

El astrocitoma subependimario de células gigantes o astrocitoma gigantocelular subependimario (en inglés subependymal giant cell astrocytoma, abr. SEGA o SGCA) es un tumor cerebral con un pronóstico favorable, que surge en las dos primeras décadas de la vida y que a menudo, aunque no siempre, se asocia a la esclerosis tuberosa. Según la clasificación de la OMS de los tumores del sistema nervioso central, este tumor benigno se clasifica en el Grado I.[1]
Se trata de un tumor de crecimiento lento, que frecuentemente se origina en la pared de los ventrículos, pero cuando se localiza en la proximidad de un agujero interventricular puede obstruir el flujo del líquido cefalorraquídeo, formando hidrocefalia.[2][3]
El SEGA afecta aproximadamente al 10% de los niños con esclerosis tuberosa, y es responsable de aproximadamente el 1,4% de todos los tumores infantiles. La aparición de este tumor fuera de la enfermedad mencionada es esporádica.[2]
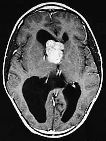
Generalmente, el SEGA se muestra como una lesión nodular bien circunscrita en relación con la masa cerebral adyacente. En la literatura son muy raros los casos de propagación (por ejemplo, a la médula espinal) y de malignización.[2] Este tumor es claramente visible en la resonancia magnética, donde presenta realce tras la aplicación del medio de contraste.
Clínica



Los astrocitomas subependimarios de células gigantes se dan sobre todo en niños y adultos jóvenes. Dado que el tumor se desarrolla preferentemente en las paredes del sistema ventricular en la proximidad del foramen de Monro, el flujo de salida del líquido cefalorraquídeo suele verse alterado a medida que el tumor crece. El tumor suele crecer muy lentamente y se muestra en las imágenes de RM y TC como una masa circunscrita con calcificaciones y signos de sangrado antiguo. En algunos casos, el SEGA es la manifestación inicial de la esclerosis tuberosa y, por lo tanto, es un criterio diagnóstico importante. Sin embargo, sólo entre el 5 y el 20% de todos los pacientes con esclerosis tuberosa desarrollan SEGA.[3]
Sintomatología
Los individuos con este tipo de tumor pueden no presentar síntomas si el flujo del líquido cefalorraquídeo (LCR) permanece libre. La obstrucción del flujo del LCR dará lugar a los síntomas asociados con el aumento de la presión del LCR: náuseas, vómitos, dolor de cabeza (a menudo posicional), letargo, visión borrosa o doble, crisis convulsivas y cambios de personalidad.[4]
Neuropatología
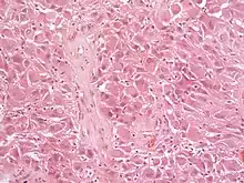
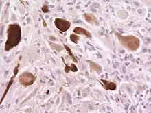
Histológicamente, son características de la lesión las células gigantes astrocíticas; sin embargo, la morfología de las células tumorales puede variar desde células poligonales con citoplasma vítreo y núcleos ganglioides hasta células fusiformes en una matriz fibrilar. Las células tumorales muestran una expresión variable de GFAP, S-100, sinaptofisina y neurofilamentos.
Tratamiento
El tratamiento del astrocitoma subependimario de células gigantes suele limitarse a la remoción quirúrgica, con una excelente supervivencia a largo plazo.[5] Distinto es el caso de la patología aguda, que requiere una intervención quirúrgica de urgencia, donde desafortunadamente existe una tasa de mortalidad en la infancia de hasta el 10%.[6]
La remoción quirúrgica del tumor está indicada en los casos en que el paciente sufre crisis convulsivas intensas.[3] Un tumor de rápido crecimiento o que provoque síntomas de hidrocefalia puede provocar pérdida de visión, necesidad de derivación ventricular y, en última instancia, la muerte. La remoción total del tumor es curativa.
