Neumonía intersticial descamativa
La neumonía intersticial descamativa es una enfermedad pulmonar crónica poco frecuente que se clasifica dentro del grupo de procesos llamados enfermedades pulmonares intersticiales de causa no conocida. Generalmente se asocia al consumo de tabaco y menos frecuentemente a enfermedades del colágeno. Aunque se llama neumonía, no guarda relación con las neumonías de origen infeccioso por bacterias o virus.[1][2][3][4]
| Neumonía intersticial descamativa | ||
|---|---|---|
![]() | ||
| Especialidad | Neumología | |
| Sinónimos | ||
| Neumonitis intersticial descamativa. | ||
Etiología
La causa no es conocida, pero tiene alguna relación con el tabaco, la mayor parte de los casos se producen en fumadores de más de 20 cigarrillos al día.
Clínica
Las enfermedades pulmonares intersticiales son un grupo variado de trastornos inflamatorios difusos de las vías aéreas inferiores causada por inflamación y fibrosis (cicatrización) de las paredes de los alveolos y engrosamiento del intersticio que los rodea. Tienen la tendencia de progresar hacia la pérdida progresiva de las unidades alveolocapilares funcionales causando dificultad respiratoria que evoluciona a insuficiencia respiratoria.[5] La neumonía intersticial descamativa es una forma de enfermedad pulmonar intersticial de causa no conocida. Las manifestaciones iniciales más frecuentes son tos y sensación de falta de aire (disnea). En la radiología de tórax y la tomografia axial computarizada pueden aparecer imágenes típicas que se llaman en vidrio deslustrado.
Diagnóstico

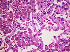
El diagnóstico se sospecha por los síntomas, los antecedentes de tabaquismo intenso y las pruebas de imagen. Sin embargo para llegar al diagnóstico de certeza es preciso realizar una biopsia pulmonar. Las principales alteraciones anatomo-patológicas se observan en las estructuras alveolo-intersticiales, es característica la presencia de abundantes macrófagos en los alveolos pulmonares y la existenicia de un infiltrado inflamatorio septal constituido por linfocitos, eosinófilos e histiocitos.[6]
Tratamiento
Al no tratarse de un proceso infeccioso como la neumonía común, la utilización de antibióticos no es útil. El tratamiento con corticoides produce una buena respuesta en las pacientes, aunque es posible que no evite la progresión del proceso. Es muy importante el abandono del hábito tabáquico. En algunos casos la evolución no es buena y es preciso un trasplante de pulmón.
Pronóstico
La mayor parte de los pacientes evolucionan bien si abandonan el tabaquismo y realizan correctamente el tratamiento. La supervivencia a los 10 años del diagnóstico se estima en el 70%.
Referencias
- Neumonia intersticial descamativa y bronquiolitis. Archivos de Bronconeumología. Vol. 44. Núm. 9. Páginas 499-503 (septiembre 2008). Consultado el 13 de septiembre de 2019
- Heyneman LE, Ward S, Lynch DA, Remy-Jardin M, Johkoh T, Müller NL (December 1999). «Respiratory bronchiolitis, respiratory bronchiolitis-associated interstitial lung disease, and desquamative interstitial pneumonia: different entities or part of the spectrum of the same disease process?». AJR Am J Roentgenol 173 (6): 1617-22. PMID 10584810. doi:10.2214/ajr.173.6.10584810.
- Paul K, Klettke U, Moldenhauer J, etal (December 1999). «Increasing dose of methylprednisolone pulse therapy treats desquamative interstitial pneumonia in a child». Eur. Respir. J. 14 (6): 1429-32. PMID 10624777. doi:10.1183/09031936.99.14614299.
- Enfermedad pulmonar intersticial difusa: revisión. Archivado el 20 de octubre de 2016 en Wayback Machine. Autores: Rodrigo Tapia, Cristian Andrade, Hugo González. Revista chilena de Medicina Intensiva. 2006; Vol 21(2): 87-9. Consultado el 13 de septiembre de 2019.
- MedlinePlus - Enfermedad pulmonar intersticial difusa.
- Nueva clasificación de las neumonías intersticiales idiopáticas. Medicina Respiratoria (2014). Autores: Antón Xaubet, María Molina-Molina, Julio Ancochea. Consultado el 13 de septiembre de 2019.
_2.jpg.webp)