Perfusión miocárdica
La perfusión miocárdica es una práctica médica que se basa en el uso de radiofármacos (ej: 99mTc-MIBI), los cuales se administran mediante inyección endovenosa (vaso sanguíneo) y se concentran en el tejido miocárdico (2% de la dosis administrada) fijándose en las mitocondrias, pues solo atraviesa las membranas de las células vivas y permiten evaluar indirectamente la irrigación (perfusión) global y regional del ventrículo izquierdo y su viabilidad.
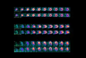
El estudio se realiza mediante dos fases o etapas, las cuales son:
- Fase de estrés.
- Fase de reposo.
Estas posteriormente se comparan para detectar cambios inducibles por el estrés en el ventrículo izquierdo y su contraparte en el reposo. El estudio se basa en que al someter al corazón a un estrés (el cual puede ser mediante ejercicio físico o en su defecto con el uso de medicaciones o estrés farmacológico), las arterias coronarias deberían dilatarse unas cuatro veces por encima de su valor en reposo, como respuesta fisiológica (adecuada) a la mayor demanda de oxígeno miocárdico en el ventrículo izquierdo. Sin embargo, en pacientes con enfermedad coronaria (ej: obstrucción de una arteria) esta reserva de vasodilatación se pierde y se observa un defecto en la fase de estrés.
Su uso principal se encuentra en el proceso de diagnóstico y estratificación de la enfermedad coronaria (angina de pecho, infarto).
Mediante este protocolo se puede detectar la presencia y el grado de los defectos de perfusión regional y se demuestra enfermedad coronaria.
Patrones gammagráficos en la perfusión miocárdica
- Normal: Distribución homogénea y con adecuada intensidad a lo largo del ventrículo izquierdo, sin defectos o áreas hipocaptantes.

- Defecto reversible: Alteración perfusoria dada por menor captación (concentración) en una región del ventrículo izquierdo que aparece durante la fase de estrés pero que mejora o incluso se normaliza durante la fase de reposo, a esto se le denomina isquemia.

- Defecto fijo: Alteración perfusoria dada por menor captación (concentración) en una región del ventrículo izquierdo que aparece durante la fase de estrés y que no mejora durante la fase de reposo, a esto se le denomina necrosis (infarto).

La variación intraobservador del estudio reportada es baja, del orden del 10% y la variación interobservador oscila en el rango del 10 al 20% según las publicaciones.
La prueba también suministra otros importantes datos acerca del funcionamiento del ventrículo izquierdo como su movimiento, el porcentaje de sangre que expulsa en los Ritmo ventricular latidos, los volúmenes ventriculares, etc.

Predictores adversos de eventos cardiacos futuros
- Tamaño grande del defecto (20% del ventrículo izquierdo)
- Defectos en más de un territorio arterial coronario
- Defectos irreversibles importantes
- Dilatación ventricular izquierda transitoria
- Puntaje de estrés sumado (SSS): > 13
- Fracción de eyección del ventriculo izquierdo <40 % + Volumen de fin de sístole > 71 ml
Bibliografía
- Mettler. A Fred Jr. Essentials of nuclear medicine imaging. 2006
- Thrall. H James, Nuclear medicine The requisites. 2001
- Leslie-Greenberg, Nuclear Medicine.2003
- Robert Henkin, Nuclear medicine. 2006
- Ell, Gambhir, Nuclear medicine in clinical diagnosis and treatment. 2004
- Ami E. Iskandrian, Nuclear cardiac imaging. Principles and applications. 2008