que sea eliminada por el ano.[1]
La diferencia más obvia con el intestino delgado es que es más ancho y que presenta una capa muscular longitudinal que se reduce a tres estructuras en forma de correa, de unos 5 milímetros de anchura, conocidas como taeniae coli, que empiezan en la base del apéndice y se extienden desde el ciego hasta el recto.[2] La capa mucosa de su pared está formada por epitelio columnar simple y, en vez de tener las vellosidades del intestino delgado, el intestino grueso presenta criptas intestinales.[3] A pesar de que los dos intestinos tienen células en forma de cáliz, al intestino grueso son más numerosas. La serosa externa es otra capa de tejido conectivo muy delgada que se continúa focalmente con el peritoneo.
El apéndice, que está unido a la superficie posteromedial del intestino grueso, contiene masas de tejido linfoide con una actividad inmunológica similar a la de las placas de Peyer de la tripa delgada.[4] La apendicitis es el resultado de un bloqueo que atrapa material infectado en la cavidad, pero el apéndice, si es necesario, se puede extirpar sin ningún peligro ni consecuencia para el paciente, puesto que es una estructura vestigial (una remanente de la evolución) y hoy en día su ausencia no altera significativamente la función digestiva.[5]
Estructura


El intestino grueso es un tubo vacío y alargado de aproximadamente un metro y medio de largo, con movilidad peristáltica gracias a su musculatura lisa,[6] y que está formado por el ciego, el colon, el recto y el canal anal. El intestino delgado se une al intestino grueso al abdomen inferior derecho a través de la papila ileal.
El colon consta de cuatro secciones:
- Colon ascendente. Es la primera sección y empieza en el área de unión con el intestino prím. El colon ascendente se extiende hacia arriba por el lado derecho del abdomen y tiene una longitud de unos 12-15 cm.
- Colon transverso. Es la segunda sección y se extiende a través del abdomen del lado derecho hacia el lado izquierdo. Sus dos extremos forman dos recodos que se llaman:
- recodo cólico derecho, siendo la unión del colon ascendente con el colon transverso.
- recodo cólico izquierda, siendo la unión del colon transverso con el colono descendente.
- Colon descendente. Es la tercera sección y continúa hacia abajo por el lado izquierdo.
- Colon sigmoideo. Es la cuarta sección y se denomina así por la forma de S. El colon sigmoideo se une al recto, y este desemboca en el canal anal
El intestino grueso procede embriológicamente de la parte de la nansa intestinal primitiva que tiene un menor número de recodos.[7] Al completar el intestino a la décima semana de gestación un giro positivo de 270° (contrario a las agujas del reloj) alrededor del eje del arteria mesentérica superior, el comienzo del intestino grueso se ubica a la fosa ilíaca derecha de forma definitiva. Teniendo en cuenta que existe un punto fijo, la cloaca primitiva que posteriormente originará el ano,[8] el recorrido que hace el intestino primitivo dibuja perfectamente el futuro marco cólico del adulto. El marco cólico encuadra las nansas del yeyuno y el íleon, que tienen una situación inframesocólica.
Partes del intestino grueso
- Ciego y papila ileal. El ciego es la primera porción del intestino grueso.[9] Es casi siempre intraperitoneal. En su continuación a colon ascendente pasa de intraperitoneal a retro peritoneal. Por eso se forman unos recesos para arrancar el mesoapéndice y la unión ileocecal. La papila ileal está en el lugar por el cual el íleon terminal va a desembocar en el ciego. Esta desembocadura se hace por medio de una apertura longitudinal rodeada de músculo circular (el longitudinal se continúa directamente con el colon ascendente y el ciego). Su función es posiblemente retrasar el progreso del contenido intestinal hacia el intestino grueso.
- Apéndice vermiforme. Es un divertículo u órgano vestigial que aparece al intestino grueso, en el sector del ciego, muy infiltrado por células linfoides. Su longitud es variable, de 2 a 15 centímetros, y como media unos 9 centímetros, así como su posición al abdomen, que es ventromedial, el ciego, retro cecal, subhepático, etc. Que depende en gran manera de la amplitud del mesoapéndice. Es de gran interés diagnóstico por la frecuencia con que se inflama, dando lugar al apendicitis aguda[10] y si derrama su contenido a la cavidad abdominal, se transforma en una peritonitis. Este no tiene funciones digestivas conocidas, aunque es un lugar donde se cumplen respuestas inmunitarias.
