| Síndrome de la cimitarra | ||
|---|---|---|
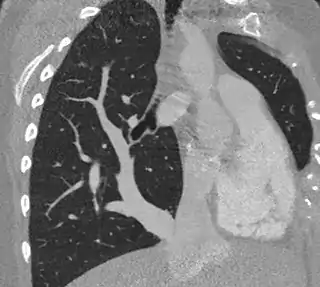
![]() Síndrome de la cimitarra.TAC torácico | ||
| Especialidad | genética médica | |
El síndrome de la cimitarra, también conocido como síndrome de drenaje venoso anómalo del pulmón derecho, es una enfermedad congénita inusual que consiste en un mal drenaje de las venas pulmonares derechas a la vena cava inferior, aurícula derecha, que con frecuencia se asocia a hipoplasia del pulmón derecho y de la arteria pulmonar derecha. También se han descrito malformaciones bronquiales, dextrocardia e irrigación arterial anómala de la aorta hacia el pulmón derecho.
Este síndrome es parte de una variedad de enfermedades congénitas conocidas como "conexiones venosas anómalas pulmonares" encontradas en el 0,4-0,7% de las autopsias realizadas a adultos, correspondiendo el síndrome de la cimitarra al 3-5% de los casos.
Historia
Los primeros registros de esta enfermedad datan de 1836; sin embargo, el signo de la cimitarra fue descrito por Halasz en 1956. Describió la malformación de la vena pulmonar mostrando un curso vertical hacia el ángulo cardiofrénico, paralelo al borde de la aurícula derecha, que adquiere la forma de una cimitarra. En la mayoría de los casos la radiografía muestra una cimitarra, que ya hace sospechar el diagnóstico.
Clínica
El síndrome de la cimitarra suele presentarse clínicamente como:
- Forma infantil: caracterizada por un gran cortocircuito entre arterias sistémicas que irrigan la porción inferior del pulmón derecho. Además de que el pronóstico de esta forma no suele ser alentador, da lugar al desarrollo en los primeros meses de vida de problemas cardíacos y generalmente viene asociado con hipertensión pulmonar.
- Forma adulta: caracterizada por un pequeño cortocircuito entre las venas pulmonares derechas.
Así mismo, su imagen radiológica es clave, ya que recuerda a la de un sable turco en la radiografía de tórax simple. Suele estar acompañado por hipoplasia pulmonar derecha y dextrocardia. Su imagen radiológica corresponde a la visualización de un gran vaso venoso (drenaje de las venas pulmonares) anómalo que recorre la silueta cardíaca derecha para drenar en la vena cava inferior por arriba o por debajo del diafragma.
Enlaces externos
- Holt, PD; Berdon, WE (11 de febrero de 2004), «Scimitar vein draining to the left atrium and a historical review of the scimitar syndrome», Pediatric radiology 34: 409-13, ISSN 0301-0449, doi:10.1007/s00247-004-1149-0 Texto «volume34» ignorado (ayuda); Texto «issue5» ignorado (ayuda); Texto «last3Marans» ignorado (ayuda).
Lecturas complementarias
- Un caso de Síndrome de la Cimitarra
- Halasz NA, Halloran KH, Liebow AA. Bronchial and arterial anomalies with drainage of the right lung into the inferior vena cava. Circulation 1956;14(5):826-46.
- Kramer U, Dornberger V, Fenchel M, Stauder N, Claussen CD, Miller S. Scimitar syndrome: morphological diagnosis and assessment of hemodynamic significance by magnetic resonance imaging. Eur Radiol 2003;13 Suppl 4:L147-50.
- Brown JW, Ruzmetov M, Minnich DJ, et al. Surgical management of scimitar syndrome: an alternative approach. J Thorac Cardiovasc Surg 2003;125(2):238-45.
