Encefalitis
La encefalitis es un conjunto de enfermedades producidas por una inflamación del encéfalo del ser humano.[1] Son bastante frecuentes, sobre todo en determinadas regiones del mundo, y se producen generalmente por la infección de gran variedad de gérmenes como bacterias, ricketsias, espiroquetas, leptospiras, parásitos, hongos y virus. Sin embargo, con la excepción de los virus, la encefalitis suele ser un síntoma más, casi nunca el más llamativo, dentro del cuadro clínico de la enfermedad.[2] Normalmente, cuando se refiere a una encefalitis, se hace como sinónimo de encefalitis vírica.
| Encefalitis | ||
|---|---|---|
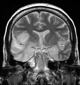
![]() Una IRM muestra una señal alta en los lóbulos temporales y la circunvolución frontal inferior derecha en un caso de encefalitis por HSV. | ||
| Especialidad | neurología | |
Entre las encefalitis víricas, se conocen más de cincuenta virus causantes de encefalitis en la especie humana. Los más importantes son los que producen encefalitis sin trastornos sistémicos. Casi siempre la encefalitis está asociada a una meningitis,[3] de manera que los dos síndromes, encefalitis y meningitis, forman un espectro continuo (meningoencefalitis) provocado por los mismos virus, aunque algunos virus pueden tener preferencia por alguna de estas localizaciones.
Los virus que producen encefalitis ocasionan un síndrome común que permite hacer un diagnóstico clínico, pero es muy difícil hacer un diagnóstico exacto en más de la mitad de los casos, excepto en los casos particulares de determinadas regiones geográficas.
La gravedad puede ser variable, con síntomas que incluyen reducción o alteración de la conciencia, dolor de cabeza, fiebre, confusión, una rigidez de cuello y vómitos.[4][5] Las complicaciones pueden incluir convulsiones, alucinaciones, problemas para hablar, problemas de memoria y problemas de audición.[4]
Algunos tipos se pueden prevenir con vacunas[4] El tratamiento puede incluir medicamentos antivirales (como el aciclovir), anticonvulsivos y corticosteroides.[4] El tratamiento suele tener lugar en el hospital.[4] Algunas personas requieren respiración artificial.[4] Una vez controlado el problema inmediato, puede ser necesaria la rehabilitación.[2] En 2015, se estimó que la encefalitis afectó a 4,3 millones de personas y provocó 150 000 muertes en todo el mundo.[6][7]
Síntomas de la encefalitis
La encefalitis puede provocar alguno de los siguientes síntomas como:
- Síndrome febril agudo.
- Afectación meníngea, con meningismo o rigidez de nuca y cefalea.
- Alteraciones de la conciencia, con letargia, que puede progresar al estupor y coma.
- Hemiparesia o signos focales motores con asimetría de reflejos y signo de Babinski positivo.
- Convulsiones localizadas o generalizadas.
- Alteraciones del lenguaje y afasia.
- Movimientos anormales y temblor parkinsoniano muy raramente.
- Signos cerebelosos y alteraciones sensoriales, auditivas o visuales.
- Diabetes insípida o secreción inadecuada de ADH en los casos de afectación de hipotálamo o hipófisis.
Todos estos síntomas son debidos a lesiones focales o difusas de la sustancia gris o sustancia blanca del sistema nervioso central.
Una de las pruebas que hay que realizar es una punción lumbar en la que se analiza el líquido cefalorraquídeo que informa de meningitis aséptica.
La evolución de la encefalitis transcurre al cabo de pocos días a algunas semanas, con una mortalidad variable dependiente del agente vírico causal, desde el 5 % al 20 %. En la quinta parte de los pacientes aparecen diversas secuelas, como deterioro mental, cambios en la personalidad y alteraciones de los movimientos.
Causas

Viral
La encefalitis vírica puede producirse como efecto directo de una infección aguda o como una de las secuelas de una infección latente. La mayoría de los casos virales de encefalitis tienen una causa desconocida; sin embargo, la causa identificable más común de encefalitis viral es la infección por herpes simple.[8] Otras causas de encefalitis vírica aguda son el virus de la rabia, el poliovirus y el virus del sarampión. [9].
