Trombosis del seno venoso cerebral
La trombosis del seno venoso cerebral (CVST) es la presencia de trombosis (coágulo sanguíneo) en el seno venoso dural, que recibe sangre de venas externas e internas del cerebro. Los síntomas de esta enfermedad pueden incluir dolor de cabeza, visión anormal, cualquiera de los síntomas de un accidente cerebrovascular (debilitamiento de los músculos de la cara y extremidades de una mitad del cuerpo) e infartos. El diagnóstico se realiza normalmente por tomografía axial computarizada (CT/CAT scan) o resonancia magnética (MRI) empleando el contraste radiológico para demostrar obstrucción de los senos venosos por trombos.[1]
| Trombosis del seno venoso cerebral | ||
|---|---|---|
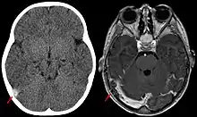
![]() Trombosis del seno venoso cerebral vista mediante resonancia magnética | ||
| Especialidad |
neurología aparato circulatorio | |
El tratamiento se realiza con anticoagulantes, que suprime los coágulos sanguíneos, y raramente por trombólisis (destrucción enzimática del coágulo). En caso de que exista una causa oculta de la enfermedad, se realizarán exámenes para determinar la misma. La enfermedad puede agravarse por la acción de la presión intracraneal, lo que puede implicar una intervención quirúrgica, normalmente por shunt[1] cerebral o derivación ventrículo peritoneal.
Signos y síntomas

Nueve de cada diez personas con trombosis del seno venoso padecen dolor de cabeza, que tiende a empeorar con el paso de los días, pero también puede desarrollarse espontáneamente un dolor de cabeza intenso.[1] La cefalea puede ser el único síntoma de la trombosis del seno venoso cerebral.[2] Varios pacientes también tienen síntomas propios de ACV: incapacidad para mover una o más extremidades, debilidad en una mitad de la cara o afasia. Esto no afecta necesariamente a una parte del cuerpo como en los accidentes cerebrovasculares más comunes.[1]
El 40% de los pacientes de CVST tienen ACVs, a pesar de que estos son más comunes en mujeres que desarrollan trombosis en el seno venoso cerebral después del parto.[3] Estos ACVs afectan a una parte del cuerpo, normalmente a una mitad, pero ocasionalmente los ACVs son generalizados y raramente conducen al status epilepticus (crisis epiléptica única o repetidas que persisten para potencialmente producir un daño neurológico).[1]
En ancianos, muchos de los ya mencionados síntomas pueden no ocurrir. Síntomas comunes en ancianos con CVST son cambios inexplicables en el estatus mental y un nivel de conciencia alterado depresivo.[4] La presión alrededor del cerebro puede acrecentarse, causando un edema de papila (hinchazón del disco óptico) que puede presentarse en forma de oscurecimiento visual. Si la opresión intracraneal está en un estado severamente elevado, el nivel de conciencia decrece, la presión sanguínea aumenta, se produce una bradicardia y el paciente adopta una pose anormal con respecto a la habitual en él.[1]
Causas
El CVST es más común se da en pacientes en situaciones particulares. El 85% de los pacientes de esta enfermedad tiene al menos uno de los siguientes factores de riesgo:[1]
- Trombofilia, una tendencia a desarrollar trombos sanguíneos en caso de que existan anomalías en la coagulación. Por ejemplo, en el factor V Leiden, deficiencia de proteína C, proteína S o antitrombina, o problemas relacionados.
- Síndrome nefrótico, un problema renal que ocasiona la pérdida de proteína por parte del organismo a través de la orina.
- Enfermedades crónicas inflamatorias, como la enfermedad inflamatoria intestinal, lupus o el síndrome de Behcet
- Mujeres en embarazo o durante el puerperio (período inmediatamente posterior al parto)
- Desórdenes sanguíneos, especialmente la policitemia vera o hemoglobinuria nocturna paroxística
- El uso de formas de anticoncepción hormonal que contengan estrógeno.
- Meningitis e infecciones de oído, nariz y garganta tales que mastoiditis o sinusitis.
- Lesión directa de los senos venosos.
- Procedimientos médicos en la cabeza y cuello.
