Sarcoma de Ewing
El sarcoma de Ewing es un tumor maligno de células redondas. Es una enfermedad rara en la cual las células neoplásicas se ubican en el hueso o en tejidos blandos. Las áreas afectadas con más frecuencia son la pelvis, el fémur, el húmero, y las costillas.
| Sarcoma de Ewing | ||
|---|---|---|
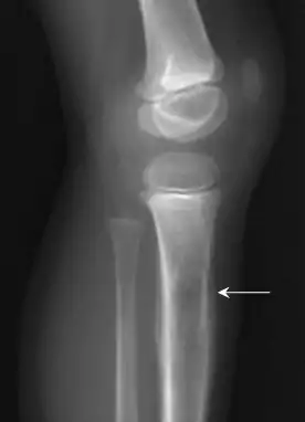
![]() Rayos X de un niño con sarcoma de Ewing en la tibia | ||
| Especialidad | Oncología, oncología pediátrica | |
| Síntomas | Inflamación, rigidez y/o dolor en la localización del tumor[1][2] | |
| Complicaciones | Derrame pleural, paraplejía | |
| Causas | Desconocidas[2] | |
| Diagnóstico | Radiografía, biopsia[2] | |
| Tratamiento | quimioterapia, radioterapia, cirugía[2] | |
| Pronóstico | Supervivencia a los 5 años >70%[2] | |
| Frecuencia | Incidencia de 2,93 casos por cada millón de habitantes[2] | |
| Sinónimos | ||
| Tumor de Ewing | ||
Debido a que un locus genético en común es responsable de un alto porcentaje de sarcomas de Ewing y tumores neuroectodérmicos primitivos, los dos son algunas veces agrupados en la categoría conocida como «familia de tumores de Ewing».[3] Las enfermedades, sin embargo, tienen diferente origen: los tumores neuroectodérmicos primitivos generalmente no están asociados con los tejidos óseos, mientras los sarcomas de Ewing afectan el hueso con mucha más frecuencia.
Los sarcomas de Ewing se presentan con más frecuencia en hombres adolescentes, con una relación hombre/mujer de 1.6:1.[4]
A pesar de ser frecuentemente clasificados como tumores óseos, el sarcoma de Ewing posee características de origen tanto mesodérmico como ectodérmico, haciendo difícil clasificarlo.[5]
Epónimo
El término proviene de James Ewing (1866-1943) quien fue el primero que describió el tumor, estableciendo que la enfermedad era diferente del linfoma y de los otros tipos de cáncer conocidos en su tiempo.[6]
Epidemiología
El sarcoma de Ewing es el segundo cáncer óseo de carácter primario más común en adolescentes y adultos jóvenes con una media de edad de 15 años. Respecto al total de sarcomas de tejidos blandos, corresponde a menos de un 5%. En el periodo comprendido entre los años 1973 y 2004, la incidencia fue de 2,93 por millón de habitantes en los EE. UU.. La incidencia anual internacional en promedio es menor de 2 casos por cada 1 000 000 de niños y año.[7] El pico de incidencia se halla entre los 10 y los 15 años de edad: el 30% de los casos se da en niños menores de 10 años y otro 30% en adultos jóvenes mayores de 20. Se desconoce la incidencia de sarcoma de Ewing en ancianos.[2]
Existe una predisposición mayor en personas de sexo masculino, con una proporción de 3:1. Además, los sujetos caucásicos son significativamente más propensos a padecerla que los de origen asiático, latino, afroamericano o africano.[2]
Causas
El intercambio genético entre cromosomas puede causar que las células se tornen cancerosas, como las células metastásicas del sarcoma de Ewing. El sarcoma de Ewing es el resultado de la traslocación entre los cromosomas 11 y 22, el cual fusiona el gen EWS del cromosoma 22 con el gen FLI1 del cromosoma 11.[8]
La fusión EWS/FLI funciona como el maestro regulador.[9]
Signos y síntomas
Este puede manifestarse en cualquier parte del cuerpo, pero más frecuentemente se da en la pelvis y en los huesos largos tubulares proximales, especialmente sobre los discos de crecimiento. La diáfisis del fémur es uno de los sitios más comunes, seguidos por la tibia y el húmero.