Otras posibles causas virales son arboviral flavivirus (encefalitis de San Luis, virus del Nilo Occidental), bunyavirus (cepa de La Crosse), arenavirus (virus de la coriomeningitis linfocítica), reovirus (virus de la garrapata de Colorado) e infecciones por henipavirus.[10][11] El virus Powassan es una causa poco frecuente de encefalitis.[12]
Bacteriana y otras
Puede estar causada por una infección bacterianal, como la meningitis bacteriana,[13] o puede ser una complicación de una enfermedad infecciosa actual como la sífilis (encefalitis secundaria).[14]
Ciertas infestaciones parasitarias o por protozoos, como la toxoplasmosis, la malaria o la meningoencefalitis amebiana primaria, también pueden causar encefalitis en personas con compromiso del sistema inmunitario. sistema inmunitario. La enfermedad de Lyme o Bartonella henselae también pueden causar encefalitis.
Otros patógenos bacterianos, como Mycoplasma y los causantes de rickettsiosis, provocan inflamación de las meninges y, en consecuencia, encefalitis. Una causa no infecciosa incluye la encefalitis aguda diseminada que es desmielinizada.[15]
Encefalitis límbica
La encefalitis límbica se refiere a la enfermedad inflamatoria confinada al sistema límbico del cerebro. La presentación clínica suele incluir desorientación, desinhibición, pérdida de memoria, convulsiones y anomalías del comportamiento. Las imágenes de IRM revelan hiperintensidad T2 en las estructuras de los lóbulos temporales mediales y, en algunos casos, en otras estructuras límbicas. Algunos casos de encefalitis límbica son de origen autoinmune.[16]
Tipos de encefalitis
- Encefalitis por arbovirus: Son frecuentes en América y Extremo Oriente. Se conocen más de 50 tipos de arbovirus o togavirus que transmiten determinados artrópodos que producen encefalitis, fiebre hemorrágica y artralgias.
- Encefalitis por virus del herpes simple: Es la forma más frecuente de encefalitis vírica en los países europeos, aunque su incidencia es muy baja.
- Encefalitis por el virus de la rabia: Muy rara en Europa.
- Encefalitis por el virus de sarampión.
- Encefalitis por el virus de VIH.
- Encefalitis letárgica. Se piensa que la causa puede ser una bacteria o una respuesta autoinmune.
- Encefalitis Equina Oriental (EEE) Encefalitis Equina Oriental (EEE)
- Encefalitis autoinmune. Se crean anticuerpos contra el receptor NMDA. Asociado a pacientes jóvenes con alteraciones psiquiátricas.
Tratamiento
Un fármaco ideal para tratar la infección cerebral debe ser pequeño, moderadamente lipofílico a pH de 7,4, bajo nivel de unión a proteínas plasmáticas, volumen de distribución de litro por kg, no tiene fuerte afinidad hacia la unión con la glicoproteína P, u otras bombas de eflujo en la superficie de la barrera hematoencefálica. Algunos fármacos como la isoniazida, la pirazinamida, el linezolid, el metronidazol, el fluconazol y algunas fluoroquinolonas tienen una buena penetración en la barrera hematoencefálica.[17]
El tratamiento (que se basa en los cuidados de apoyo) es el siguiente:[18]
- Medicamentes antivirales o antivíricos (si el virus es la causa)
- Antibióticos, (si la causa es una bacteria)
- Esteroides se utilizan para reducir la inflamación del cerebro
- Sedantes para la inquietud
- Acetaminofén para la fiebre
- Ocupacional y fisioterapia (si el cerebro está afectado después de la infección)
La terapia de mantenimiento basada en Pirimetamina se utiliza a menudo para tratar la Encefalitis Toxoplásmica (ET), causada por Toxoplasma gondii y que puede poner en peligro la vida de las personas con sistemas inmunitarios débiles.[19] El uso de la terapia antirretroviral de gran actividad (TARGA), junto con la terapia de mantenimiento establecida a base de pirimetamina, disminuye la probabilidad de recaída en pacientes con VIH y ET de aproximadamente el 18 % al 11 %.[19] Esta es una diferencia significativa, ya que la recaída puede repercutir en la gravedad y el pronóstico de la enfermedad y dar lugar a un aumento del gasto sanitario.[19]
La eficacia de la intravenosa inmunoglobulina para el manejo de la encefalitis infantil no está clara. Las revisiones sistemáticas no han podido sacar conclusiones firmes debido a la falta de estudios aleatorios doble ciego estudios con un número suficiente de pacientes y un seguimiento suficiente.[20] Existe la posibilidad de un beneficio de la inmunoglobulina intravenosa para algunas formas de encefalitis infantil en algunos indicadores como la duración de la estancia hospitalaria, el tiempo para detener los espasmos, el tiempo para recuperar la conciencia y el tiempo para la resolución de los síntomas neuropáticos y la fiebre.[20] La inmunoglobulina intravenosa para la encefalitis japonesa no pareció tener ningún beneficio en comparación con el tratamiento con placebo.[20]
Referencias
- Real Academia Española. «encefalitis». Diccionario de la lengua española (23.ª edición).