- Anemia de células falciformes
- Deshidratación, especialmente en niños
- Homocistinuria
- COVID-19: Se han notificado casos de TSVC en pacientes con COVID-19 en ausencia de los factores de riesgo mencionados..[5]
Diagnóstico
Esta enfermedad puede diagnosticarse con base a los síntomas ya mencionados; por ejemplo, la combinación de dolor de cabeza, signos de elevada presión intracraneal y anomalías neurológicas focales, o cuando causas derivadas del dolor de cabeza y anormalidades neurológicas, como la hemorragia subaracnoidea, han sido excluidas.[1]
Escaneo

Hay varias formas de neuroescaneo que pueden determinar la presencia de la trombosis del seno venoso cerebral. Los edemas cerebrales e infartos venosos pueden hacerse visibles en cualquier modalidad, pero para la detección del trombo sí, el tipo de escaneo más usado comúnmente son la tomografía axial computarizada (CT) y la resonancia magnética (MRI). Ambas usan varios medios de radiocontraste para elaborar un venograma y visualizar las venas en torno al cerebro.[1]
La tomografía axial computarizada tiene una capacidad de detección que para algunos expertos supera la de la resonancia magnética. Esta prueba se basa en la inserción, a través de una inyección en la vena (normalmente en el brazo), de una sustancia radiopaca. Tras un tiempo, el que tarda el torrente sanguíneo en llevar la sustancia al cerebro, el escaneo se realiza. La sensibilidad de este test es de 75-100% (detecta de 75 a 100% de todos los coágulos presentes), y una especificidad de 81-100% (sería incorrectamente positivo en un 0-19%).[6]
La resonancia magnética venosa emplea los mismos principios, pero la modalidad de escaneo usada es la resonancia magnética. La MRI tiene la ventaja de ser mejor a la hora de detectar peligro para el cerebro como resultado del incremento de la presión en las venas obstruidas. No obstante, este mecanismo no se encuentra disponible en muchos hospitales y su interpretación puede resultar dificultosa.[6]
Dímero-D
Un estudio de 2004 sugiere que el test sanguíneo Dímero-D, ya en uso para diagnósticos de otras formas de trombosis, se comportaba anormalmente (por encima de 500 μg/l) para diagnosticar este tipo concreto de trombosis en 34 de cada 35 pacientes. Esto le daba una sensibilidad del 97,1%, un valor predictivo negativo del 99,6%, una especificidad del 91,2% y un valor predictivo positivo del 55,7%. Además, el nivel de dímero-D se correlacionaba con la extensión de la trombosis.[7] Un estudio posterior, mostraba que el 10% de pacientes con trombosis confirmada tenían un nivel normal de Dímero-D.[8]
Patogénesis
Las venas del cerebro, ya sean superficiales o profundas, se vacían en los senos venosos durales, que llevan la sangre a la vena yugular y después al corazón. En la trombosis del seno venosos cerebral, los coágulos se forman en las venas del cerebro y los senos venosos. La trombosis de las venas causa infartos venosos, dañando al tejido cerebral porque el transporte de sangre es insuficiente o está congestionado. Esto resulta en un edema cerebral, que lleva a pequeñas hemorragias petequiales que pueden convertirse en hematomas mayores. La trombosis de los senos es el mecanismo principal detrás del incremento de la presión intracraneal. Esta condición, sin embargo, no conduce a la hidrocefalia ya que no hay diferencia de presión entre las distintas partes del cerebro.[1] Cualquier coágulo sanguíneo de forma debido a la falta de equilibrio entre coagulación y fibrinólisis. Los tres mecanismos mayores para que se produzca esta falta de equilibrio son enumerados en la tríada de Virchow: la lesión e Endotelial, la lentitud del flujo o estasis sanguínea y los estados de hipercoagulabilidad. La mayor parte de los casos de trombosis cerebrales del seno venoso se produce por hipercoagulabilidad.[1] La respuesta inflamatoria y la inmovilización prolongada de los pacientes con COVID-19 también podrían ayudar a explicar la formación de CVST.[5]
Es posible para el coágulo romperse y migrar(émbolo) a los pulmones, provocando una embolia pulmonar.[1][3] Un análisis de casos previos concluye que este suceso ocurre hasta en un 10% de los casos, pero tiene un prognosis muy pobre.[9]
Tratamiento
