| Esteatosis hepática | ||
|---|---|---|
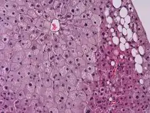
![]() Fotografía microscópica mostrando un Hígado graso (esteatosis macrovesicular), como se ve en una esteatohepatitis no alcohólica. Tinción tricrómica. | ||
| Especialidad | gastroenterología | |
| Síntomas | Ninguno, cansancio, dolor en el lado superior derecho del abdomen. | |
| Tipos | Enfermedad del hígado graso no alcohólico (NAFLD), enfermedad hepática alcohólica | |
| Causas | Alcohol, diabetes, obesidad | |
La esteatosis hepática (también conocida como hígado graso o por NAFLD por sus siglas en inglés[1]) es la forma más frecuente de esteatosis o acumulación de grasa, no siempre se acompaña de lesión hepática debido a la gran capacidad funcional del hígado.
Se produce hepatomegalia (aumento del tamaño del hígado) y el hígado adopta un aspecto moteado y blando. Al microscopio óptico se observa como los hepatocitos muestran gotas lipídicas que pueden ser de gran tamaño y existir pocas (célula en anillo de sello, más característico de situaciones crónicas) o ser pequeñas y abundantes (célula espumosa, más típico de situaciones agudas). La acumulación de triacilglicéridos en unas u otras zonas del lobulillo hepático dependerá de la causa: en la congestión hepática (que genera isquemia) los triglicéridos se acumulan preferentemente en el centro del lobulillo (esteatosis centrolobulillar) tal y como ocurre en la insuficiencia cardíaca, alcoholismo, etc. La esteatosis perilobulillar es producida tras períodos prolongados de ayuno. Si estos procesos se acompañan de hepatitis (esteatohepatitis) se acaba produciendo necrosis que desembocará en fibrosis hepática. El hígado graso suele aparecer a causa de la toma de grandes medidas de alcohol, azúcares o grasas.
Si el hígado graso no se interrumpe puede hacer que aparezca fibrosis en período de años, pudiendo resultar un 20 % en cirrosis hepática y un 2% cáncer de hígado. Es la segunda causa de trasplante hepático en los EE. UU. y en los próximos 10 años se prevé que sea la primera causa.[2]
Causas
El hígado graso se asocia comúnmente con un consumo excesivo de alcohol o el síndrome metabólico (diabetes, hipertensión, obesidad y dislipidemia), pero también puede deberse a otras causas:[3][4]
- Metabólicas
- Abetalipoproteinemia, enfermedad por almacenamiento de glucógeno, enfermedad de Weber-Christian, hígado graso agudo del embarazo, lipodistrofia.
- Nutricionales
- Desnutrición, nutrición parenteral total, pérdida de peso grave, síndrome de realimentación, bypass yeyuno-ileal, bypass gástrico, diverticulosis yeyunal con sobrecrecimiento bacteriano.
- Drogas y toxinas
- la amiodarona, metotrexato, diltiazem, tetraciclina expirada, terapia antirretroviral altamente activa, glucocorticoides, tamoxifeno, hepatotoxinas medioambientales (por ejemplo, fósforo, envenenamiento por hongos).
- Otras
- La enfermedad celíaca no diagnosticada ni tratada (que suele cursar con síntomas digestivos leves, intermitentes o incluso completamente ausentes),[5] la enfermedad inflamatoria intestinal, el VIH, la hepatitis C (especialmente el genotipo 3) y la deficiencia de alfa 1-antitripsina.[6]
Tratamiento
El tratamiento del hígado graso consiste fundamentalmente en bajar de peso y aumentar la actividad física. La obesidad y el sobrepeso, los principales factores de riesgo, son modificables mediante cambios en el estilo de vida. Otras recomendaciones incluyen evitar el consumo de alcohol y el consumo de medicamentos innecesarios. En aquellas personas que están en etapas más avanzadas de la enfermedad (inflamación o fibrosis hepática importante), pueden usarse algunos medicamentos que pueden ayudar, como antioxidantes (vitamina E) o agentes sensibilizadores de la insulina.
