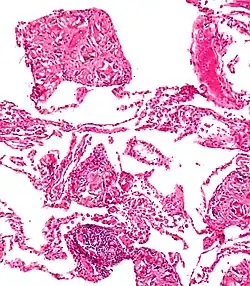
Talcosis
La Talcosis es una enfermedad pulmonar causada por la inhalación de talco.

Se ha relacionado con silicosis resultante de la inhalación de talco y silicatos. También está ligado al consumo de heroína donde podría ser usado el talco utilizado como un adulterante para aumentar el peso en las ventas de calle, por lo que la inyección de heroína con talco diluido causa talcosis ..."[1]
La talcosis también puede surgir de la inyección de medicamentos destinados a la administración oral, como el talco está presente en muchas tabletas y cápsulas que son objeto de abuso por vía intravenosa , tales como benzodiazepinas , dextroanfetamina , y en la prescripción de narcóticos. It is one of several noted associations and possible risks of street heroin use.[2]
Referencias
- "...For example, the injection of talc-diluted heroin causes talcosis..." Obstetric anesthesia: principles and practice. By David H. Chestnut
- Davis, LL. (Dec de 1983). «Pulmonary "mainline" granulomatosis: talcosis secondary to intravenous heroin abuse with characteristic x-ray findings of asbestosis.». J Natl Med Assoc 75 (12): 1225-8. PMC 2561715. PMID 6655726.