La cirugía para extirpar los tumores intraventriculares también implica riesgos de complicaciones o incluso de muerte. Entre las posibles complicaciones se encuentran el deterioro transitorio de la memoria, la hemiparesia, la posibilidad de infección, la colocación de una derivación ventriculoperitoneal crónica, la apoplejía y la muerte.[3]
Pronóstico
Tras la resección quirúrgica completa, un SEGA no recidiva. No metastatizan en otras partes del cuerpo. Sin embargo, el paciente sigue corriendo el riesgo de desarrollar nuevos tumores en nódulos subependimarios en otras partes del sistema ventricular.
Referencias
Notas
- ↑ Louis, David N.; Ohgaki, Hiroko; Wiestler, Otmar D.; Cavenee, Webster K.; Burger, Peter C.; Jouvet, Anne; Scheithauer, Bernd W.; Kleihues, Paul (12 de julio de 2007). «The 2007 WHO Classification of Tumours of the Central Nervous System». Acta Neuropathologica (en inglés) 114 (2): 97-109. ISSN 0001-6322. PMID 17618441. doi:10.1007/s00401-007-0243-4. Consultado el 17 de octubre de 2020.
- 1 2 3 D. Crimmins (17 de mayo de 2008). «Subependymal Giant Cell Tumours in Tuberous Sclerosis Complex». Tuberous Sclerosis Association. Archivado desde el original el 17 de mayo de 2008. Consultado el 20 de septiembre de 2021.
- 1 2 3 4 Campen, Cynthia J.; Porter, Brenda E. (Agosto de 2011). «Subependymal Giant Cell Astrocytoma (SEGA) Treatment Update». Current Treatment Options in Neurology 13 (4): 380-5. PMC 3130084. PMID 21465222. doi:10.1007/s11940-011-0123-z.
- ↑ «Supependymal Giant Cell Tumor (SGCT) or Subependymal Giant Cell Astrocytoma (SEGA)». Tuberous Sclerosis Alliance. Junio de 2006. Archivado desde el original el 13 de marzo de 2013. Consultado el 20 de septiembre de 2021.
- ↑ V W Stieber (2001). «Low-grade gliomas». Current treatment options in oncology 2 (6). pp. 495-506. PMID 12057095. doi:10.1007/s11864-001-0071-z.
- ↑ Daniel Y. Suh et al., Pediatric supratentorial intraventricular tumors, en Neurosurg Focus 10 (6):Artículo 4, 2001.
Bibliografía
- C. Di Rocco et al., On the Treatment of Subependymal Giant Cell Astrocytomas and Associated Hydrocephalus in Tuberous Sclerosis, in Pediatric Neurosurgery Vol. 23, No. 3, 1995.
- M. Beatriz S. Lopes et al., Low-grade central nervous system tumors, in Neurosurg Focus No. 12 (2): Article 1, 2002.
- Daniel Y. Suh et al., Pediatric supratentorial intraventricular tumors, in Neurosurg Focus No. 10 (6): Article 4, 2001.
- Richard A. Prayson, Mark L. Cohen (red.) (2000). «Chapter 7. Subependymal Giant Cell Astrocytoma». Practical Differential Diagnosis in Surgical Neuropathology. Totowa, New Jersey: Humana Press. ISBN 0-89603-817-3.
- Sharma MC, Ralte AM, Gaekwad S, Santosh V, Shankar SK, Sarkar C (2004). «Subependymal giant cell astrocytoma--a clinicopathological study of 23 cases with special emphasis on histogenesis». Pathol Oncol Res 4 (10). pp. 219-24. PMID 15619643.
- Goh S, Butler W, Thiele EA (2004). «Subependymal giant cell tumors in tuberous sclerosis complex». Neurology 8 (63). pp. 1457-61. PMID 15505165.
Enlaces externos
Wikimedia Commons alberga una categoría multimedia sobre Astrocitoma subependimario de células gigantes.