Monocito
Los monocitos son un tipo de glóbulos blancos (leucocitos) agranulocitos. Es el leucocito de mayor tamaño, llegando a medir 18 μm, y representa del 2 al 8 % de los leucocitos en la sangre. El sistema fagocítico mononuclear (SFM) está constituido por los monocitos circulantes y los macrófagos tisulares. Los promonocitos de la médula ósea, al madurar salen de ella, diferenciándose en monocitos circulantes, que al cabo de unas 8 horas emigran a distintos tejidos, donde se convierten en macrófagos.
| Monocitos | ||
|---|---|---|
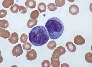
![]() Imagen tomada con un microscopio óptico en la que se observan 2 monocitos rodeados de glóbulos rojos y alguna plaqueta en un frotis sanguíneo. Tinción de Giemsa. | ||
![]() Representación 3D de un monocito. | ||
| Nombre y clasificación | ||
| Latín | Monocytus | |
| TH | H2.00.04.1.02010 | |
| TH | H2.00.04.1.02010 | |
| Información anatómica | ||
| Sistema | Fagocítico mononuclear | |
|
| ||
Características
Como características destacables, presenta un núcleo en general arriñonado, lobulado o cerebriforme, que se tiñe irregularmente en forma de "rejilla" o reticular de color violeta-azulado. Usualmente el núcleo guarda una proporción de 2:1 en área con respecto al citoplasma que lo rodea, y muy frecuentemente presenta una depresión profunda. El citoplasma es abundante y de color gris azulado pudiendo estar acompañado de vacuolas blanquecinas.
Origen
Los monocitos se generan en la médula ósea y después viajan por la sangre, para luego emigrar a diferentes tejidos como hígado, bazo, pulmones, ganglios linfáticos, huesos, cavidades serosas, etc. Después de alrededor de 24 horas de permanecer en el torrente sanguíneo, los monocitos lo abandonan y atraviesan el endotelio de los capilares o las vénulas poscapilares hacia el tejido conectivo, donde se diferencian rápidamente a macrófagos.
Funciones
Su principal función es la de fagocitar, es decir, comerse a diferentes microorganismos o restos celulares. Para fagocitar se tienen en cuenta diversos factores como la presencia de antígenos. No obstante, el procedimiento es sencillo, y consiste en rodear con los pseudópodos la molécula, acción que es inhibida en los casos en que el macrófago reconoce a la célula como integrante de un tejido propio del organismo, por medio de las proteínas del CMH (complejo mayor de histocompatibilidad) presentes sobre las membranas celulares.
Galería
Imagen tomada con un microscopio óptico en la que se observa un monocito típico, su núcleo irregular y lobulado, con cromatina reticulada y citoplasma vacuolado. Tinción de May Grünwald-Giemsa.
Imagen tomada con un microscopio óptico en la que se observa un monocito rodeado de glóbulos rojos y alguna plaqueta en un frotis sanguíneo. Tinción de Wright.
Imagen de microscopía electrónica de barrido correspondiente a sangre circulante normal.
.jpg.webp)