Varios estudios han investigado el uso de la anticoagulación para suprimir la formación de coágulos sanguíneos en la trombosis del seno venoso cerebral. Antes de que estos estudios se produjesen, existía una preocupación de que áreas pequeñas de hemorragia en el cerebro sangrasen como resultado del tratamiento. El estudio demostró que esta preocupación era infundada.[10] Ahora se recomienda la heparina en las primeras fases de tratamiento, seguida de warfarina, siempre que no haya riesgos de sangrado que hagan este tratamiento impropio.[3][11] Algunos expertos no aprueban el uso de anticoagulantes si la hemorragia es extensiva, en este caso se recomienda repetir el escaneo después de 7-10 días. Si la hemorragia decrece en tamaño, se comienza con los anticoagulantes, mientras que no se les proporciona al paciente si no hay reducción.[12]
La duración del tratamiento con warfarina depende de las circunstancias y las causas de esta condición. Si la trombosis se desarrolló durante circunstancias temporales (embarazo, por ejemplo) tres meses se consideran suficientes. Si la condición no fue provocada pero no hay causas claras de una forma media de trombofilia, se recomiendan de 6 a 12 semanas. Si hay un desorden severo de trombosis, el tratamiento de trombosis puede ser indefinido.[3]
La trombólisis (eliminación del coágulo sanguíneo mediante medicación) se ha llevado a cabo por vía venosa con inyección o directamente en el coágulo por angiografía. Se recomienda que la trombólisis se use solo en pacientes cuya trombosis se deteriores a pesar de una tratamiento adecuado. No está claro qué medicamento y qué modo de administrarlo es el más efectivo. El sangrado cerebral y en otras zonas del cuerpo es una preocupación en el uso de la trombólisis.[3] Expertos americanos no recomiendan la trombólisis, pues establecen que se necesita una mayor investigación.[3]
El incremento de la presión intracraneal, si es severa o amenazante, puede requerir punción lumbar terapéutica, medicación (acetazolamida), o tratamiento neurocirúrgico. En algunas situaciones, antiepilépticos pueden ser usados para prevenir ataques cerebrales.[1] In certain situations, anticonvulsivos may be used to prevent seizures; these are focal neurological problems (e.g. inability to move a limb) and/or focal changes of the brain tissue on CT or MRI scan.[3]
Pronóstico
En 2004 se llevó a cabo el primer estudio adecuado a gran escala sobre la historia y la prognosis a largo plazo de esta enfermedad. A los 16 meses de recibir diagnóstico, el 57,1% de los pacientes se había recuperado, el 29,5/2,9/2,2% tenían respectivamente síntomas menores/moderados/severos y un 8,3% había fallecido. La muerte era más frecuente en personas con edad sobre 37 años, masculinos, afectados por coma, con desórdenes mentales, hemorragias intracerebrales, trombosis del sistema venoso cerebral profundo, infección del sistema nerviosos central y cáncer.[13] Después también se investigó que la mortalidad es del 5,6% durante la hospitalización y del 9,4% en total, mientras que el 88% se recuperaron totalmente o casi por completo.[14]
En niños con CVST, la mortalidad es del 50%. El resultado se agrava si el niño desarrolla accidentes cerebrovasculares o tiene evidencia de infarto tras un escaneo.[15]
Epidemiología
La trombosis cerebral del seno venoso es rara, con una estimación de 3-4 incidencias por millón de casos en adultos. A pesar de que puede ocurrir en cualquier grupo de edad, es más común en la tercera edad, donde el 75% de personas que desarrollan CVST son mujeres.[3] Ya que estudios antiguos no muestran una diferencia clara de incidencia entre sexos, se cree que el uso anticonceptivos orales en mujeres puede estar detrás de esa disparidad.[1] Un estudio de 1995 de Arabia Saudí encontraron una doble incidencia en 7 casos de cada 100.000, algo que se atribuyó al hecho de que el síndrome de Behcet, que aumenta el riesgo de CVST, es más común en Oriente Medio.[16] Otro estudio de 1973 encontró que la CVST se puede encontrar en autopsias en el 9% de las personas. Muchas de estas eran ancianos con síntomas neurológicos en el período previo a su muerte, y muchos sufrían de insuficiencia cardíaca.[17] Se estima una incidencia del 0,3% de CVST en pacientes infectados con SARS-CoV-2.[5]
En niños, un estudio canadiense estableció en 2001 que la CVST ocurre en 6,7 niños por millón anualmente. 43% ocurre en recién nacidos y otro 10% en el primer año de vida. De los recién nacidos, el 84% estaban ya enfermos, principalmente por complicaciones después del nacimiento y la deshidratación.[15]
Referencias
- Stam J (2005). «Thrombosis of the cerebral veins and sinuses». N. Engl. J. Med. 352 (17): 1791-8. PMID 15858188. doi:10.1056/NEJMra042354.
- Cumurciuc R, Crassard I, Sarov M, Valade D, Bousser MG (2005). «Headache as the only neurological sign of cerebral venous thrombosis: a series of 17 cases». J. Neurol. Neurosurg. Psychiatr. 76 (8): 1084-7. PMC 1739763. PMID 16024884. doi:10.1136/jnnp.2004.056275.
