Ki-67 (proteína)
El antígeno KI-67 también conocido como Ki-67 o MKI67 es una proteína que en humanos está codificada por el gen MKI67 (antígeno identificado por el anticuerpo monoclonal Ki-67).
| Ki-67 | ||||||
|---|---|---|---|---|---|---|
| Estructuras disponibles | ||||||
| PDB |
Lista de códigos PDB 2AFF, 1R21
| |||||
| Identificadores | ||||||
| Identificadores externos | ||||||
| Locus | Cr. 10 q26.2 | |||||
| ||||||
| Ortólogos | ||||||
| Especies |
| |||||
| Entrez |
| |||||
| Ensembl |
| |||||
| UniProt |
| |||||
| RefSeq (ARNm) |
| |||||
| RefSeq (proteína) NCBI |
| |||||
| Ubicación (UCSC) |
| |||||
| PubMed (Búsqueda) |
| |||||
Función
El antígeno KI-67 es una proteína nuclear asociada con la proliferación celular. La alteración de los niveles de expresión de Ki-67 no afectó significativamente a la proliferación celular in vivo. Los ratones mutantes para Ki-67 se desarrollaron normalmente y las células que carecían de Ki-67 proliferaron de manera eficiente.[1] Además, está asociado con la transcripción del ARN ribosómico.[2] La inactivación del antígeno KI-67 conduce a la inhibición de la síntesis de ARN ribosómico.[3]
Uso como marcador de proliferación celular

La proteína Ki-67 (también conocida como MKI67) es un marcador celular de proliferación que se puede utilizar en inmunohistoquímica.[4] Está estrictamente asociado con la proliferación celular. Durante la interfase, el antígeno Ki-67 se detecta exclusivamente dentro del núcleo de célula, mientras que en la mitosis la mayor parte de la proteína se reubica en la superficie de los cromosomas.[5] La proteína Ki-67 está presente durante todas las fases activas del ciclo celular (G1, S, G2, y mitosis), pero está ausente en las células en reposo (quiescentes) (G0).[6] El contenido celular de Ki-67 aumenta drásticamente durante progresión de célula a través de la fase S del ciclo celular.[7] En cáncer de mama, Ki67 identifica un subconjunto de pacientes con alta proliferación del grupo con cáncer de mama positivo para receptores de estrógenos de pecho positivo quiénes derivan que obtienen un mayor beneficio de la quimioterapia adyuvante[8][9]
Marcado con anticuerpos
Ki-67 es un marcador utilizado para determinar la fracción de crecimiento de una población celular determinada. La fracción de células tumorales positivas para Ki-67 (el Ki-67 índice de etiquetado) a menudo se correlaciona con el curso clínico del cáncer. Los ejemplos más estudiados en este contexto son los carcinomas de próstata, cerebro y carcinomas de pecho, así como el nefroblastoma y los tumores neuroendocrinos. Para estos tipos de tumores, el valor pronóstico de supervivencia y recidiva tumoral se ha demostrado repetidamente en análisis univariados y multivariados.
MIB-1
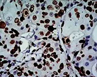
Alta expresión de Ki-67 en un cáncer de mama invasivo, con los núcleos del cáncer teñidos (marrón). Hay positividad de células tumorales en el 70% de las células: Índice de etiquetado Ki-67 = 70%
Recuento de núcleos positivos frente a negativos con marcaje Ki-67, en este caso en un tumor neuroendocrino de intestino delgado. Para contar como positivo, un núcleo debe tener una tinción oscura homogénea (no solo punteada), al menos la mitad dentro del campo de visión, ser lo suficientemente grande y no estar ubicado en el estroma.
Anticuerpo Ki-67 original
La proteína Ki-67 fue definida originalmente por el anticuerpo monoclonal prototipo Ki-67, que se generó mediante la inmunización de ratones con núcleos de la línea celular de linfoma de Hodgkin L428.[10] El nombre se deriva de la ciudad de origen (Kiel, Alemania) y el número del clon original en la placa de 96 pocillos.