- Colon ascendente. Se extiende desde el ciego hasta la flexura cólica derecha (impresión cólico a la cara inferior del hígado, formando el ligamento hepatocólico). Se relaciona con las nanses de intestino delgado, el riñón derecho, y porción descendente del duodeno, además de las estructuras musculares de la pared posterior: psoas, cuadrado lumbar, transverso del abdomen y los nervios femorales,[11] cutáneo femoral lateral,[12] iliohipogástrico, ilioinguinal y genitofemoral. Los vasos gonadales, la arteria ilíaca interna y la hueso ilíaco completan las relaciones.
- Colon transverso, De la flexura cólica derecha a la flexura cólica izquierda. Retenido por el mesocólon transverso. Su borde de inserción pasa a lo largo de la cabeza y cuerpo del páncreas. Su fusión con el omento mayor determina sus relaciones anatómicas: hígado, estómago, porción descendente del duodeno, páncreas, bolsa omental, bazo. Un repliegue de peritoneo, el ligamento frenocólico une el diafragma con la flexura cólica izquierda.
- Colon descendente y sigmoideo. Tiene unas relaciones muy parecidas a las del colon ascendente en cuanto a la pared abdominal. Progresivamente se inclina hacia la línea mediana para continuar con el colon sigmoideo, especie de "S" que hace el colon antes de continuar con el recto a nivel de la vértebra S3. El colon sigmoideo tiene su mesocólon, con vértice hacia la bifurcación de la arteria ilíaca común izquierda. De aquí se bifurca en dos partes para cada una de las curvas del colon sigmoideo. El mesocólon sigmoideo se relaciona por detrás con órganos de la cavidad pelviana, el uréter, el músculo piriforme y la arteria ilíaca interna.[13]
Desarrollo
El intestino grueso empieza a desarrollarse a la fase inicial de la gestación. Su ritmo de crecimiento es bastante lineal. Logra una medida de 5 cm a la duodécima semana de embarazo, 10 cm a la decimocuarta, 15 cm a la decimoséptima y 20 cm a la veintena,[14] y continúa creciendo hasta una medida mediana de 66 cm al momento del nacimiento, momento en el cual su anchura mediana es de 1,7 cm al ciego y 1,0 cm al resto.[15] Entre el nacimiento y la adultez, el intestino grueso crece hasta medir unos 180 cm y las criptas de Lieberkühn (que se encargan de secretar enzimas digestivas)[16] aumentan en medida y, sobre todo, en número.[17]
Patología

El intestino grueso se puede ver afectado por muchos tipos diferentes de enfermedades y trastornos que se clasifican en varios grupos.
Una primera categoría es la de las enfermedades inflamatorias intestinales, que consisten principalmente en la enfermedad de Crohn y la colitis ulcerosa. Estos trastornos son provocados por una sobre-reacción inmunitaria hacia microorganismos naturalmente presentes al intestino (flora intestinal). A pesar de tener características, síntomas y localizaciones diferentes, la enfermedad de Crohn y la colitis ulcerosa se asemejan mucho e incluso hay ha científicos que consideran que en realidad se trata de dos formas de una misma enfermedad (a pesar de que no es, ni mucho menos, la teoría más aceptada).[18] Durante mucho tiempo se pensó que las enfermedades inflamatorias intestinales eran la consecuencia de una disfunción inmunitaria idiopática, pero desde medios de la década del 2000 el consenso ha sido que la causa es uno o más patógenos todavía no identificados que, al infectar individuos susceptibles, provocan una respuesta inmunitaria que se acaba autoperpetuando. Algunos de los candidatos son Mycobacterium avis paratuberculosis (que provoca una enfermedad similar en el ganado vacuno),[19] una variante adherente-invasiva de la escherichia coli,[20] Listeria monocytogenes,[21] Campylobacter jejuni,[22] Yersinia enterocolitica,[23] la salmonela,[24] o parásitos unicelulares.[25]
Los cánceres del intestino grueso se conocen con el nombre genérico de «cáncer colorrectal», a pesar de que hay una serie de diferencias entre el cáncer de colon y el cáncer rectal. De hecho, parece que también hay diferencias significativas entre los cánceres del colon derecho y los del colon izquierdo, cosa que ha llevado algunos investigadores a afirmar que, en realidad, son dos patologías distintas.[26]
El cáncer colorrectal es el tercer cáncer que mata más gente en el mundo, después del cáncer de pulmón y el cáncer de mama.[27] Esto es debido de no tanto a su mortalidad relativamente moderada[28] como su alta incidencia en la población. Este tumor se encuentra entre los tres más comunes en la mayoría de países desarrollados, cosa que hace que mate más gente que otros cánceres más letales pero menos comunes.