Complicaciones
Hasta el 10 % de los pacientes con hígado graso relacionado con cirrosis alcohólica desarrollará un carcinoma hepatocelular. La incidencia global de cáncer de hígado en individuos con hígado graso no alcohólico aún no ha sido cuantificada, pero la asociación está bien establecida.[7]
Epidemiología

La prevalencia de la esteatosis hepática en la población general oscila entre el 10 y el 24 % en varios países.[8] Sin embargo, el trastorno se observa en hasta un 75 % de las personas obesas, el 35 % de los cuales pasarán a hígado graso no alcohólico,[9] a pesar de no hay evidencia de consumo excesivo de alcohol. La esteatosis hepática es la causa más común de alteración de las pruebas de función hepática en los Estados Unidos.[8] "hígados grasos ocurre en el 33% de los europeos-americanos, 45% de los estadounidenses de origen hispano, y el 24% de los afroamericanos".[10]
Relación con la genética
Estudios de asociación del genoma completo (WGAS), han relacionado diversos locus ('loci') en el ADN relacionados con la enfermedad hepática. La variante rs738409 C>G (transversión), genera un cambio de aminoácido en la proteína (Ile148Met, I148M) en el gen PNPLA3 ubicado en el cromosoma 22q13.31 (HGNC:18590).[11] Esta variante fue descrita en 2008 por Romeo S. y colaboradores,[12] asociada con la susceptibilidad a desarrollar enfermedad de hígado graso no alcohólico).
La proteína PNPLA3 (Patatin-like phospholipase domain-containing 3), también conocida como adiponutrina, es codificada por el gen PNPLA3. Es una triacilglicerol lipasa de 481 aminoácidos, que media la hidrólisis de triacilglicerol en los adipocitos. Estudios realizados en ratones, muestran que la sustitución I148M parece abolir la actividad hidrolasa, al reducir el acceso del sustrato al sitio activo de la enzima, este cambio promueve la acumulación de triglicéridos, por lo que se sugiere una pérdida de función.[13]
La determinación de los polimorfismos del gen PNPLA3 es de mucha utilidad para predecir la evolución de la enfermedad. De acuerdo a los resultados de genotipificación, se han propuesto los siguientes asociaciones:
- Homocigoto CC: sin riesgo de progresión del daño hepático.
- Heterocigoto CG: con riesgo de progresión a formas más graves de daño hepático (incremento de fibrosis hepática).
- Homocigoto GG: con riesgo de progresión a formas más graves de daño hepático (incremento de fibrosis hepática).
Por lo que individuos portadores del rs738409 [G], presentan mayor riesgo de desarrollar esteatosis hepática no alcohólica y o fibrosis siguiendo un modelo recesivo de la herencia (es decir, GG vs CC+CG).[14][15][16]
Es importante considerar, que el gen PNPLA3 no puede utilizarse como un único biomarcador para la predicción de la enfermedad y los secuelas observadas en pacientes con enfermedad hepática; por lo que es necesario la realización de estudios de cohortes prospectivas.[17] Aunque para este tipo de estudios, se requieren mayores recursos en términos de costo y tiempo, son menos tendenciosos que los estudios de casos y controles para evaluar la exposición y los factores de riesgo, además de proporcionar información de las interacciones gen-ambiente.[18]
Véase también
- Esteatosis hepática no alcohólica
- Síndrome metabólico
- Hepatopatía alcohólica
- Cirrosis hepática
- Foie gras
Referencias
- ↑ «Definición y hechos sobre el hígado graso no alcohólico y NASH en los niños».
- ↑ Chalasani N, et al. The diagnosis and management of non-alcoholic fatty liver disease: practice guideline by the American Association for the Study of Liver Diseases, American College of Gastroenterology, and the American Gastroenterological Association. Hepatology 2012;55:2005-23.
- ↑
- ↑ Bayard M, Holt J, Boroughs E (2006). «Nonalcoholic fatty liver disease». American Family Physician 73 (11): 1961-8. PMID 16770927.
- ↑ Marciano F, Savoia M, Vajro P (febrero de 2016). «Celiac disease-related hepatic injury: Insights into associated conditions and underlying pathomechanisms». Dig Liver Di (Revisión) 48 (2): 112-9. PMID 26711682. doi:10.1016/j.dld.2015.11.013.
- ↑ Valenti L, Dongiovanni P, Piperno A, et al. (octubre de 2006). «Alpha 1-antitrypsin mutations in NAFLD: high prevalence and association with altered iron metabolism but not with liver damage». Hepatology 44 (4): 857-64. PMID 17006922. doi:10.1002/hep.21329.