Interacciones
Se ha demostrado que la proteína Ki-67 interacciona con CBX3.[11]
Véase también
- PCNA: antígeno nuclear de células proliferantes, expresado durante la síntesis de ADN.
Imágenes adicionales
Tinción de inmunofluorescencia con anticuerpos contra neurofilamento (verde) y Ki-67 (rojo) en un embrión de ratón 12,5 días después de la fertilización. Las células en proliferación se encuentran en la zona ventricular del tubo neural y, por tanto, de color rojo.
Proteína Ki-67 en células MCF-7 humanas.
Proteína Ki-67 (rojo), tubulina (verde) y ADN (azul) en células HeLa. Las células en división muestran una fuerte tinción con Ki-67 en los núcleos celulares, mientras que todas las células contienen grandes cantidades de tubulina, el componente principal de los microtúbulos. Anticuerpos, tinción celular e imagen cortesía de EnCor Biotechnology.
Referencias
- «The cell proliferation antigen Ki-67 organises heterochromatin». Elife 5 (e13722). 6 de marzo de 2016. doi:10.7554/eLife.13722.
- «Ki-67 protein is associated with ribosomal RNA transcription in quiescent and proliferating cells». J. Cell. Physiol. 206 (3): 624-35. Marzo 2006. PMID 16206250. doi:10.1002/jcp.20494.
- «Chromophore-assisted light inactivation of pKi-67 leads to inhibition of ribosomal RNA synthesis». Cell Prolif. 40 (3): 422-30. Junio, 2007. PMC 6496591. PMID 17531085. doi:10.1111/j.1365-2184.2007.00433.x.
- «The Ki-67 protein: from the known and the unknown». Journal of Cellular Physiology 182 (3): 311-22. Marzo, 2000. PMID 10653597. doi:10.1002/(SICI)1097-4652(200003)182:3<311::AID-JCP1>3.0.CO;2-9.
- «Ki-67 acts as a biological surfactant to disperse mitotic chromosomes». Nature 535 (7611): 308-12. Julio, 2016. Bibcode:2016Natur.535..308C. PMC 4947524. PMID 27362226. doi:10.1038/nature18610.
- «Cell cycle dependent expression and stability of the nuclear protein detected by Ki-67 antibody in HL-60 cells». Cell Proliferation 25 (1): 31-40. Enero, 1992. PMID 1540682. doi:10.1111/j.1365-2184.1992.tb01435.x.
- «Initiation and termination of DNA replication during S phase in relation to cyclins D1, E and A, p21WAF1, Cdt1 and the p12 subunit of DNA polymerase δ revealed in individual cells by cytometry». Oncotarget 6 (14): 11735-50. Mayo, 2015. PMC 4494901. PMID 26059433. doi:10.18632/oncotarget.4149.
- «Final 10-year results of the Breast International Group 2-98 phase III trial and the role of Ki67 in predicting benefit of adjuvant docetaxel in patients with oestrogen receptor positive breast cancer». European Journal of Cancer (Oxford, England : 1990) 51 (12): 1481-9. 2015. PMID 26074397. doi:10.1016/j.ejca.2015.03.018.
- «Ki67 in breast cancer: prognostic and predictive potential». The Lancet. Oncology 11 (2): 174-83. 2010. PMID 20152769. doi:10.1016/S1470-2045(09)70262-1.
- «Production of a mouse monoclonal antibody reactive with a human nuclear antigen associated with cell proliferation». Int. J. Cancer 31 (1): 13-20. 1983. PMID 6339421. doi:10.1002/ijc.2910310104.
- «Interaction of the chromatin compaction-inducing domain (LR domain) of Ki-67 antigen with HP1 proteins». Genes to Cells 7 (12): 1231-42. 2002. PMID 12485163. doi:10.1046/j.1365-2443.2002.00596.x.
Enlaces externos
- MeSH: Ki-67+Antigen (en inglés)
- http://www.pathologyoutlines.com/topic/stainski67.html
- Resumen de toda la información estructural disponible en el PDB para UniProt: P46013 (proteína marcadora de proliferación Ki-67) en PDBe-KB.