Tinción Diff-Quik
Diff-Quik es un variante comercial de la tinción de Romanowsky, usada para teñir y diferenciar rápidamente una gran variedad de muestras de patología. Es más comúnmente utilizado para teñir frotis de sangre y extensiones citopatológicas, incluyendo muestras obtenidas por punción aspiración con aguja fina (PAAF).

La técnica de Diff-Quik está basada en una modificación de la tinción de Wright-Giemsa, que fue patentada por la empresa Harleco en la década de los setenta.
Las ventajas que ofrece sobre la tinción de Wright-Giemsa son que reduce drásticamente el tiempo del proceso que con Wright-Giemsa cuesta 4 minutos, y además permite una tinción más selectiva sobre los compuestos eosinófilos o basófilos, dependiendo del tiempo que se deje la muestra en cada reactivo.[1][2][3][4]
Hay diferentes casas comerciales que fabrican kits comerciales para realizar la técnica de Diff-Quick, sin embargo el nombre de "Diff-Quick" es usado generalmente para referirse a productos similares (de la misma manera que el nombre Coca-Cola es usado para referirse a cualquier tipo de bebida de cola).[1][5]
Uso
Diff-Quik es utilizado en muestras que se han secado al aire antes de iniciar el proceso de tinción, no obstante los procesos que preservan la muestra en alcohol antes de iniciar la tinción producen un resultado con mayor detalle microscópico.[2][3][6]
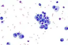
El uso principal de las tinciones tipo Romanowsky en citopatología, es para obtener un mayor detalle citoplasmático, mientras que las tinciones tipo Papanicolaou producen un mayor detalle nuclear. La tinción Diff-Quik destaca elementos citoplasmáticos como mucinas, cuerpos lipídicos y gránulos neurosecretores; compuestos extracelulares, como mucinas libres, coloides, y sustancia fundamental; y organismos microscópicos, como bacterias y hongos. Además se puede usar para estudiar la morfología de los espermatozoides.[3][5][7]
Debido a su corto tiempo de tinción, la técnica de Diff-Quik es a menudo utilizada para realizar una exploración inicial de una muestra citopatológica. Esta tinción inicial permite al citotécnico o al patólogo realizar una rápida evaluación sobre el estado y calidad de la muestra, además permite identificar posibles neoplasias o alteraciones inflamatorias, y decidir si tinciones adicionales son necesarias.[4][8][9]
Componentes
La tinción Diff-Quik está formada por 3 soluciones:[4]
- Solución fijadora
- Colorante triarilmetano
- Metanol
- Solución I (tinción eosinófila)
- Colorante Xanteno (Eosina Y)
- Disolución reguladora del pH
- Solución II (tinción basófila)
- Colorante Tiazina , cloruro de metiltionina y azur A
- Disolución reguladora del pH
Resultados
| Estructura | Color |
|---|---|
| Eritrocitos | Rojo amarillento/rosado. |
| Plaquetas | Gránulos morados/violetas. |
| Neutrófilos | Núcleo azul, citoplasma rosa, gránulos violetas. |
| Eosinófilos | Núcleo azul, citoplasma azul, gránulos rojos. |
| Basófilos | Núcleo azul oscuro/morado, gránulos violetas. |
| Monocitos | Núcleo violeta, citoplasma azul claro. |
| Bacterias y hongos | Azul oscuro. |
| Citoplasma, colágeno y músculos | Varias tonos de rosa, naranja, amarillo y azul.[10] |
| Espermatozoides | Región acrosomal azul claro, región post-acrosomal azul oscuro.[7] |
Alternativas
- Tinción Wright-Giemsa
- Tinción de Papanicolaou
Referencias
- Silverman JF, Frable WJ (1990). «The use of the diff-quik stain in the immediate interpretation of fine-needle aspiration biopsies.». Diagn Cytopathol 6 (5): 366-9. PMID 1705500. doi:10.1002/dc.2840060516.
- Susan C. Lester (10 de mayo de 2019). «Section 2: Methods - Slide preparation». Diagnostic Pathology: Intraoperative Consultation (2nd edición). Elsevier Health Sciences. p. 69. ISBN 978-0-323-57020-6.
- Demay, Richard (2012). «Chapter 26: Stains». The art and science of cytopathology. Chicago, IL: Am Soc Clinical Pathology. p. 1505. ISBN 978-0-89189-644-9. OCLC 761848930.
- Keebler, Catherine (1993). The manual of cytotechnology (7th edición). Chicago: ASCP Press. ISBN 0-89189-352-0. OCLC 27435280.
- Kumar, George L.; Kiernan, John A.; Gill, Gary W.; Badve, Sunil (2010). «Chapter 1: Introduction to special stains». Education guide: Special stains and H&E (2nd edición). Dako North America. p. 5.
- William G. Finn; LoAnn C. Peterson (31 de mayo de 2004). «Role of fine needle aspiration in lymphoma». Hematopathology in Oncology. Springer Science & Business Media. p. 184. ISBN 978-1-4020-7919-1.
- «Part I: Semen analysis». WHO laboratory manual for the examination and processing of human semen (5th edición). Geneva: World Health Organization. 2010. p. 62. ISBN 978-92-4-154778-9. OCLC 646393549.
- Meena, Nikhil; Jeffus, Susanne; Massoll, Nicole; Siegel, Eric R.; Korourian, Soheila; Chen, Chien; Bartter, Thaddeus (2015). «Rapid onsite evaluation: A comparison of cytopathologist and pulmonologist performance». Cancer Cytopathology (Wiley) 124 (4): 279-284. ISSN 1934-662X. PMID 26492064. doi:10.1002/cncy.21637.
- Roh, Michael H. (2015). «The Utilization of Cytologic Fine-Needle Aspirates of Lung Cancer for Molecular Diagnostic Testing». Journal of Pathology and Translational Medicine (The Korean Society of Pathologists and The Korean Society for Cytopathology) 49 (4): 300-309. ISSN 2383-7837. PMC 4508567. PMID 26076721. doi:10.4132/jptm.2015.06.16.
- Polysciences Inc. «Differential Quik Stain (Modified Giemsa)» (PDF). Technical Data Sheet #715. Archivado desde el original el 30 de junio de 2019. Consultado el 30 de junio de 2019.