Dextrocardia
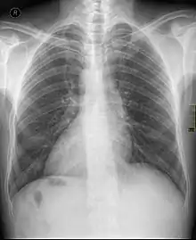
La dextrocardia es una situación en la que el corazón se encuentra en la mitad derecha del tórax debido a una causa de una alteración congénita.[1] Normalmente, el corazón se sitúa en la parte media del tórax, con su vértice o ápex inclinado hacia la izquierda; sin embargo, en esta malformación, ese orden es alterado y el corazón se ubica inclinado hacia el lado derecho del tórax. A menudo se asocia con otras anomalías del desarrollo y, en la mayoría de los casos, se diagnostica de forma incidental. Puede ocurrir por sí solo o puede ir acompañado de una inversión en la posición de otros órganos (denominado situs inversus totalis).[2]
| Dextrocardia | ||
|---|---|---|
| Especialidad | genética médica | |

Ocurre durante la cuarta semana del desarrollo embrionario, cuando el tubo cardiaco primitivo se dobla a la derecha cuando normalmente debería doblarse a la izquierda.
La dextrocardia generalmente viene acompañada de una anomalía llamada situs inversus, que consiste en que los órganos se encuentran en lado opuesto al que deberían estar. Esta situación afecta solamente a los órganos impares y que se encuentran en un lado determinado del cuerpo, por ejemplo, el hígado, el páncreas o el estómago; en el caso del intestino grueso, el ciego se encuentra en el lado opuesto. Pero también puede ir asociada con situs ambiguus. En este caso puede ser sólo uno de los órganos el que se encuentra invertido y los demás se encuentran en sus posiciones normales.
Otra causa por la que un paciente puede presentar dextrocardia es que el neurotransmisor serotonina (5HT) esté alterado durante el desarrollo embrionario, alteración que también puede causar situs inversus y defectos cardíacos. De la misma manera las mujeres que reciben antidepresivos de la clase ISRS tienden a tener un mayor riesgo de que sus hijos tengan malformaciones de este tipo.
Referencias
- Cove point Foundation. Página consultada en mayo 2011
- Nair, Raunak; Muthukuru, Sujit R. (2021). Dextrocardia. StatPearls Publishing. Consultado el 25 de septiembre de 2021.