Una de las cosas que hacen que el cáncer colorrectal mate tanta gente es que a menudo es diagnosticado cuando la enfermedad ya está avanzada.[29] Como otros muchos cánceres, no suele dar síntomas hasta que ya ha metastatizado y es incurable en la gran mayoría de casos. Las autoridades sanitarias han llevado a cabo campañas de sensibilización sobre la importancia que las poblaciones de alto riesgo de cáncer colorrectal (gente de más de 45 años,[30] gente con antecedentes de este cáncer en la familia, gente con ciertas mutaciones genéticas y gente que sufre de enfermedades inflamatòries intestinales desde hace muchos años[31]) se hagan pruebas de diagnóstico periódicamente para detectar cualquier tumor antes de que se haya esparcido. Parte de este trabajo de sensibilización se ha concentrado al hacer entender a la gente que no se tiene que esperar a tener síntomas, puesto que entonces a menudo es demasiado tarde. Las pruebas más utilizadas para detectar el cáncer colorrectal son la prueba de detección de sangre en heces (más barata y fácil de hacer, pero menos eficaz)[32] y la colonoscopia, que es la estándar de referencia por el diagnóstico de este tumor.[33]
Los tumores carcinoides originados en las células caliciformes colónicos son muy raros.[34]
Otras enfermedades del intestino grueso:
- colitis pseudomembranosa por Clostridium difficile[35]
- diverticulosis
- diverticulitis
- estreñimiento[36]
- megacólon tóxico[37]
- oclusión intestinal[38]
- perforación intestinal
- enfermedad de Hirschsprung
El síndrome de Chilaiditi es causada por una rara variante anatómica posicional del colon, usualmente del transverso, consistente en la presencia de un segmento de tripa gruesa entre el diafragma y el hígado.[39] Su sintomatología más comuna es el dolor abdominal intermitente, a veces acompañado de disnea.
En algunos casos, las enfermedades se pueden curar o aliviar mediante una laparoscopia. En otros, hay que efectuar una colectomia o una hemicolectomia, intervenciones quirúrgicas más complejas que implican la extirpación de la totalidad o la mitad del colon, respectivamente. Los humanos pueden vivir sin colon, pero a menudo necesitan un estoma y tienen complicaciones como por ejemplo diarrea crónica.
Embriología
Procede embriológicamente de la parte del asa intestinal primitiva que sufre menor número de flexuras. Al completar el intestino un giro positivo de 270° (contrario a las agujas del reloj) en torno al eje de la arteria mesentérica superior, el comienzo del intestino grueso se encuentra en la fosa ilíaca derecha. Teniendo en cuenta que existe un punto fijo (la cloaca primitiva que posteriormente originará el ano, el recorrido que hace el intestino primitivo dibuja perfectamente el futuro marco cólico del adulto. El marco cólico encuadra las asas yeyunales e ileales, que tienen situación inframesocólica.
Función
Tras unas dos horas desde la ingesta, el quimo llega al intestino grueso donde ya no es procesado en esta última etapa de la digestión, el intestino grueso se limita a absorber los minerales y el agua.
El colon absorbe las vitaminas creadas por las bacterias del colon, como la tiamina, la riboflavina y la vitamina K. Muchas bacterias, como la Escherichia coli, encontradas en el intestino grueso, pueden sintetizar vitamina K2 (menaquinona), pero no vitamina K1 (filoquinona).
En el intestino grueso se libera metano en forma gaseosa, cuando las bacterias fermentan carbohidratos no digeribles, como la fibra dietética y el almidón resistente. Gran parte del metano gaseoso es expulsado al exterior en forma de flatulencias.
El intestino grueso también compacta las heces, y almacena la materia fecal en el recto hasta que es expulsada a través del ano.
