Sinfalangismo
El sinfalangismo es una condición hereditaria médica muy infrecuente que generalmente se presenta como una fusión de las falanges de los dígitos de la mano y/o el pie y anquilosis de los dígitos afectados; en algunos casos.[3]
| Sinfalangismo | ||
|---|---|---|
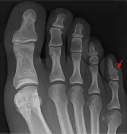
![]() Una radiografia de un pie con sinfalangismo pedal (afectando al dedo meñique del pie), el tipo de sinfalangismo más común | ||
| Síntomas | Un dedo (de la mano y/o del pie) el cual parece tener la falta de una articulación | |
| Complicaciones | El sinfalangismo afectando a los dedos del pie normalmente no causa problemas, pero si afecta a los dedos de la mano afecta la habilidad de hacer cosas con los dedos, por ejemplo, sostener un objeto | |
| Duración | De por vida | |
| Causas | Defecto hereditario | |
| Factores de riesgo | Tener padres con sinfalangismo | |
| Pronóstico | No afecta realmente al pronóstico de vida, pero si afecta su calidad. | |
| Frecuencia | 1 en 1 millón (sinf. distal)[1], desconocida (sinf. proximal)[2] | |
Al sinfalangismo de tipo proximal que se presenta junto a perdida de audición progresiva y un conjunto de otros síntomas más se le denomina sinfalangismo de Cushing's, también llamado Síndrome de Strasburger-Hawkins-Eldridge.
Signos y síntomas
La señal y síntoma principal del sinfalangismo es un dedo que tiene una apariencia algo peculiar. Una mano o pie normal tiene 3 falanges en cada dedo (excepto el pulgar en la mano y el dedo gordo en el pie, ambos de estos dígitos solo tienen 2 en lugar de 3), mientras que una/o con sinfalangismo tiene solo 2 o menos falanges, pero, a diferencia del hipofalangismo (que es la ausencia de una o más falanges en los dígitos del pie y la mano), los dedos mantienen una altura normal, ya que no hay una falta de una falange, sino una falta de espacio entre dos falanges.
En algunos casos, se puede presentar pérdida de audición progresiva, esto debido a la fusión de los huesecillos del oído, esto se le conoce como sinfalangismo de Cushing's.[4]
Causas
El sinfalangismo es una condición genética, con un patrón de herencia autosómico dominante,[5] y ocurre cuando hay una falla de diferenciación en las articulaciones interfalángicas de los dedos, esta diferenciación normalmente ocurre en el octavo mes de vida fetal.[6]
Algunas causas genéticas del sinfalangismo han sido encontradas, estas son:
- Mutación en el gen NOG, en el cromosoma 17q22
- Mutación en el gen GDF5
Anatomía
Como ya se había mencionado, el sinfalangismo es descrito como una fusión de las falanges de los dígitos del pie y/o de la mano, hay dos tipos de sinfalangismo, el sinfalangismo afectando a las falanges distales y medias, y el sinfalangismo afectando las falanges medias y próximas.
Cuando afecta a las falanges distales y medias, solo se puede mover la falange media y el dedo entero, esto no deja a una persona afectada sostener un objeto apropiadamente.
Cuando afecta a las falanges medias y próximas, solo se puede mover la falange distal y el dedo entero, el movimiento de la falange distal a primera vista podría a llevar a alguien a pensar que el dedo es hipermóvil, este tipo de sinfalangismo es diferente al anterior, debido a que, en lugar de complicar sujetar un objeto, este tipo de sinfalangismo simplemente no deja al afectado sostener un objeto, ya que las falanges distales no pueden sujetar algo por sí solas.
Epidemiología
Aunque la prevalencia del sinfalangismo no es conocida aún, si se sabe que es uno de los trastornos esqueléticos más infrecuentes.
El tipo de sinfalangismo más común es aquél que afecta al dedo meñique del pie, también conocido como sinfalangismo pedal, al igual que el pie de Morton, el sinfalangismo pedal es considerado una variante normal asintomática del pie, afectando aproximadamente al 35-80% de la población.[7]
Referencias
- RESERVED, INSERM US14-- ALL RIGHTS. «Orphanet: Distal symphalangism». www.orpha.net (en inglés). Consultado el 6 de abril de 2022.
- RESERVED, INSERM US14-- ALL RIGHTS. «Orphanet: Proximal symphalangism». www.orpha.net (en inglés). Consultado el 6 de abril de 2022.
- «Orphanet: Sinfalangismo proximal». www.orpha.net. Consultado el 11 de marzo de 2022.
- «Proximal symphalangism | Genetic and Rare Diseases Information Center (GARD) – an NCATS Program». rarediseases.info.nih.gov. Consultado el 6 de abril de 2022.
- «Orphanet: Proximal symphalangism». www.orpha.net. Consultado el 11 de marzo de 2022.
- Harle, Thomas S.; Stevenson, James R. (1 de julio de 1967). «Hereditary Symphalangism Associated with Carpal and Tarsal Fusions». Radiology 89 (1): 91-94. ISSN 0033-8419. doi:10.1148/89.1.91. Consultado el 11 de marzo de 2022.
- Ucpunar, Hanifi; Camurcu, Yalkın; Ozcan, Cagri; Buyuk, Abdul Fettah; Tas, Suleyman Kasim; Cobden, Adem (2019-01). «The incidence of biphalangeal fifth toe: Comparison of normal population and patients with foot deformity». Journal of Orthopaedic Surgery 27 (1): 230949901982552. ISSN 2309-4990. doi:10.1177/2309499019825521. Consultado el 11 de marzo de 2022.
Enlaces externos
Wikimedia Commons alberga una categoría multimedia sobre el sinfalangismo.
