| Síndrome de dificultad respiratoria aguda | ||
|---|---|---|
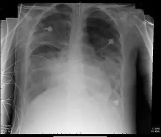
![]() Radiografía de tórax de paciente con SDRA | ||
| Especialidad |
neumología medicina de emergencia | |
| Síntomas | Dificultad para respirar , respiración rápida , coloración azulada de la piel , dolor en el pecho. | |
| Complicaciones | Coágulos de sangre, pulmón colapsado (neumotórax), infecciones, cicatrización (fibrosis pulmonar) | |
| Sinónimos | ||
| ||
El síndrome de dificultad respiratoria aguda (SDRA),[1] también denominado síndrome de distrés respiratorio agudo (en inglés: acute respiratory distress syndrome, ARDS), fue descrito por Ashbaugh y colaboradores en 1967, describiendo a doce pacientes con taquipnea, hipoxemia refractaria y opacidades difusas en radiografía de tórax después de infección o trauma.[2] Está definido actualmente como una insuficiencia respiratoria grave, debida a edema pulmonar, no cardiogénico, causado por aumento de la permeabilidad de la barrera alvéolo-capilar y secundario a daño pulmonar agudo. Cuatro definiciones mayores de SDRA han evolucionado sobre los años.
Historia
EL SDRA (Síndrome de Dificultad Respiratoria Aguda) fue inicialmente descrito en 1967 por Ashbaugh.[3] Inicialmente no hubo una definitiva descripción, resultando una controversia sobre su incidencia y mortalidad. En 1988 se propone una nueva definición que cuantifica la alteración fisiológica del sistema respiratorio.
En 1994 la American-European Consensus Conference Committee consensúa una nueva definición[4] que tenía dos ventajas: la primera, que reconoce que la severidad del daño pulmonar es variable, y la segunda, que simplifica su uso.[5]
SDRA fue definido en términos del ratio o cociente entre la presión parcial de oxígeno arterial (PaO2) y la fracción de oxígeno inspirada (FiO2) por debajo de 200 mmHg, y la presencia de infiltrados alveolares en la ex de tórax. Estos infiltrados pueden parecer semejantes a los vistos en la insuficiencia cardíaca con edema pulmonar, pero la silueta cardíaca (tamaño) es normal en el SDRA. También la presión de enclavamiento pulmonar es normal (por debajo de 18 mmHg) en el SDRA, estando aumentada en caso de edema pulmonar cardiotónico.[6]
Clasificación
Existen dos tipos patogénicos:
- SDRA pulmonar o primario, cuando ocurre por agresión alveolar directa, la cual puede estar ocasionada por neumonía, aspiración de contenido gástrico, contusión pulmonar, etc.
- SDRA extrapulmonar o secundario, cuando hay una injuria indirecta al pulmón como complicación de una enfermedad sistémica: sepsis, trauma severo con shock y transfusiones múltiples, pancreatitis aguda, etc.
Diagnóstico
Se utiliza la definición de Berlin.
| Criterio |
Razones |
|---|---|
| Inicio dentro de 7 días después del insulto clínico conocido o nuevo empeoramiento de síntomas respiratorios | Datos observacionales sugieren que el SDRA se desarrollará dentro de 72 horas en la mayoría de los pacientes en riesgo para el síndrome y dentro de una semana en cerca de todos los pacientes en riesgo. |
| Opacidades bilaterales que son "consistentes con edema pulmonar" en radiografía de tórax o TC de tórax. | Existe poca fiabilidad interobservador en interpretar la Rx de tórax por la presencia de edema. Para dirigir este asunto, la definición de Berlin ofrece criterios más explícitos (ejemplo; opacidades no deben ser completamente explicadas por derrame, atelectasia lobar o pulmonar, o nódulos o masas), con radiografía ilustrativa proporcionada. |
| Clasificación de severidad del SDRA
Leve: Moderado: Grave: |
Un metaanálisis a nivel de paciente válido 3 umbrales para hipoxemia, todos consistentes de una relación PaO2/FiO2 < 300 mmHg
PaO2/FiO2 201-300 mmHg; mortalidad 27 % PaO2/FiO2 101-200 mmHg, mortalidad 32 % PaO2/FiO2 < 100 mmHg, mortalidad 45 % |
| Contexto de PEEP mínimo o CPAP, 5 cm de agua; PaO2/FiO2 valorado en ventilación mecánica |
Tratamiento
Los pacientes con SDRA a menudo tienen que ser intubados y con ventilación controlada como parte del tratamiento de cuidados intensivos , por lo que se utilizan patrones de ventilación con PEEP . Los parámetros de ventilación se adaptan al estado del paciente en función de la situación. Dado que la ventilación mecánica en sí misma daña los pulmones, se deben tener en cuenta los principios de la ventilación de protección pulmonar: volúmenes corrientes pequeños, evitar presiones de ventilación altas y frecuencias respiratorias más altas. Se debe elegir un método que también permita la respiración espontánea, como la ventilación BIPAP.
Los corticosteroides pueden ser útiles. Los trastornos y cambios hemodinámicos se tratan de manera controlada según los principios de cuidados intensivos. Sin embargo, la parte más importante del concepto de tratamiento es, si es posible, eliminar la causa desencadenante (terapia causal, por ejemplo, la infección).
En casos severos de SDRA, el tratamiento se apoya con terapia cinética (terapia de rotorestación o tumbar al paciente en decúbito prono ). Esta terapia de posicionamiento asegura que el gas respiratorio (generalmente bajo ventilación controlada y protectora y la analgosedación "alta" mencionada anteriormente) se distribuya homogéneamente en los pulmones. La posición prona se puede realizar en posiciones corporales de 135° y 180°. Esto abre la atelectasia dorsobasal y mejora la oxigenación.
Véase también
Referencias
- ↑ Real Academia Nacional de Medicina. «Síndrome de dificultad respiratoria aguda». dtme.ranm.es. Consultado el 23 de noviembre de 2021.
- ↑ B. Taylor Thompson, M.D., Rachel C. Chambers, Ph.D., and Kathleen D. Liu, M.D., Ph.D (10 de agosto de 2017). «Acute Respiratory Distress Syndrome». New England Journal of Medicine. doi:10.1056/NEJMra1608077. Consultado el 7 de diciembre de 2019.
- ↑ Ashbaugh D, Bigelow D, Petty T, Levine B (1967). «Acute respiratory distress in adults.». Lancet 2 (7511): 319-23. PMID 4143721.
- ↑ Bernard G, Artigas A, Brigham K, Carlet J, Falke K, Hudson L, Lamy M, Legall J, Morris A, Spragg R (1994). «The American-European Consensus Conference on ARDS. Definitions, mechanisms, relevant outcomes, and clinical trial coordination.». Am J Respir Crit Care Med 149 (3 Pt 1): 818-24. PMID 7509706.
- ↑ Ware L, Matthay M (2000). «The acute respiratory distress syndrome.». N Engl J Med 342 (18): 1334-49. PMID 10793167.
- ↑ Ware LB, Matthay MA. The Acute Respiratory Distress Syndrome. New England Journal of Medicine. 2000; 342:1334-9.