Anatomía
Topográficamente, el intestino grueso comienza en el ciego, en la papila ileal, que es el apéndice primitivo. El ciego es intraperitoneal, así como el apéndice vermiforme. El colon ascendente se adosa a la pared posterior y se hace secundariamente retroperitoneal. En la base del hígado, el colon cambia de dirección en el ángulo hepático y pasa a ser colon transverso, de longitud variable, unido a la pared abdominal posterior por el mesocolon transverso. Vuelve a cambiar de dirección en el ángulo esplénico y pasa a ser colon descendente.
Relaciones de las partes del intestino grueso
- Ciego y papila ileal: el ciego es la primera parte del intestino grueso. Es casi siempre intraperitoneal. En su continuación a colon ascendente pasa de intra a retroperitoneal. Por ello se forman unos repliegues en el arranque del mesoapéndice y unión ileocecal. La papila ileal está en el sitio por el que el íleon terminal va a desembocar en el ciego. Esta desembocadura se realiza por medio de una abertura longitudinal rodeada de músculo circular (el longitudinal se continúa directamente con el colon ascendente y el ciego). Su función es, posiblemente, retrasar el progreso del contenido intestinal hacia el intestino grueso.
- Apéndice vermiforme: es un divertículo u órgano que aparece en el intestino grueso (sector del ciego), sumamente infiltrado por células linfoides. Su longitud es variable (2-15 cm, como promedio 9 cm), así como su posición en el abdomen (ventromedial al ciego, retrocecal, subhepático, etc.), que depende en gran medida de la amplitud del mesoapéndice. Es de gran interés diagnóstico por la frecuencia con la que se inflama, dando lugar a la apendicitis aguda, y si su contenido pasa a la cavidad abdominal se desencadena una peritonitis.
- Colon ascendente: se extiende desde el ciego hasta el ángulo hepático (impresión cólica en la cara inferior del hígado, formándose el ligamento hepatocólico). Se relaciona con las asas del intestino delgado, riñón derecho y porción descendente del duodeno, además de con las estructuras musculares de la pared posterior: psoas, cuadrado lumbar y transverso del abdomen, así como con los nervios femoral, cutáneo femoral lateral, ilio-hipogástrico, ilio-inguinal y génito-femoral. Los vasos gonadales, la arteria ilíaca interna y el hueso ilíaco completan las relaciones.
- Colon transverso: del ángulo hepático al ángulo esplénico, está fijado por el mesocolon transverso. Su borde de inserción pasa a lo largo de la cabeza y cuerpo del páncreas. Su fusión con el epiplón mayor determina sus relaciones anatómicas: hígado, estómago, porción descendente del duodeno, páncreas, transcavidad de los epiplones y bazo. Un repliegue del peritoneo, el ligamento frenocólico, une el diafragma con el ángulo esplénico. Es una porción intraperitoneal.
- Colon descendente y sigmoideo: establece unas relaciones muy parecidas a las del colon ascendente con respecto a la pared abdominal. Progresivamente se inclina hacia la línea media para continuarse con el colon sigmoideo, especie de “S” que forma el colon antes de continuarse con el recto a nivel de S3. El colon sigmoideo tiene su mesocolon, con vértice hacia la bifurcación de la arteria ilíaca común izquierda. De ahí se bifurca en dos partes para cada una de las curvas del colon sigmoideo. El mesocolon sigmoideo se relaciona por detrás con órganos de la cavidad pélvica, el uréter, el músculo piriforme y la arteria ilíaca interna. A diferencia del colon descendente, el colon sigmoideo es intraperitoneal.
Irrigación del intestino grueso
La parte derecha del intestino grueso recibe ramas de la arteria mesentérica superior. A partir de la mitad del colon transverso, la parte izquierda recibe ramas de la arteria mesentérica inferior, 1) arteria cólica izquierda; 2) arterias sigmoideas; 3) la rama terminal es la arteria rectal superior. Las ramas de la mesentérica superior e inferior se anastomosan en el colon transverso. Las venas llevan un curso análogo al de las arterias y van a confluir en la vena mesentérica inferior, que se une a la esplénica y mesentérica superior para formar la vena porta hepática.
Inervación del intestino grueso
Es doble, con un sistema intrínseco y uno extrínseco.[40] El sistema nervioso intrínseco: contiene las porciones correspondientes del Plexo Entérico, que forman parte del sistema nervioso entérico, el cual está constituido por:
- El plexo submucoso (de Meissner) que está ubicado en la capa submucosa (sensitivo)
- El plexo Mientérico (de Auerbach) dirige el peristaltismo intestinal, se encuentra entre la capa muscular longitudinal y la capa muscular circular(motor).
