
La tinción tricrómica de Masson, al igual que otras tinciones tricrómicas, es una técnica de coloración especial que permite visualizar claramente las fibras de colágeno tipo I que forman fibras gruesas o haces, diseñados para dar resistencia; también evidencia, aunque en menor intensidad, las fibras reticulares. Se emplean tres colorantes para diferenciar el núcleo celular, el citoplasma y las fibras de colágeno.
Fundamento
En primer lugar, se tiñen las secciones con un tinte ácido tal como escarlata de Biebrich. Todos los elementos acidófilos del tejido tales como el citoplasma, el músculo y el colágeno se unirán a los tintes ácidos. Las secciones entonces se tratan con ácido fosfotúngstico y/o fosfomolíbdico. Ya que el citoplasma es mucho menos permeable que el colágeno, los ácidos fosfotúngsticos y fosfomolíbdicos permiten que la escarlata de Biebrich difunda del colágeno pero no del citoplasma. Los ácidos fosfotúngsticos y fosfomolíbdicos tienen numerosos grupos ácidos que probablemente actúen como medio de unión entre el colágeno y el azul de la anilina, que es el tinte del colágeno. Probablemente, el pH de la solución fosfotúngstico/fosfomolíbdico también aumente la coloración y ayude al colágeno en la difusión o el retiro de los colorantes.
Tejido control y diana
Cualquier tejido con componente conjuntivo, en especial con contenido en fibras colágenas, puede servir como control o ser un tejido diana. Cualquier fijador es válido, si bien es de elección la solución de Bouin. El grosor de corte óptimo de las muestras es de entre 4 y 6 micras.
Reactivos
- Solución de hematoxilina férrica de Weigert.
- Solución de escarlata de Biebrich – fucsina ácida:
- 90 cc de escarlata de Biebrich al 1% en agua destilada.
- 9 cc de fucsina ácida al 1% en solución acuosa.
- 1 cc de ácido acético glacial.
- Solución acuosa de ácido fosfomolíbdico (utilizar ácido fosfotúngstico en la misma proporción, si se va a teñir con verde luz):
- 5 g de ácido fosfomolíbdico.
- 200 cc de agua destilada.
- Solución de azul de anilina:
- 2,5 g de azul de anilina.
- 2 cc de ácido acético glacial.
- 98 cc de agua destilada.
- Solución de verde luz al 2% (alternativa al azul):
- 2 g de verde luz SF amarillento.
- 99 cc de agua destilada.
- 1 cc de ácido acético glacial.
- Solución diferenciadora: solución acuosa de ácido acético glacial al 1%.
Procedimiento
- Desparafinar e hidratar hasta el agua destilada de manera habitual.
- En material fijado en soluciones de formaldehído o alcohólicas se recomienda hacer un mordentaje previo con líquido de Bouin durante 1 hora a 56-60 °C o toda la noche a temperatura ambiente.
- Enfriar y lavar en agua destilada hasta que desaparezca el color amarillo.
- Teñir con hematoxilina férrica durante 10 minutos. Lavar en agua corriente durante 10 minutos.
- Lavar en agua destilada.
- Teñir con la solución de escarlata-fucsina ácida durante 2-5 minutos.
- Lavar en agua destilada.
- Tratar con la solución de ácido fosfomolíbdico-fosfotúngstico durante 10-15 minutos si se va a colorear con la solución de azul de anilina, o en la solución acuosa de ácido fosfotúngstico al 5% durante 15 minutos si se desea teñir con verde luz.
- Teñir con solución de azul de anilina 15 minutos o con solución de verde luz 5 minutos.
- Lavar en agua destilada.
- Diferenciar en la solución de ácido acético al 1% durante 3-5 minutos.
- Deshidratar, aclarar y montar.
Análisis de resultados
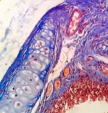
- Fibras de colágeno = Azul.
Por tanto, el tejido conjuntivo se teñirá de dicho color.
- Estructuras oxidadas + Citoplasma = Rojo.
Se teñirán de rojo la queratina, los glóbulos rojos y el tejido muscular.
- Núcleo celular = Lila, marrón.
Variantes
La técnica presenta multitud de variantes, pero las principales modificaciones hacen referencia al uso de un diferenciador después de la hematoxilina (por ejemplo, ácido pícrico), el tiempo de las soluciones, la temperatura, etc.
Véase también
- Colorante
- Tinción
Bibliografía
- García del Moral, Raimundo (1993). Interamericana Mc Graw Hill, ed. Laboratorio de anatomía patológica (1 Ed edición).