Anexo:Tumores vaginales
Los tumores vaginales son neoplasias que se encuentran en la vagina. Pueden ser benignos o malignos.[1] Una neoplasia es un crecimiento anormal de tejido que generalmente forma una masa de tejido.[2][3][4] Las neoplasias vaginales pueden ser sólidas, quísticas o de tipo mixto.[5]
Los cánceres vaginales surgen del tejido vaginal, y los sarcomas vaginales se desarrollan a partir de hueso, cartílago, grasa, músculo, vasos sanguíneos u otro tejido conjuntivo o de soporte.[6][7] Los tumores en la vagina también pueden ser metástasis (tejido maligno que se ha diseminado a la vagina desde otras partes del cuerpo).[8][7] El cáncer que se diseminó desde el colon, vejiga y estómago es mucho más común que el cáncer que se origina en la vagina.[9] Algunos tumores benignos pueden progresar hasta convertirse en tumores malignos, como los cánceres vaginales.[10][11] Algunos tumores neoplásicos de la vagina son lo suficientemente raros como para describirse solo en estudios de casos.[3]
Los signos y síntomas pueden incluir una sensación de presión, relaciones sexuales dolorosas o sangrado.[12] La mayoría de los tumores vaginales se localizan durante un examen pélvico. La ecografía, tomografía computarizada y resonancia magnética se utilizan para establecer la ubicación y la presencia o ausencia de líquido en un tumor.[13][14] La biopsia proporciona un diagnóstico más definitivo.[15]
Tumores vaginales






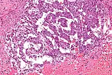
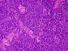
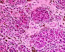
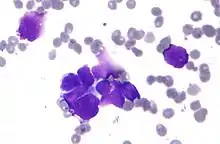
Tumor vaginal Benigno Referencias Tumor Yolk sac no [16][17][18][19][20][21][22] Tumor neuroectodérmico primitivo Periferal no [16][17][18][23] Melanoma vaginal no [16][17][18][24][25] Blue nevus sí[26] [16][17][18][25] Carcinosarcoma no [18] Sarcoma botryoides no [9][16][17][18][22][27][28] Leimiosarcoma no [18][29] Sarcoma Endometrioide estromal no [18][30] Sarcoma vaginal no diferenciado [18] Leiomioma sí [6][13][16][17][18] Genital rhabdomyoma [16][17][18][31][32][33] Deep angiomyoxoma [16][17][18] Spindle cell nodule [9][16][17][18][34] Carcinoma no diferenciado [16][17][18] Carcinoma de células pequeñas no [16][17][18] Carcinoide no [18] Carcinoma Adenoide basal [18] Carcinoma Adenosquamous no [18] Adenoma sí [35] Adenocarcinoma mucinoso [18] Papilloma Squamous sí [16][17][18] Adenocarcinoma de endometrio no [18] Clear cell adenocarcinoma no [16][17][18] Pólipo fibroepiteleal sí [16][17][18] Squamous intraepithelial neoplasia [16][17][18] Verruga genital sí [6][16][17][18] Carcinoma espinocelular no [16][17][18] Mesenchymal tumors [18] Alveolar soft part sarcoma [18] Mixed epithelial and mesenchymal Tumors [18] Malignant mixed Tumors resembling synovial sarcoma [18] Tumores mezclados benignos [18] Adenomatoides sí [18] Linfoma maligno no [18] Sarcoma granulocítico [18] Fibroepithelial polyp sí [6][17] Verrucous carcinoma no [9] Squamotransitional cell carcinoma [9]
Otros animales
Los tumores vaginales también se pueden encontrar en animales domesticados:
- Sarrya botryoides
- Carcinoma de células escamosas
- Condiloma acuminado
- Neoplasia intraepitelial escamosa
- Pólipo fibroepitelial
- Adenocarcinoma de células claras
- Papiloma escamoso
- Leiomioma
- Nevus azul
- Melanoma maligno
- Tumor neuroectodérmico primitivo
- Tumor del saco vitelino[36]
Referencias
- «NCI Dictionary of Cancer Terms - Benign». National Cancer Institute (en inglés). 2 de febrero de 2011. Consultado el 13 de marzo de 2018.