- El plexo Subseroso.
Microbiota

El término microbiota incluye todos los tipos de organismos que están presentes en un hábitat de tipo medioambiental corporal, donde existen bacterias, virus o eucariotas.[41]
La microbiota bacteriana o flora intestinal es el conjunto de bacterias que viven en el intestino, en una relación de simbiosis tanto de tipo comensalismo como de tipo mutualismo. La adquisición de una sana microbiota intestinal es importante para el logro de un buen estado de salud del organismo.[42]
Los tres filos bacterianos predominantes en la microbiota intestinal son:
- Firmicutes (Abundancia relativa = 65%)
- Bacteroidetes (Abundancia relativa = 23%)
- Actinobacteria (Abundancia relativa = 5%)
Complejos de proteína de membrana altamente específicos, permiten a la bacteria del intestino percibir y degradar polisacáridos específicos de la pared celular de los vegetales y aumentar las capacidades digestivas humanas. El hospedador obtiene poca nutrición de los carbohidratos complejos como celulosa, hemicelulosa y pectina que forman las paredes celulares de las plantas.Son las bacterias las que despliegan un arsenal de enzimas, que rompen esas cadenas largas en carbohidratos simples. A continuación los azúcares simples son fermentados para crear ácidos grasos de cadena corta que los enterocitos absorben. Estos ácidos grasos cortos cubren el 10% de las calorías que nuestras células intestinales requieren.[43]
La flora del intestino grueso colabora en la conversión del almidón y sus derivados a d-glucosa, para que pueda ser absorbida. En el proceso se libera metano CH4 (en forma gaseosa), el cual se absorbe en función de las necesidades fisiológicas como cadenas de ácidos grasos.
En la microbiota del colon predominan las bacterias comensales que sintetizan vitamina K y ácido fólico como: Escherichia coli, Enterobacter aerogenes, Streptococcus faecalis, Clostridium perfringens. Las vitaminas (K y B12) son absorbidas por los enterocitos.
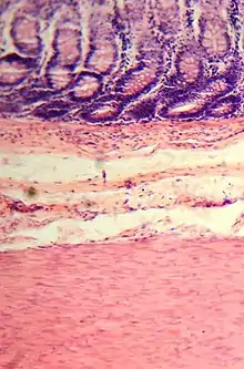
Histología del intestino grueso

Presenta criptas de Lieberkühn, no tiene vellosidades ni pliegues circulares.[44] Presenta, en la túnica serosa, evaginaciones. Una evaginación llena de tejido adiposo constituye un apéndice omental.
En el intestino grueso hay una gran cantidad de exocrinocitos caliciformes. Las poblaciones celulares epiteliales son las mismas del intestino delgado.[45][46]
Neuronas estrelladas eferentes multipolares heterópodas forman parte de los ganglios intraparietales parasimpáticos.[47][48][49]
Exploración del intestino grueso
El intestino grueso se puede explorar mediante:
- Enema opaco.
- Endoscopia: según la profundidad a la que se introduzca el endoscopio, se puede realizar una rectoscopia, rectosigmoidoscopia o sigmoidoscopia y colonoscopia, que puede ser parcial si no se llega a visualizar todo el intestino grueso y total si se alcanza hasta el ciego.
- Tomografía axial computarizada:
Enfermedades del intestino grueso
Detalle de algunas malformaciones del intestino grueso
Las malformaciones de esta porción del intestino, pueden ser:
- Anomalías de los mesenterios, como la hernia retrocólica.
- Anomalías de la pared abdominal, donde la más común es el onfalocele.
- Defectos en la rotación, como el colon izquierdo (diferente posición a la común).
- Atresias, estenosis y duplicaciones.
Se detallan a continuación algunos ejemplos las citadas malformaciones:
- En una estenosis del intestino, la luz de la porción caudal es más estrecha que la de la cefálica.
- Si la luz no se recanaliza, persiste una obstrucción total, entonces se presenta una atresia.
- De las malformaciones intestinales una de las más frecuentes es el onfalocele, producido cuando no regresan las asas a la cavidad abdominal. En la hernia pueden encontrarse además del intestino, el hígado y el bazo, cubiertos por el amnios a esto se le denomina gastrosquisis. Esta malformación se acompaña frecuentemente de defectos cardíacos y alteraciones cromosómicas; en estos casos, generalmente es incompatible con la vida.
