Plasmodium vivax
Plasmodium vivax es uno de los parásitos causantes de la más frecuentes y extensamente distribuida forma de malaria benigna. Es una de las cuatro especies del parásito que causa la infección en humanos. No es tan virulenta o mortal como lo es Plasmodium falciparum, la más letal de las cuatro. P. vivax se transmite por la hembra del mosquito Anopheles.
| Plasmodium vivax | ||
|---|---|---|
![]() | ||
| Taxonomía | ||
| Dominio: | Eukaryota | |
| Reino: | Diaphoretickes | |
| Filo: | Apicomplexa | |
| Clase: | Aconoidasida | |
| Orden: | Haemospororida | |
| Familia: | Plasmodiidae | |
| Género: | Plasmodium | |
| Especie: |
P. vivax (Grassi & Feletti, 1890) | |
| Sinonimia | ||
| ||
Puede causar infecciones debilitantes y recurrentes. Es selectivo, ya que sólo infecta eritrocitos inmaduros que contienen el antígeno del grupo sanguíneo Duffy en su superficie celular. Produce el paludismo terciario benigno.
Sin embargo, se sabe que P. vivax no es un parásito especie específico de humanos, sino que es capaz de infectar chimpancés, bonobos y gorilas. Siendo estas últimas variantes del parásito 10 veces más diversas que las que infectan humanos. Por lo que son un reservorio importante que se debe considerar si se quiere erradicar esta enfermedad.[1]
Morfología
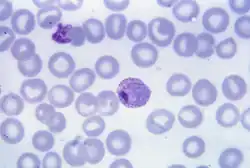
Microscópicamente, el glóbulo rojo parasitado es dos veces mayor que una célula normal, ligeramente rosados con punteados citoplasmáticos (gránulos de Schüfner). El parásito internalizado tiene una forma irregular, descrito como ameboide. Los esquizontes del P. vivax tienen hasta 20 merozoitos dentro de ellos. Es raro ver células con más de un parásito internalizados. Los merozoitos solo se adhieren a glóbulos rojos inmaduros (reticulocitos) y por ello, es raro ver más del 3 % de los eritrocitos circulantes parasitados.
P. vivax y P. ovale que hayan estado en EDTA por más de media hora antes que el frotis sea examinado, se verán muy similares en apariencia al P. malariae, por lo que es importante advertir al laboratorio de inmediato cuando una muestra de sangre es extraída para procesarla tan pronto como llegue a su destino. Los frotis sanguíneos deben ser preparados preferentemente antes de media hora desde que se tomó la muestra, y a lo máximo, menos de una hora antes de la hora de la toma.
Formas asexuales
- Trofozoitos inmaduros (forma de anillo), aproximadamente 1/3 del diámetro del eritrocito.
"ameboides"- se pueden observar varios procesos pseudópodos. La presencia de granos finos de pigmento marrón (pigmento malárico) o hematina, probablemente derivado de hemoglobina del glóbulo rojo infectado. Esquizonte, tan largos como un glóbulo rojo, por lo que el eritrocito se vuelve más distendido y alargado que de costumbre.
Formas sexuales
- Gameto: reconocidos para la fecundación de la hembra.[2]
Síntomas
Puede haber fiebre remitente o intermitente. Procedido de escalofríos, acompañada a menudo de dolor de cabeza frontal intensa y dolores de tronco y miembros; esta es seguida de diaforesis y el paciente se duerme y cuando despierta suele sentirse bien. Periodicidad cada 48 horas.
Plasmodium vivax es un hematozoario el cual no tiene órganos de locomoción, no flagelado y no ciliado, tiene una forma irregular de trofozoíto y merozoito. El esporozoito se introduce en el vector (mosquito) dando los siguientes síntomas, ya que se dirige principalmente al hígado:
- Dolor de cabeza.
- Dolor de garganta.
- Sudoración constante.
- Dolor de huesos.
- Caída del estado general.
El vector o transmisor puede ser:
- Anopheles pseudopunctipennis
- A. albimanus
- A. quadrimaculatus
- A. aztecus spp
Diagnóstico
Frotis: permite ver las características morfologías e identificar la especie de Plasmodium.
Gota gruesa: detecta parasitemias bajas, es más seguro que en el frotis. Al no tener en el campo microscópico hematíes resulta más fácil el diagnóstico del parásito.
PCR anidada: usando cebadores del específicos de una especie de parásito y sangre infectada o donde se sospeche presencia del parásito, permite establecer incluso la especie de Plasmodium que se encuentra en el organismo; sin importar el organismo.
Amplificación selectiva de genoma completo (SWGA): puede usarse en caso de detectarse por PCR una especie de Plasmodium para amplificar el genoma completo del parásito.[1]
Prevención
Anopheles es un mosquito sensible a las medidas de protección anti mosquito.
Quimioprofilaxis: medicamentos profilácticos aunque no son totalmente efectivos y dependen de la región.
Evitar contacto con otros huéspedes del Plasmodium como simios, gorilas y bonobos.
Historia evolutiva
Sin embargo, observaron que los índices de diversidad (pi) eran mucho mayores en la cepa de chimpancés que en la de humanos. También, la naturaleza del polimorfismo era muy diferente, ya que, al comparar el índice de neutralidad, observaron que en la cepa de humano indicaba un patrón de divergencia de la cepa del chimpancé. Encontraron que en la cepa de humano había una selección balanceadora, mientras que en la cepa de simios había mayor cantidad de mutaciones no sinónimas con función adaptativa.
A su vez, describieron la presencia de varios pseudogenes en la cepa de humanos que se encontraban como genes activos en la cepa que infecta chimpancés, es el caso de las proteínas RBP2e y RBP3. Pero demostraron que las variantes de P. vivax no exhiben especificidad por algún hospedador empleando un ensayo de unión de las proteínas recombinantes de reticulocitos o normocitos de chimpancé, gorila y humano, en conjunto con citometría de flujo, demostraron que RBP2 e y RBP3 tienen preferencia por reticulocitos, pero no tienen especificidad por ninguna de las tres especies.
En conjunto, este trabajo evidenció que a pesar de poder eliminar las especies de P. vivax que infectan humanos actualmente, todavía quedaría un reservorio importante en los chimpancés infectados con P. vivax que podría presentar un paso al humano en el futuro.
Referencias
- Loy, DE; Plenderleith, SA, et al. (2018). «Evolutionary history of human Plasmodium vivax revealed by genome-wide analyses of related ape parasites». Proc Natl Acad Sci U S A 115 (36). doi:10.1073/pnas.1810053115.
- gametos
Loy, DE; Plenderleith, SA, et al. (2018). «Evolutionary history of human Plasmodium vivax revealed by genome-wide analyses of related ape parasites». Proc Natl Acad Sci U S A 115 (36). doi:10.1073/pnas.1810053115.
Enlaces externos
Wikimedia Commons alberga una categoría multimedia sobre Plasmodium vivax.
Wikispecies tiene un artículo sobre Plasmodium vivax.