Los pacientes frecuentemente experimentan dolor óseo intenso, rigidez o inflamación en la localización del tumor. Más del 50% de los pacientes sufren dolor intermitente que empeora por la noche. El sarcoma de Ewing puede darse en una gran variedad de localizaciones y formas, aunque se halla con más frecuencia en la diáfisis de los huesos largos. La presencia de una lesión ósea tumoral o metastásica puede manifestarse a través de fracturas patológicas. Si el tumor se halla en la pelvis, este puede presentarse con dolor lumbar. La existencia de síntomas sistémicos, como fiebre y pérdida de apetito a menudo está relacionada con la presencia de metástasis. Alrededor de un 20% de los pacientes presentan metástasis en el momento del diagnóstico, y, de entre ellos, un 20% sufren de manifestaciones en la pleura o en los pulmones.[2][12]
Cuando existe metástasis en esas zonas, el paciente puede presentar ruidos respiratorios asimétricos, signos pleurales o estertor durante la auscultación. En casos en los que se da una metástasis en médula ósea, a veces pueden observarse petequias u otros signos de púrpura debido al déficit plaquetario.[13]
Diagnóstico

En radiografías convencionales, la manifestación ósea más común es una lesión litica extendida con reacción en el periostio. La descripción clásica del tipo de reacción periostica en forma laminada o en «piel de cebolla» es a menudo asociado con esta lesión. Las radiografías simples proporcionan valiosa información en la evaluación inicial o exploración. Las amplias zonas de transición es la característica más útil de las proyecciones simples para diferenciar los tumores benignos de los agresivos o lesiones líticas malignas.[13]
La resonancia magnética (IRM) podría ser usada rutinariamente en la investigación de los tumores malignos. La IRM mostrará la extensión total del tejido óseo y los tejidos blandos y establece la relación del tumor a las estructuras anatómicas cercanas (e.j. vasos sanguíneos).[14][15] Algunos investigadores sostienen que la IRM mejorada con contraste puede ayudar a determinar la cantidad de necrosis dentro del tumor, esto ayuda a determinar la respuesta al tratamiento antes de la cirugía.[15]
La TAC puede también ser usada para definir la extensión extraosea del tumor, especialmente en el cráneo, espina, costillas y pelvis. Tanto el TAC como la IRM pueden ser usados para el seguimiento a la respuesta del tumor a la radiación y/o quimioterapia.[14]
El tumor es positivo para CD99 y negativo para CD45.[16]
Diagnóstico diferencial
Otras enfermedades pueden tener una presentación clínica similar al sarcoma de Ewing. Entre ellas se incluyen la osteomielitis, neuroblastoma, rabdomiosarcoma, linfoma, osteosarcoma (especialmente el sarcoma telangiectásico) y granuloma eosinofílico. Algunas neoplasias de tejidos blandos como el histiocitoma fibroso maligno que erosiona el hueso adyacente puede también tener una apariencia similar.[2]
Tratamiento
El protocolo clínico habitual para pacientes con o sin metástasis incluye tratamiento con quimioterapia y terapia local a través de cirugía y radioterapia.[17]
El tratamiento de primera línea es la quimioterapia. Habitualmente esta se aplica hasta que el tamaño del tumor se haya reducido y su resección por cirugía sea viable. A menudo esta se aplica a través de un régimen de vincristina, actinomicina D, ciclofosfamida, y doxorrubicina (protocolo VACA), aunque algunos autores surgieren que esta última puede omitirse (protocolo VAC) al no haber diferencias significativas en los resultados de algunos ensayos clínicos. Algunos estudios sugieren que la adición de ifosfamida y etopósido (protocolo VAC-IE) al tratamiento quimioterápico proporciona mejor supervivencia en pacientes con Sarcoma de Ewing no metastásico,[18][19] y su uso también se asocia a menor fallo local.[20][18] El protocolo usado por defecto en los EE. UU. es el VAC-IE.[2][21]