Referencias
- Azzouz, LL; Sharma, S. «Physiology, Large Intestine». StatPearls [Internet]. StatPearls Publishing LLC (en inglés). 2018 Oct 27; NBK507857 (rev): págs: 6. PMID 29939634. Consultado el 3 de junio de 2020.
- Hill, MA. «Colon Histology». Gastrointestinal Tract, UNSW Embryology (en inglés). 2017; Ag 29 (rev): págs: 6. Consultado el 2 de junio de 2020.
- Megías M, Molist P, Pombal MA. «Intestino grueso». A: Atlas de histología vegetal y animal: Tejidos animales. Facultad de Biología, Universidad de Vigo. 2019; Jun 20 (rev): págs: 4. Consultado el 2 de junio de 2020.
- Girard-Madoux, MJH; Gomez de Agüero, M; Ganal-Vonarburg, Sc; Mooser, C; et al. «The immunological functions of the Appendix: An example of redundancy?». Semin Immunol (en inglés). 2018 Abr; 36: pp: 31-44. ISSN 1044-5323. PMID 29503124. doi:10.1016/j.smim.2018.02.005. Consultado el 26 de junio de 2020.
- Laurin, M; Everett, ML; Parker, W. «The Cecal Appendix: One More Immune Component With a Function Disturbed By Post‐Industrial Culture». Anat Rec (Hoboken) (en inglés). 2011 Abr; 294 (4): pp: 567-579. ISSN 1932-8494. PMID 21370495. doi:10.1002/ar.21357. Consultado el 10 de junio de 2020.
- Phillips, M; Patel, A; Meredith, P; Will, O; Brassett, C. «Segmental colonic length and mobility». Ann R Coll Surg Engl (en inglés). 2015 Set 1; 97 (6): pp: 439–444. PubMed. PMC 5126238. doi:10.1308/003588415X14181254790527. Consultado el 2 de julio de 2020.
- Wilson, DJ; Bordoni, B. «Embryology, Bowel». StatPearls [Internet]. StatPearls Publishing LLC (en inglés). 2019 Ag 8; NBK545247 (rev): págs: 5. PMID 31424831. Consultado el 31 de mayo de 2020.
- Hill, MA. «The development of the rectum in the human embryo». Embryology, Historic Papel (en inglés). 2020; Jun 24 (rev): págs: 23. Consultado el 26 de junio de 2020.
- Barclay, T. «Cecum». Innerbody.com (en inglés). 2017; Oct 27 (rev): págs: 3. Consultado el 2 de junio de 2020.
- Gran Enciclopedia Catalana (ed.). «apéndice vermiforme». l'Enciclopèdia (en catalán). Barcelona.
- Refai, NA; Tadi, P. «Anatomy, Bony Pelvis and Lower Limb, Thigh Femoral Nerve». StatPearls [Internet]. StatPearls Publishing LLC (en inglés). 2020 Abr 3; NBK556065 (rev): págs: 5. PMID 32310525. Consultado el 29 de mayo de 2020.
- Carrascosa Fernández, AJ. «Nervio cutáneo femoral lateral». A: Anatomía del plexo lumbar, Ramas colaterales y terminales, Dolopedia.com. 2019; Gen 21 (rev): págs: 4. Consultado el 29 de mayo de 2020.
- Harkins, JM; Sajjad, H. «Anatomy, Abdomen and Pelvis, Sigmoid Colono». StatPearls [Internet]. StatPearls Publishing LLC (en inglés). 2019 Oct 25; NBK549824 (rev): págs: 5. PMID 31751014. Consultado el 2 de junio de 2020.
- FitzSimmons J; Chinn A; Shepard TH (1988). «Normal length of the human fetal gastrointestinal tract» (resumen). Pediatr Pathol (en inglés) 8 (6): pág. 633-41.
- Edmund S. Crelin (1973). Functional anatomy of the newborn (en inglés) (Edición ilustrada edición). Yale University Press. pp. pág. 57. ISBN 9780300016338.
- Takizawa, P. «Crypts of Lieberkuhn». Gastrointestinal Histology. Department of Cell Biology, Yale University (en inglés). 2018 (rev): págs: 1. Archivado desde el original el 27 de noviembre de 2021. Consultado el 31 de mayo de 2020.