- ↑ Qian Y, Fan JG (2005). «Obesity, fatty liver and liver cancer». Hbpd Int 4 (2): 173-7. PMID 15908310.
- 1 2 Angulo P (2002). «Nonalcoholic fatty liver disease». N. Engl. J. Med. 346 (16): 1221-31. PMID 11961152. doi:10.1056/NEJMra011775.
- ↑ Hamaguchi M, Kojima T, Takeda N, Nakagawa T, Taniguchi H, Fujii K, Omatsu T, Nakajima T, Sarui H, Shimazaki M, Kato T, Okuda J, Ida K (2005). «The metabolic syndrome as a predictor of nonalcoholic fatty liver disease». Ann. Intern. Med. 143 (10): 722-8. PMID 16287793.
- ↑ Daniel J. DeNoon. Fatty Liver Disease: Genes Affect Risk WebMD. Sept. 26, 2008.
- ↑ «PNPLA3 Symbol Report | HUGO Gene Nomenclature Committee». www.genenames.org. Consultado el 19 de julio de 2018.
- ↑ Romeo, Stefano; Kozlitina, Julia; Xing, Chao; Pertsemlidis, Alexander; Cox, David; Pennacchio, Len A; Boerwinkle, Eric; Cohen, Jonathan C et al. (25 de septiembre de 2008). «Genetic variation in PNPLA3 confers susceptibility to nonalcoholic fatty liver disease». Nature Genetics (en inglés) 40 (12): 1461-1465. ISSN 1061-4036. PMID 18820647. doi:10.1038/ng.257. Consultado el 19 de julio de 2018.
- ↑ He, Shaoqing; McPhaul, Christopher; Li, John Zhong; Garuti, Rita; Kinch, Lisa; Grishin, Nick V.; Cohen, Jonathan C.; Hobbs, Helen H. (26 de febrero de 2010). «A Sequence Variation (I148M) in PNPLA3 Associated with Nonalcoholic Fatty Liver Disease Disrupts Triglyceride Hydrolysis». Journal of Biological Chemistry (en inglés) 285 (9): 6706-6715. ISSN 0021-9258. PMC 2825465. doi:10.1074/jbc.M109.064501. Consultado el 19 de julio de 2018.
- ↑ Valenti, Luca; Rumi, MariaGrazia; Galmozzi, Enrico; Aghemo, Alessio; Del Menico, Benedetta; De Nicola, Stella; Dongiovanni, Paola; Maggioni, Marco et al. (11 de febrero de 2011). «Patatin-Like phospholipase domain-containing 3 I148M polymorphism, steatosis, and liver damage in chronic hepatitis C». Hepatology (en inglés) 53 (3): 791-799. ISSN 0270-9139. doi:10.1002/hep.24123. Consultado el 19 de julio de 2018.
- ↑ Müller, Tobias; Buch, Stephan; Berg, Thomas; Hampe, Jochen; Stickel, Felix (2011-09). «Distinct, alcohol-modulated effects of PNPLA3 genotype on progression of chronic hepatitis C». Journal of Hepatology 55 (3): 732-733. ISSN 0168-8278. doi:10.1016/j.jhep.2011.01.025. Consultado el 19 de julio de 2018.
- ↑ Trépo, Eric; Pradat, Pierre; Potthoff, Andrej; Momozawa, Yukihide; Quertinmont, Eric; Gustot, Thierry; Lemmers, Arnaud; Berthillon, Pascale et al. (24 de junio de 2011). «Impact of patatin-like phospholipase-3 (rs738409 C>G) polymorphism on fibrosis progression and steatosis in chronic hepatitis C». Hepatology (en inglés) 54 (1): 60-69. ISSN 0270-9139. doi:10.1002/hep.24350. Consultado el 19 de julio de 2018.
- ↑ Trépo, Eric; Romeo, Stefano; Zucman-Rossi, Jessica; Nahon, Pierre (2016-08). «PNPLA3 gene in liver diseases». Journal of Hepatology 65 (2): 399-412. ISSN 0168-8278. doi:10.1016/j.jhep.2016.03.011. Consultado el 19 de julio de 2018.
- ↑ Manolio, Teri A.; Bailey-Wilson, Joan E.; Collins, Francis S. (2006-10). «Genes, environment and the value of prospective cohort studies». Nature Reviews Genetics (en inglés) 7 (10): 812-820. ISSN 1471-0056. doi:10.1038/nrg1919. Consultado el 19 de julio de 2018.