El tratamiento quirúrgico se emplea con el objetivo de eliminar el tumor en su localización frecuentemente después de que este haya disminuido en tamaño tras la aplicación de quimioterapia. En ocasiones, esto implica sustituir una zona del hueso resecado con material de osteosíntesis. En ocasiones en función de la extensión del tumor y de la viabilidad de la resección local, se procede a la amputación del miembro afectado, que puede ser parcial o completa. Cuando el tumor se localiza en la pelvis la resección quirúgica es menos frecuente, sustituyéndose por radioterapia local. Cuando este se halla en el hueso maxilar inferior, a menudo se realiza una reconstrucción post-quirúrgica haciendo uso de tejido óseo de otras partes del cuerpo. En los casos en los que el tumor no puede ser eliminado completamente a través de cirugía, el resto del mismo se aborda a través de radioterapia.[17]
La radioterapia es eficaz en el tratamiento del sarcoma de Ewing, y se utiliza como abordaje tanto pre como post-quirúgico, en combinación o no con el tratamiento por radioterapia. En la fase pre-quirúrgica, la radiotearpia se emplea con el objetivo de reducir el tamaño del tumor para garantizar una resección quirúrgica viable. Como tratamiento post-quirúrgico, el objetivo es el de eliminar posibles células tumorales que no pudieron ser resecadas en quirófano. Los tratamientos que combinan cirugía con radioterapia están asociados a una mayor eficacia respecto a aquellos que utilizan exclusivamente radioterapia.[22][2][17]
El tratamiento para el sarcoma de Ewing puede ir acompañado de sesiones de rehabilitación con el objetivo de proporcionar autonomía y evitar los efectos negativos del cáncer y de su tratamiento. A menudo este implica la intervención de fisioterapeutas y técnicos ortopédicos, especialmente en las ocasiones en las que la amputación de un miembro es necesaria y se requiere readaptación a la marcha con una prótesis.[17] En ocasiones, la fisioterapia también es necesaria para recuperar la autonomía tras la colocación del material de osteosíntesis.[23]
Véase también
Referencias
- Ewing Sarcoma Treatment (PDQ®)–Patient Version - National Cancer Institute (en inglés). 14 de diciembre de 2007. Consultado el 29 de mayo de 2021.
- Durer, Seren; Shaikh, Hira (2021). Ewing Sarcoma. StatPearls Publishing. PMID 32644609. Consultado el 29 de mayo de 2021.
- Iwamoto Y (febrero de 2007). «Diagnosis and treatment of Ewing sarcoma». Jpn. J. Clin. Oncol. 37 (2): 79-89. PMID 17272319. doi:10.1093/jjco/hyl142.
- Burt M, Karpeh M, Ukoha O, et al. (enero de 1993). «Medical tumors of the chest wall. Solitary plasmacytoma and Ewing sarcoma». J. Thorac. Cardiovasc. Surg. 105 (1): 89-96. PMID 8419714. Archivado desde el original el 14 de abril de 2013.
- Longtin R (noviembre de 2003). «Ewing sarcoma: a miracle drug waiting to happen?». J. Natl. Cancer Inst. 95 (21): 1574-6. PMID 14600088.
- J. Ewing. Diffuse endothelioma of bone. Proceedings of the New York Pathological Society, 1921, 17-24.
- http://www.emedicine.com/radio/topic275.htm eMedicine article on Ewing sarcoma accessed April 24, 2006
- Randall, Calvert, Spraker & Lessnick (junio de 2011). «Los Tumores de la Familia del Sarcoma de Ewing (TFSE)». ESUN 8 (3).
- Owen LA, Kowalewski AA, Lessnick SL (2008). «EWS/FLI mediates transcriptional repression via NKX2.2 during oncogenic transformation in Ewing sarcoma». PLoS ONE 3 (4): e1965. PMID 18414662. doi:10.1371/journal.pone.0001965.
- Sorensen PH, Lessnick SL, López-Terrada D, Liu XF, Triche TJ, Denny CT (febrero de 1994). «A second Ewing's sarcoma translocation, t(21;22), fuses the EWS gene to another ETS-family transcription factor, ERG». Nat. Genet. 6 (2): 146-51. PMID 8162068. doi:10.1038/ng0294-146.
- Jeon IS, Davis JN, Braun BS, et al. (marzo de 1995). «A variant Ewing's sarcoma translocation (7;22) fuses the EWS gene to the ETS gene ETV1». Oncogene 10 (6): 1229-34. PMID 7700648.
- Ozaki, Toshifumi (2015). «Diagnosis and treatment of Ewing sarcoma of the bone: a review article». Journal of Orthopaedic Science (en inglés) 20 (2): 250-263. PMC 4366541. PMID 25691401. doi:10.1007/s00776-014-0687-z. Consultado el 30 de mayo de 2021.
- Widhe, Björn; Widhe, Torulf (2000-05). «Initial Symptoms and Clinical Features in Osteosarcoma and Ewing Sarcoma*:». The Journal of Bone and Joint Surgery-American Volume (en inglés) 82 (5): 667-674. ISSN 0021-9355. doi:10.2106/00004623-200005000-00007. Consultado el 30 de mayo de 2021.