- Bristol JB; Williamson RC (1984). «Large bowel growth». Scand J Gastroenterol Suppl (en inglés) 93: pág. 25-34.
- Asamoah, N; Naik, A. «Crohn's Disease vs. Ulcerative Colitis: What's the Difference?». Loyola Medicine (en inglés). 2018; Junio 4: págs: 4. Consultado el 8 de junio de 2020.
- Ellen S. Pierce (2010). «Ulcerative colitis and Crohn's disease: is Mycobacterium avium subspecies paratuberculosis the common villain?». Gut Pathogens (en inglés) 2: pág. 21. doi:10.1186/1757-4749-2-21.
- Rolhion N, Darfeuille-Michaud A (2007). «Adherent-invasive Escherichia coli in inflammatory bowel disease». Inflamm Bowel Dis (en inglés) 13 (10): pág. 1.277-83.
- W. Domschke (editor) (1999). Intestinal Mucosa and Its Diseases - Pathophysiology and Clinics (en inglés) (Edición ilustrada edición). Springer. pp. pág. 471. ISBN 9780792387541.
- Kalischuk LD, Buret AG (2010). «A role for Campylobacter jejuni-induced enteritis in inflammatory bowel disease?». Am J Physiol Gastrointest Liver Physiol (en inglés) 298 (1): pág. G1-9. doi:10.1152/ajpgi.00193.2009.
- Saebo A, Vik E, Lange OJ, Matuszkiewicz L (2005). «Inflammatory bowel disease associated with Yersinia enterocolitica O:3 infection». Eur J Intern Med (en inglés) 16 (3): pág. 176-182.
- Ezzie Hutchinson (2009). «IBD: Risk of IBD increases after Salmonella oro Campylobacter gastroenteritis». Nature Reviews Gastroenterology and Hepatology (en inglés) 6: pág. 561. doi:10.1038/nrgastro.2009.152.
- Boorom, KF, Smith, H, Nimri, L, Viscogliosi, Eric et al. (Octubre de 2008). «Oh my aching gut: irritable bowel syndrome, Blastocystis, and asymptomatic infection». Parasit Vectores (en inglés) 1 (1): 40. PMC 2627840. PMID 18937874. doi:10.1186/1756-3305-1-40.
- Feng-ying Li; Mao-de Lai (2009). «Colorectal cancer, one entity or three». J Zhejiang Univ Sci B (en inglés) 10 (3): pp: 219-229. PMC 2650032. PMID 19283877. doi:10.1631/jzus.B0820273.
- Ferlay, J; Shin, HR; Bray, F; Forman, D; et al. «Estimates of Worldwide Burden of Cancer in 2008: GLOBOCAN 2008». Int J Cancer (en inglés). 2010 Des 15; 127 (12): pp: 2893-2917. ISSN 1097-0215. PMID 21351269. doi:10.1002/ijc.25516. Consultado el 2 de junio de 2020.
- Cancer Research UK, ed. (25 de septiembre de 2009). «Survival statistics for the most common cancers» (en inglés). Archivado desde el original el 17 de mayo de 2013. Consultado el 5 de mayo de 2013.
- Nick Mulcahy (29 de noviembre de 2009). Medscape, ed. «Late-Stage Cancer Diagnoses Are Common, Says CDC Report» (en inglés). Consultado el 5 de mayo de 2013.
- J. Sans-Sabrafen (2000). L'Exercici de la medicina entre la mort inevitable i la recerca de la immortalitat: fonaments biològics (en catalán). Institut d'Estudis Catalans. pp. pàg 21. ISBN 9788472835443.
- Cancer Research UK, ed. (26 de marzo de 2012). «High risk groups for bowel cancer» (en inglés). Consultado el 5 de mayo de 2013.
- Generalitat de Catalunya. Departamento de Salud, ed. (21 de enero de 2010). «Programa de detecció precoç de càncer de còlon i recte» (en catalán, español). Consultado el 5 de mayo de 2013.
- John Lazarou (2 de marzo de 2011). Johns Hopkins Medicine, ed. «Colonoscopy Still ‘Gold Standard' For Preventing Colon Cancer, Johns Hopkins Expert Says» (en inglés). Consultado el 5 de mayo de 2013.