- «NCI Dictionary of Cancer Terms - Tumor». National Cancer Institute (en inglés). 2 de febrero de 2011. Consultado el 13 de marzo de 2018..
- Stedman's medical dictionary (28th edición). Philadelphia: Lippincott Williams & Wilkins. 2006. p. Neoplasm. ISBN 978-0781733908.
- «NCI Dictionary of Cancer Terms - Neoplasm». National Cancer Institute (en inglés). 2 de febrero de 2011. Consultado el 13 de marzo de 2018.
- «What Are Tumors?». pathology.jhu.edu. Consultado el 13 de marzo de 2018.
- «Benign Neoplasms of the Vagina | GLOWM». www.glowm.com (en inglés). Consultado el 1 de marzo de 2018..
- «NCI Dictionary of Cancer Terms - Sarcoma». National Cancer Institute (en inglés). 2 de febrero de 2011. Consultado el 13 de marzo de 2018..
- «NCI Dictionary of Cancer Terms - Metastasis». National Cancer Institute. 2 de febrero de 2011. Consultado el 13 de marzo de 2018.
- Dey, Pranab (6 de febrero de 2017). Essentials of Gynecologic Pathology (en inglés). JP Medical Ltd. pp. 41-48. ISBN 9789386261205.
- Taylor, Elizabeth J. (2000). Dorland's Illustrated medical dictionary. (29th edición). Philadelphia: Saunders. p. 1184. ISBN 978-0721662541.
- Cooper GM (1992). Elements of human cancer. Boston: Jones and Bartlett Publishers. p. 16. ISBN 978-0-86720-191-8.
- «Vaginal Bleeding - Gynecology and Obstetrics - Merck Manuals Professional Edition» (en inglés estadounidense). Consultado el 2 de marzo de 2018.
- Shobeiri, S. Abbas; Rostaminia, Ghazaleh; White, Dena; Quiroz, Lieschen H.; Nihira, Mikio A. (1 de agosto de 2013). «Evaluation of Vaginal Cysts and Masses by 3-Dimensional Endovaginal and Endoanal Sonography». Journal of Ultrasound in Medicine (en inglés) 32 (8): 1499-1507. ISSN 1550-9613. PMID 23887963. doi:10.7863/ultra.32.8.1499.
- Hamm, Bernd; Forstner, Rosemarie (19 de enero de 2007). MRI and CT of the Female Pelvis (en inglés). Springer Science & Business Media. ISBN 9783540682127.
- Nelson, Philippa (23 de enero de 2018). «Endometriosis presenting as a vaginal mass». BMJ Case Reports (en inglés) 2018: bcr-2017-222431. ISSN 1757-790X. PMID 29367370. doi:10.1136/bcr-2017-222431.
- Humphrey, Peter A.; Dehner, Louis P.; Pfeifer, John D. (22 de febrero de 2018). The Washington Manual of Surgical Pathology. Lippincott Williams & Wilkins. ISBN 9780781765275. Consultado el 22 de febrero de 2018 – via Google Books.
- «Tumours of the Vagina; Chapter Six». International Agency for Research on Cancer, World Health Organization. pp. 291-311.
- «Vulva and Vagina tumors: an overview». atlasgeneticsoncology.org. Consultado el 22 de febrero de 2018.
- «NCI Dictionary of Cancer Terms - Mature Teratoma». National Cancer Institute (en inglés). 2 de febrero de 2011.
- Tang QL, Jiang XF, Yuan XP, Liu Y, Zhang L, Tang XF, Zhou JJ, Li HG, Fang JP, Xue L (2014). «Prognosis of eight Chinese cases of primary vaginal yolk sac tumor with a review of the literature». Asian Pacific publicación of Cancer Prevention 15 (21): 9395-404. PMID 25422231. doi:10.7314/APJCP.2014.15.21.9395.
