| Adamantinoma | ||
|---|---|---|
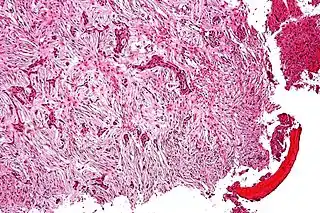
![]() Micrografía de un adamantinoma mostrando histomorfología bifásica. Tinción hematoxilina-eosina. | ||
| Especialidad |
oncología reumatología | |
Adamantinoma (del griego adamantinos, que quiere decir «muy duro») es un tumor óseo de muy rara aparición, siendo menos del 1% de los cánceres de hueso. Este incluye elementos epiteliales.[1]

Radiografía mostrando un adamantinoma de tibia
Esta enfermedad fue descrita por primera vez por Fischer en 1913.[2][3]
Cuadro clínico
Se presenta predominantemente en huesos con localización subcutánea como la tibia. Por lo general los pacientes están en su segunda o tercera década de vida, aunque puede ocurrir en un rango bastante amplio de edad.
Pronóstico
El pronóstico es muy bueno, con una supervivencia global del 85% a los 10 años, pero menor cuando no se pueden obtener buenos resultados quirúrgicos.
Referencias
- ↑ Hatori M, Watanabe M, Hosaka M, Sasano H, Narita M, Kokubun S (mayo de 2006). «A classic adamantinoma arising from osteofibrous dysplasia-like adamantinoma in the lower leg: a case report and review of the literature». Tohoku J. Exp. Med. 209 (1): 53-9. PMID 16636523. doi:10.1620/tjem.209.53.
- ↑ «Adamantinoma: Overview - eMedicine». Archivado desde el original el 25 de diciembre de 2008. Consultado el 4 de enero de 2009.
- ↑ Fischer B. Uber ein primares Adamantinom der Tibia. 12. Frankfurt: Zeitschr. f. Path.; 1913:422-441.
Este artículo ha sido escrito por Wikipedia. El texto está disponible bajo la licencia Creative Commons - Atribución - CompartirIgual. Pueden aplicarse cláusulas adicionales a los archivos multimedia.