- «Meningitis and Encephalitis Fact Sheet». National Institute of Neurological Disorders and Stroke. Archivado desde el original el 29 de octubre de 2017. Consultado el 29 de octubre de 2017.
- «encefalitis». Real Academia Nacional de Medicina de España.
- «Meningitis and Encephalitis Information Page». NINDS. Archivado desde el original el 29 de octubre de 2017. Consultado el 29 de octubre de 2017.
- Ellul M, Solomon T (March 2018). «Acute encephalitis - diagnosis and management». Clinical Medicine 18 (2): 155-159. PMC 6303463. PMID 29626021. doi:10.7861/clinmedicine.18-2-155.
- Vos T, Allen C, Arora M, Barber RM, Bhutta ZA, Brown A, Carter A, Casey DC, Charlson FJ, Chen AZ, Coggeshall M, etal (October 2016). «Global, regional, and national incidence, prevalence, and years lived with disability for 310 diseases and injuries, 1990-2015: a systematic analysis for the Global Burden of Disease Study 2015». Lancet 388 (10053): 1545-1602. PMC 5055577. PMID 27733282. doi:10.1016/S0140-6736(16)31678-6.
- Wang H, Naghavi M, Allen C, Barber RM, Bhutta ZA, Carter A, Casey DC, Charlson FJ, Chen AZ, Coates MM, Coggeshall M, etal (October 2016). «Global, regional, and national life expectancy, all-cause mortality, and cause-specific mortality for 249 causes of death, 1980-2015: a systematic analysis for the Global Burden of Disease Study 2015». Lancet 388 (10053): 1459-1544. PMC 5388903. PMID 27733281. doi:10.1016/S0140-6736(16)31012-1.
- Roos KL, Tyler KL (2015). mhmedical.com/content.aspx?bookid=1130§ionid=79734335 «Meningitis, encefalitis, absceso cerebral y empiema». archive.org/web/20171117122546/http://accessmedicine.mhmedical.com/content.aspx?bookid=1130§ionid=79734335 Principios de Medicina Interna de Harrison (19 edición). New York, NY: McGraw-Hill Education. ISBN 9780071802154. Consultado el 17 de noviembre de 2017.
- Fisher DL, Defres S, Solomon T (March 2015). «Encefalitis inducida por sarampión». QJM 108 (3): 177-182. PMID 24865261. doi:10.1093/qjmed/hcu113.
- Kennedy PG (marzo de 2004). «Encefalitis vírica: causas, diagnóstico diferencial y tratamiento». Journal of Neurology, Neurosurgery, and Psychiatry 75 (Suppl 1): i10-i15. PMC 1765650. PMID 14978145. Archivado desde el original el 2 de octubre de 2015. Consultado el 14 de diciembre de 2023.