- Bhatt MD, Braga LH, Stein N, Terry J, Portwine C (julio de 2015). «Vaginal Yolk Sac Tumor in an Infant: A Case Report and Literature Review of the apellido 30 Years». publicación of Pediatric Hematology/Oncology 37 (5): e336-40. PMID 25851552. doi:10.1097/MPH.0000000000000325.
- Coran, Arnold G.; Caldamone, Anthony; Adzick, N. Scott; Krummel, Thomas M.; Laberge, Jean-Martin; Shamberger, Robert (25 de enero de 2012). Pediatric Surgery E-Book (en inglés). Elsevier Health Sciences. ISBN 978-0323091619.
- Baldini EH, Demetri GD, Fletcher CD, Foran J, Marcus KC, Singer S (julio de 1999). «Adults with Ewing's sarcoma/primitive neuroectodermal tumor: adverse effect of older age and primary extraosseous disease on outcome». Annals of Surgery 230 (1): 79-86. PMC 1420848. PMID 10400040. doi:10.1097/00000658-199907000-00012.
- Kalampokas E, Kalampokas T, Damaskos C (enero de 2017). «Primary Vaginal Melanoma, A Rare and Aggressive Entity. A Case Report and Review of the Literature». In Vivo 31 (1): 133-139. PMC 5354139. PMID 28064232. doi:10.21873/invivo.11036.
- «Blue naevus | DermNet New Zealand». www.dermnetnz.org (en inglés).
- but mimics other malignant tumors
- PDQ Pediatric Treatment Editorial Board (2018). «Childhood Rhabdomyosarcoma Treatment (PDQ®): Health Professional Version». PDQ Cancer Information Summaries - Childhood Rhabdomyosarcoma Treatment. Bethesda (MD): National Cancer Institute (US). PMID 26389243.
- «Ewing Sarcoma Treatment». National Cancer Institute (en inglés). 1 de enero de 1980. Consultado el 28 de febrero de 2018.
- Keller NA, Godoy H (2015). «Leiomyosarcoma of the Vagina: An Exceedingly Rare Diagnosis». Case Reports in Obstetrics and Gynecology 2015: 363895. PMC 4689886. PMID 26783476. doi:10.1155/2015/363895.
- «What Is Uterine Sarcoma?». www.cancer.org. Consultado el 28 de febrero de 2018.
- Schoolmeester JK, Xing D, Keeney GL, Sukov WR (julio de 2017). «Genital Rhabdomyoma of the Lower Female Genital Tract: A Study of 12 Cases With Molecular Cytogenetic Findings». International publicación of Gynecological Pathology 37 (4): 349-355. PMID 28700439. doi:10.1097/PGP.0000000000000428.
- Folpe, Andrew L.; Inwards, Carrie Y. (1 de enero de 2010). Bone and Soft Tissue Pathology (en inglés). Elsevier Health Sciences. ISBN 978-0443066887.
- Andrassy RJ, Wiener ES, Raney RB, Hays DM, Arndt CA, Lobe TE, Lawrence W, Anderson JR, Qualman SJ, Crist WM (mayo de 1999). «Progress in the surgical management of vaginal rhabdomyosarcoma: a 25-year review from the Intergroup Rhabdomyosarcoma Study Group». publicación of Pediatric Surgery 34 (5): 731-4; discussion 734-5. PMID 10359173. doi:10.1016/S0022-3468(99)90365-2.
- Rekhi B, Bapat P, Shetty O (diciembre de 2017). «A Rare Case of a Vaginal Solitary Fibrous Tumor, Presenting as a Cystic Mass, Showing NAB2ex4-STAT6ex2 Fusion and STAT6 Immunostaining». International publicación of Gynecological Pathology 38 (1): 21-26. PMID 29257041. doi:10.1097/PGP.0000000000000479.
- Mierau GW, Lovell MA, Wyatt-Ashmead J, Goin L (May 2005). «Benign müllerian papilloma of childhood». Ultrastructural Pathology 29 (3–4): 209-16. PMID 16036876. doi:10.1080/01913120590951211.
- Baba, Alecsandru Ioan (22 de febrero de 2018). «FEMALE GENITAL TRACT TUMORS». The Publishing House of the Romanian Academy. Consultado el 22 de febrero de 2018.