- Ross, Keir A.; Smyth, Niall A.; Murawski, Christopher D.; Kennedy, John G. (3 de enero de 2013). «The Biology of Ewing Sarcoma». ISRN Oncology (en inglés) 2013: 1-7. ISSN 2090-567X. PMC 3549336. PMID 23346417. doi:10.1155/2013/759725. Consultado el 30 de mayo de 2021.
- Biermann, J. Sybil; Chow, Warren; Reed, Damon R.; Lucas, David; Adkins, Douglas R.; Agulnik, Mark; Benjamin, Robert S.; Brigman, Brian et al. (2017-02). «NCCN Guidelines Insights: Bone Cancer, Version 2.2017». Journal of the National Comprehensive Cancer Network (en inglés) 15 (2): 155-167. ISSN 1540-1405. doi:10.6004/jnccn.2017.0017. Consultado el 30 de mayo de 2021.
- Bernstein M, Kovar H, Paulussen M, et al. (mayo de 2006). «Ewing sarcoma family of tumors: current management». Oncologist 11 (5): 503-19. PMID 16720851. doi:10.1634/theoncologist.11-5-503.
- «Ewing's sarcoma». Sarcoma.org (en inglés). 11 de agosto de 2015. Consultado el 30 de mayo de 2021.
- Grier, Holcombe E.; Krailo, Mark D.; Tarbell, Nancy J.; Link, Michael P.; Fryer, Christopher J.H.; Pritchard, Douglas J.; Gebhardt, Mark C.; Dickman, Paul S. et al. (20 de febrero de 2003). «Addition of Ifosfamide and Etoposide to Standard Chemotherapy for Ewing's Sarcoma and Primitive Neuroectodermal Tumor of Bone». New England Journal of Medicine (en inglés) 348 (8): 694-701. ISSN 0028-4793. doi:10.1056/NEJMoa020890. Consultado el 30 de mayo de 2021.
- Paulussen, Michael; Craft, Alan W.; Lewis, Ian; Hackshaw, Allan; Douglas, Carolyn; Dunst, Jürgen; Schuck, Andreas; Winkelmann, Winfried et al. (20 de septiembre de 2008). «Results of the EICESS-92 Study: Two Randomized Trials of Ewing's Sarcoma Treatment—Cyclophosphamide Compared With Ifosfamide in Standard-Risk Patients and Assessment of Benefit of Etoposide Added to Standard Treatment in High-Risk Patients». Journal of Clinical Oncology (en inglés) 26 (27): 4385-4393. ISSN 0732-183X. doi:10.1200/JCO.2008.16.5720. Consultado el 30 de mayo de 2021.
- Womer, Richard B.; West, Daniel C.; Krailo, Mark D.; Dickman, Paul S.; Pawel, Bruce R.; Grier, Holcombe E.; Marcus, Karen; Sailer, Scott et al. (20 de noviembre de 2012). «Randomized Controlled Trial of Interval-Compressed Chemotherapy for the Treatment of Localized Ewing Sarcoma: A Report From the Children's Oncology Group». Journal of Clinical Oncology (en inglés) 30 (33): 4148-4154. ISSN 0732-183X. PMC 3494838. PMID 23091096. doi:10.1200/JCO.2011.41.5703. Consultado el 30 de mayo de 2021.
- «Bone Cancer Treatment Regimens». Cancer Therapy Advisor (en inglés estadounidense). 1 de enero de 2020. Consultado el 30 de mayo de 2021.
- Schuck, Andreas; Ahrens, Susanne; Paulussen, Michael; Kuhlen, Michaela; Könemann, Stefan; Rübe, Christian; Winkelmann, Winfried; Kotz, Rainer et al. (2003-01). «Local therapy in localized Ewing tumors: results of 1058 patients treated in the CESS 81, CESS 86, and EICESS 92 trials». International Journal of Radiation Oncology*Biology*Physics (en inglés) 55 (1): 168-177. doi:10.1016/S0360-3016(02)03797-5. Consultado el 30 de mayo de 2021.
- Hoyt, Benjamin W.; Pavey, Gabriel J.; Pasquina, Paul F.; Potter, Benjamin K. (1 de marzo de 2015). «Rehabilitation of Lower Extremity Trauma: a Review of Principles and Military Perspective on Future Directions». Current Trauma Reports (en inglés) 1 (1): 50-60. ISSN 2198-6096. doi:10.1007/s40719-014-0004-5. Consultado el 30 de mayo de 2021.
.jpg.webp)