| Lesión de Lisfranc | ||
|---|---|---|
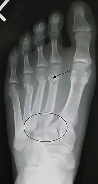
![]() Fractura de lisfranc, marcada con el círculo. Además, fractura a nivel distal del 2º (marcada con una flecha), 3º y 4º metatarsianos. | ||
La lesión de Lisfranc hace referencia a la fractura, luxación o esguince que se produce en la articulación tarso-metatarsiana (también denominada, articulación de Lisfranc). La lesión tiene un carácter de mayor severidad debido al compromiso total o parcial que puede tener el ligamento de Lisfranc, lo cual produce una gran inestabilidad a nivel de la articulación.
La lesión está asociada a traumas por caída o torsión en equino del pie de apoyo, aunque también ocurre en situaciones en donde caen objetos de gran peso sobre la cara dorsal del pie.
Diagnóstico
El diagnóstico se basa en la imagenología y la clínica, esta última se puede presentar con las características clásicas de una fractura (dolor, aumento de volumen e impotencia funcional) en la región media del pie, sumada a una equimosis en la región del arco plantar. La valoración radiográfica de las relaciones normales del complejo tarsometatarsiano se lleva a cabo en las proyecciones Dorsoplantar en la que la cortical medial de la cuña intermedia, se continua con la cortical medial de la base del 2º metatarsiano. En la proyección oblicua lateral: la cortical medial del cuboides se continua con la cortical medial de la base del 4º metatarsiano en las placas simples y de estrés.
Tratamiento
Se debe evaluar la gravedad y el nivel de compromiso de la articulación y del ligamento homónimo; lo cual en general, obliga a que exista una reparación quirúrgica. Por lo general, se tarda un año en la recuperación.
Véase también
- Jacques Lisfranc