- Abdalla, AS; Khan, KA; Shah, A; Asaad, A; et al. «Colonic Goblet Cell Carcinoid: Rarity of a Rarity! A Case Report and Review of Literature». Chirurgia (Bucur) (en inglés). 2020 Gen-Feb; 115 (1): pp: 102-111. ISSN 1221-9118. PMID 32155405. doi:10.21614/chirurgia.115.1.102. Consultado el 26 de junio de 2020.
- Farooq, PD; Urrunaga, NH; Tang, DM; von Rosenvinge, EC. «Pseudomembranous Colitis». Dis Mon (en inglés). 2015 Mayo; 61 (5): pp: 181?206. PubMed. PMC 4402243. doi:10.1016/j.disamonth.2015.01.006. Consultado el 28 de mayo de 2020.
- Sarna, SK. «Colonic Motility Dysfunction». A: Colonic Motility: From Bench Side to Bedside, Morgan & Claypool Life Sciences (en inglés). 2010; NBK53473: págs: 26. PMID 21452445. Consultado el 2 de julio de 2020.
- Magallón-Tapia, M; Ceniceros, RA; Arenas-Osuna, J; Juarez-Leal, CL; Peralta-Empapo, Al. «Frecuencia, evolución clínica y pronóstico del megacolon tóxico». Rev Med Inst Mex Seguro Zoco. 2015; 53 (Supl 1): pp: S88-S93. ISSN 2448-5667. Consultado el 28 de mayo de 2020.
- Lieske, B; Meseeha, M. «Large Bowel Obstruction». StatPearls [Internet]. StatPearls Publishing LLC (en inglés). 2020 Abr 20; NBK441888 (rev): págs: 5. PMID 28722918. Consultado el 2 de julio de 2020.
- Evrengül, H; Yüksel, S; Orpak, S; Özhan, B; Ağladıoğlu, K. «Chilaiditi Syndrome». J Pediatr (en inglés). 2016 Jun; 173: pp: 260. ISSN 1097-6833. PMID 27016047. doi:10.1016/j.jpeds.2016.02.060. Consultado el 2 de julio de 2020.
- Michel Latarjet, Alfredo Ruiz Liard (2004). Anatomía humana 2. Médica Panamericana, capítulo= Intestino grueso. pp. 1501-1509. Consultado el 11 de mayo de 2019.
- Marchesi J R, Adams D H, Fava F, Hermes G D A, Hirschfield G M, Hold G, Nabil Quraishi M, Kinross J, Smidt H, Tuohy K M, Thomas LV, Zoetendal E G, Hart A (2016). «The gut microbiota and host health: a new clinical frontier». Gut (Revisión) (British Society of Gastroenterology) 65: 330-339.
- Eric C. Martens, Elisabeth C. Lowe, Jeffrey I. Gordon (2011). «Recognition and Degradation of Plant Cell Wall Polysaccharides by Two Human Gut Symbionts». PLoS Biol. 9 (12): e1001221. Consultado el 11 de mayo de 2019.
- Inman M (2011). «How Bacteria Turn Fiber into Food». PLoS Biol (Sinopsis) 9 (12): e1001227.
- Megías. «Intestino grueso». Atlas de histología vegetal y animal. Depto. de Biología Funcional y Ciencias de la Salud. Facultad de Biología. Universidad de Vigo. Consultado el 11 de mayo de 2019.
- «Histología básica para patólogos». conganat. Consultado el 11 de mayo de 2019.
- Eduardo García Poblete, Héctor Fernández García, José Ernesto Moro Rodríguez, José Antonio Uranga Ocio, María Paz Nieto Bona, Mª Soledad García Gómez de las Heras, Nora Sánchez Mora (2006). «cap.17 Aparato digestivo». Histología humana práctica: Enfermería. Editorial Universitaria Ramon Areces,. pp. 437-439. Consultado el 11 de mayo de 2019.
- Universidad de los Andes (ed.). «Tejido nervioso». Consultado el 11 de mayo de 2019.
- Alfredo Rubiano Caballero. «Sistema nervioso visceral (autónomo)» (PDF). Universidad Nacional de Colombia. Archivado desde el original el 16 de abril de 2019. Consultado el 11 de mayo de 2019.
- Ulrich Welsch, Johannes Sobotta (2008). «cap.10 Intestino grueso». Histología. Médica Panamericana. pp. 380-385 . Consultado el 11 de mayo de 2019.