- Einhäupl K, Bousser MG, de Bruijn SF, et al. (2006). «EFNS guideline on the treatment of cerebral venous and sinus thrombosis». Eur. J. Neurol. 13 (6): 553-9. PMID 16796579. doi:10.1111/j.1468-1331.2006.01398.x.
- Ferro JM, Canhão P, Bousser MG, Stam J, Barinagarrementeria F (2005). «Cerebral vein and dural sinus thrombosis in elderly patients». Stroke 36 (9): 1927-32. PMID 16100024. doi:10.1161/01.STR.0000177894.05495.54.
- Gutiérrez-Zevallos, JD; Guarniz-Huamán, DA; Sánchez-Landers, M. «Trombosis venosa cerebral y COVID-19: ¿Asesino silencioso durante la pandemia?». Revista de Neuro-Psiquiatria 84 (1): 19-24. doi:10.20453/rnp.v84i1.3933.
- Smith R, Hourihan MD (2007). «Investigating suspected cerebral venous thrombosis». BMJ 334 (7597): 794-5. PMC 1852020. PMID 17431266. doi:10.1136/bmj.39154.636968.47.
- Kosinski CM, Mull M, Schwarz M, et al. (2004). «Do normal D-dimer levels reliably exclude cerebral sinus thrombosis?». Stroke 35 (12): 2820-5. PMID 15514174. doi:10.1161/01.STR.0000147045.71923.18.
- Crassard I, Soria C, Tzourio C, et al. (2005). «A negative D-dimer assay does not rule out cerebral venous thrombosis: a series of seventy-three patients». Stroke 36 (8): 1716-9. PMID 16020765. doi:10.1161/01.STR.0000173401.76085.98.
- Diaz JM, Schiffman JS, Urban ES, Maccario M (1992). «Superior sagittal sinus thrombosis and pulmonary embolism: a syndrome rediscovered». Acta Neurol. Scand. 86 (4): 390-6. PMID 1455986. doi:10.1111/j.1600-0404.1992.tb05106.x.
- Stam J, De Bruijn SF, DeVeber G (2002). «Anticoagulation for cerebral sinus thrombosis». En Stam, Jan, ed. Cochrane Database Syst Rev (4): CD002005. PMID 12519565. doi:10.1002/14651858.CD002005. Archivado desde el original el 30 de abril de 2009. Consultado el 26 de mayo de 2014.
- Sacco RL, Adams R, Albers G, et al. (marzo de 2006). «Guidelines for prevention of stroke in patients with ischemic stroke or transient ischemic attack: a statement for healthcare professionals from the American Heart Association/American Stroke Association Council on Stroke: co-sponsored by the Council on Cardiovascular Radiology and Intervention: the American Academy of Neurology affirms the value of this guideline». Circulation 113 (10): e409-49. PMID 16534023. doi:10.1161/01.STR.0000199147.30016.74.
- Martinelli I, Franchini M, Mannucci PM (septiembre de 2008). «How I treat rare venous thromboses». Blood 112 (13): 4818-23. PMID 18805965. doi:10.1182/blood-2008-07-165969. Archivado desde el original el 2 de julio de 2009. Consultado el 26 de mayo de 2014.
- Ferro JM, Canhão P, Stam J, Bousser MG, Barinagarrementeria F (2004). «Prognosis of cerebral vein and dural sinus thrombosis: results of the International Study on Cerebral Vein and Dural Sinus Thrombosis (ISCVT)». Stroke 35 (3): 664-70. PMID 14976332. doi:10.1161/01.STR.0000117571.76197.26.
- Dentali F, Gianni M, Crowther MA, Ageno W (2006). «Natural history of cerebral vein thrombosis: a systematic review». Blood 108 (4): 1129-34. PMID 16609071. doi:10.1182/blood-2005-12-4795.
- deVeber G, Andrew M, Adams C, et al. (agosto de 2001). «Cerebral sinovenous thrombosis in children». N. Engl. J. Med. 345 (6): 417-23. PMID 11496852. doi:10.1056/NEJM200108093450604.
- Daif A, Awada A, al-Rajeh S, et al. (1 de julio de 1995). «Cerebral venous thrombosis in adults. A study of 40 cases from Saudi Arabia». Stroke 26 (7): 1193-5. PMID 7604412.
- Towbin A (1 de mayo de 1973). «The syndrome of latent cerebral venous thrombosis: its frequency and relation to age and congestive heart failure» (PDF). Stroke 4 (3): 419-30. PMID 4713031.