- Broder CC, Geisbert TW, Xu K, Nikolov DB, Wang LF, Middleton D, Pallister J, Bossart KN (2012). «Estrategias de inmunización contra los henipavirus». Current Topics in Microbiology and Immunology 359: 197-223. ISBN 978-3-642-29818-9. PMC 4465348. PMID 22481140.
- «Síntomas y tratamiento | Powassan | CDC». www.cdc.gov. 4 de diciembre de 2018. Archivado desde el original el 26 de junio de 2019. Consultado el 26 de junio de 2019.
- Ashar BH, Miller RG, Sisson SD (1 de enero de 2012). Johns Hopkins Internal Medicine Board Review: Certification and Recertification. Elsevier Health Sciences. ISBN 978-1455706921. Archivado desde el original el 29 de noviembre de 2015. Consultado el 14 de diciembre de 2023.
- Hama K, Ishiguchi H, Tuji T, Miwa H, Kondo T (1 de enero de 2008). «Neurosífilis con anomalías mesiotemporales por resonancia magnética». Internal Medicine 47 (20): 1813-1817. PMID 18854635.
- Howes DS, Lazoff M, Conrad SA, Hemphill RR, Huff JS, Pritz T, Talavera F (7 de agosto de 2018). «Encephalitis: Practice Essentials, Background, Pathophysiology». En Brenner BE, ed. MedScape. Archivado desde el original el 3 de agosto de 2015.
- Larner, A. J. (2 de mayo de 2013). archive.org/web/20151030055159/https://books.google.com/books?id=hO_lWEDsJYMC&pg=PA156&dq=limbic+encephalitis+definition&hl=es&sa=X&ved=0CCIQ6AEwAWoVChMIxouQj-2RxwIVBaKACh1J3w-x#v=onepage&q=limbic%2520encephalitis%2520definition&f=false Neuropsychological Neurology: The Neurocognitive Impairments of Neurological Disorders. Cambridge University Press. ISBN 9781107607606. Archivado desde el original el 30 de octubre de 2015.
- Nau R, Sörgel F, Eiffert H (October 2010). «Penetración de fármacos a través de la barrera hematoencefálica para el tratamiento de infecciones del sistema nervioso central». Clinical Microbiology Reviews 23 (4): 858-883. PMC 2952976. PMID 20930076. doi:10.1128/CMR.00007-10.
-
- En MedlinePlus hay más información sobre Encefalitis
- Connolly MP, Goodwin E, Schey C, Zummo J (February 2017). «Tasas de recaída de la encefalitis toxoplásmica con la terapia basada en la pirimetamina: revisión sistemática y metaanálisis». Pathogens and Global Health 111 (1): 31-44. PMC 5375610. PMID 28090819. doi:10.1080/20477724.2016.1273597.
- Iro MA, Martin NG, Absoud M, Pollard AJ (October 2017). «Inmunoglobulina intravenosa para el tratamiento de la encefalitis infantil». The Cochrane Database of Systematic Reviews 10: CD011367. PMC 6485509. PMID 28967695. doi:10.1002/14651858.CD011367.pub2.
Bibliografía
- Steiner I, Budka H, Chaudhuri A, Koskiniemi M, Sainio K, Salonen O, Kennedy PG (May 2005). «Viral encephalitis: a review of diagnostic methods and guidelines for management». European Journal of Neurology 12 (5): 331-343. PMID 15804262. S2CID 8986902. doi:10.1111/j.1468-1331.2005.01126.x.
- Basavaraju SV, Kuehnert MJ, Zaki SR, Sejvar JJ (September 2014). «Encephalitis caused by pathogens transmitted through organ transplants, United States, 2002-2013». Emerging Infectious Diseases 20 (9): 1443-1451. PMC 4178385. PMID 25148201. doi:10.3201/eid2009.131332.
- National Center for Biotechnology Information. «Encephalitis». PubMed Health. National Library of Medicine. Archivado desde el original el 28 de agosto de 2021. Consultado el 5 de agosto de 2015.
Enlaces externos
- En MedlinePlus hay más información sobre Encefalitis
- Encefalitis. Síntomas, causas y tratamiento en MedSalud
