Osteoblasto
Los osteoblastos (del griego στέον, osteon = hueso y βλαστ, blastos = germen) son células del hueso encargadas de sintetizar la matriz ósea, por lo que están involucradas en el desarrollo y el crecimiento de los huesos. El desarrollo de los osteoblastos se ve influido por distintos factores que estimulan su formación, como la hormona paratiroidea y la vitamina D. Se encargan del mantenimiento, el crecimiento y la reparación del hueso.
| Osteoblasto | ||
|---|---|---|
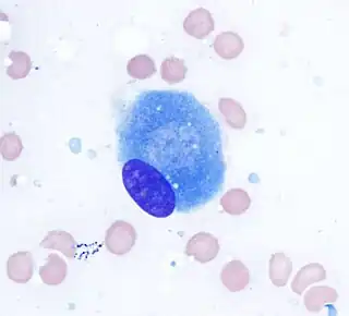
![]() Imagen tomada con un microscopio óptico de un osteoblasto teñido con Giemsa. | ||
| Nombre y clasificación | ||
| Latín | Osteoblastus | |
| TH | H2.00.03.7.00002 | |
| TH | H2.00.03.7.00002 | |
| Información anatómica | ||
| Sistema | Óseo | |
|
| ||

Descripción histológica

Los osteoblastos se disponen en el frente formador de hueso, en una capa epitelioide de células cuboideas o cilíndricas bajas. El núcleo, con nucléolo único, está muy desarrollado, situado con frecuencia en el extremo de la célula más distante de la superficie ósea. Además contienen un aparato de Golgi bien desarrollado, con numerosas mitocondrias, con abundante retículo endoplasmático rugoso que confiere un color intensamente basófilo al citoplasma.
Osteogénesis
Los osteoblastos proceden de células osteoprogenitoras provenientes del periostio y en la médula ósea que son inducidos a la diferenciación a través de distintos factores de crecimiento, particularmente como proteínas morfogenéticas del hueso. Las células osteoprogenitoras expresan el factor Cbfa1/Runx2. Una vez que los osteoprogenitores inician la diferenciación, comienzan a expresar una gama de otros componentes del hueso incluyendo colágeno, fosfatasa alcalina, osteocalcina, osteonectina entre otros.
Otros factores del crecimiento incluyendo el factor del crecimiento del fibroblasto, el factor plaqueta-derivado del crecimiento, factor de crecimiento transformante β; estos pueden promover la división de los osteoprogenitores y potenciar el incremento de la osteogénesis.
Funciones
Los osteoblastos son células óseas especializadas en producir la matriz particular que tiene el hueso, formado de cristales de hidroxiapatita, que están compuestos principalmente de fosfato y calcio.
Los osteoblastos aun mantienen la capacidad para replicarse, hasta un estado de mantenimiento de la misma denominadas osteocitos.
El osteoblasto no es precursor del osteoclasto; estos dependen del sistema fagocitomononuclear. Su función es hidrolizar la matriz, en el crecimiento óseo normal en los niños, en una quebradura y también para regular la concentración de calcio y fosfatos en sangre; por lo tanto, estas células tienen receptores para la parathormona y para la calcitonina, hormonas secretadas por paratiroides y tiroides respectivamente, antagonistas entre sí en el balance hidromineral. Los osteoclastos son células multinucleadas, tienen un borde en cepillo donde produce la fosfatasa ácida para degradar la matriz.
