| Astrogliosis | ||
|---|---|---|
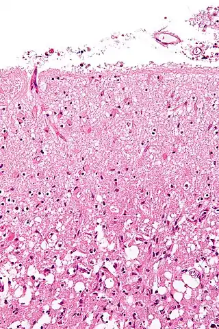
![]() Formación de astrocitos reactivos después de una lesión al sistema nervioso central | ||
|
| ||
La astrogliosis (también conocida como astrocitosis o astrocitosis reactiva) es un aumento anormal en el número de astrocitos debido a la destrucción de las neuronas próximas por un trauma en sistema nervioso central (SNC), infección, isquémia cerebral, un accidente cerebrovascular, una respuesta autoinmune y una enfermedad neurodegenerativa. En el tejido neuronal saludable, los astrocitos desempeñan un papel crítico al proporcionar energía a las neuronas, regular el flujo sanguíneo, la homeostasis del fluido extracelular así como de los iones y transmisores, y regular la función sináptica y el remodelado sináptico.[1][2] La astrogliosis cambia la expresión molecular y la morfología de los astrocitos, provocando la formación de cicatrices y, en casos graves, la inhibición de la regeneración de axones.[3][4]
Causas
La astrogliosis es un conjunto de cambios en los astrocitos que ocurren como respuesta a todas las formas de daño y enfermedad del SNC. Los cambios producidos por la astrogliosis reactiva varían con la gravedad del daño ocasionado al SNC a lo largo de una serie de alteraciones progresivas en la expresión molecular, hipertrofia celular progresiva y la proliferación y formación de cicatrices.[3]
Los daños causados a neuronas en el SNC por una infección, trauma, isquémia cerebral, un accidente cerebrovascular, una respuesta autoinmune o alguna enfermedad neurodegenerativa pueden desembocar en astrocitos reactivos.[2]
Cuando la astrogliosis es considerada patológica, es decir, una enfermedad, se le denomina astrocitosis.[5]
Funciones y efectos
Los astrocitos reactivos pueden beneficiar o dañar a las células neurales y no neurales circundantes. Pasan por una serie de cambios que puede alterar las actividades de los astrocitos a través de la pérdida o adquisición de funciones dedicadas a la protección y reparación neural, cicatrización glial y regulación de la inflamación en el SNC.
Protección y reparación neural
Los astrocitos reactivos proliferantes son cruciales para la formación de una cicatriz y funcionan evitando la propagación y persistencia de las células inflamatorias, manteniendo la reparación de la barrera hematoencefálica, disminuyendo el daño a tejido y el tamaño de la lesión y reduciendo la pérdida de neuronas y su desmielinización.[5][6]
Los astrocitos reactivos defienden al SNC contra el estrés oxidativo a través de la producción de glutatión y tienen la responsabilidad de proteger las células de la toxicidad del amonio.[3] Protegen las células y el tejido del SNC por medio de distintas maneras,[3][7][8] tales como la absorción de glutamato potencialmento excitotóxico, liberación de adenosina y degradación de péptidos beta-amiloide.[3] La reparación de una perturbación en la barrera hematoencefálica es también facilitada por los astrocitos reactivos por medio del contacto directo de sus prolongaciones (una estructura característica de los astrocitos también conocida como pies) con las paredes de los vasos sanguíneos.[7]
También se ha demostrado que reducen el edema vasogénico después de un trauma, accidente cerebrovascular o hidrocefalia obstructiva.[3]
Formación de una cicatriz
Los astrocitos reactivos proliferantes formadores de cicatriz se encuentran a lo largo de los bordes entre el tejido saludable y las regiones de tejido dañado y células inflamatorias. Esto sucede normalmente después de una respuesta inflamatoria rápida y local a una lesión traumática aguda en la médula espinal y el cerebro. En su forma más extrema, la astrogliosis reactiva puede llevar a la aparición de astrocitos recién formados y a la formación de una cicatriz en respuesta a un daño severo al tejido o inflamación.
Los detonantes moleculares que llevan a la formación de esta cicatriz incluyen al factor de crecimiento epidérmico (EGF por sus siglas en inglés), el factor de crecimiento de fibroblastos (FGF por sus siglas en inglés), endotelina 1 y ATP. Los astrocitos maduros pueden volver a entrar al ciclo celular y proliferar durante la formación de una cicatriz. Algunos astrocitos reactivos proliferantes pueden derivarse de progenitores NG2 en la parénquima local a partir de células progenitoras ependimarias después de una lesión o accidente cardiovascular. También existen progenitores multipotenciales en el tejido subependimario que expresa la proteína ácida fibrilar glial (GFAP por sus siglas en inglés) y genera células progenitoras que migran hacia los sitios dañados después de un trauma o accidente cerebrovascular.[9]
Regulación de la inflamación
Los astrocitos reactivos están relacionados con la función normal de los astrocitos. Los astrocitos están involucrados en la compleja regulación de la inflamación en el SNC la cual es dependiente del contexto celular y es regulada por eventos de señalización extracelulares e intracelulares multimodales. Tienen la capacidad de producir diferentes moléculas con potencial pro- y antiinflamatorio en respuesta a diferentes tipos de estímulo. Los astrocitos interactúan ampliamente con la microglia y juegan un papel clave en la inflamación de SNC. Los astrocitos reactivos pueden llevar a los astrocitos a realizar sus funciones de manera anormal y afectar su regulación y respuesta a la inflamación.[9][10]
En cuanto a los efectos antiinflamatorios, los astrocitos formadores de cicatrices ayudan a reducir la propagación de las células inflamatorias durante las respuestas inflamatorias iniciadas localmente a lesiones traumáticas o durante respuestas iniciadas periféricamente por parte del sistema inmune adaptativo.[3][7] En cuanto al potencial proinflamatorio, algunas moléculas en los astrocitos están asociadas con el aumento en la inflamación después de una lesión traumática.[3]
En etapas tempranas después de una lesión, los astrocitos no solo inician la inflamación, sino que también forman con el tiempo barreras contra la migración de células potenciales. Estas barreras indican áreas en donde se requiere de una fuerte inflamación y restringen la propagación de las células inflamatorias y de los agentes infecciosos hacia el tejido cercano saludable.[3][6][7] Este modelo se correlaciona con presiones evolutivas para que la astrogliosis se volviera beneficiosa. Las respuestas al daño al SNC han favorecido a los mecanismos que mantienen a las pequeñas heridas sin infectarse. La inhibición de la migración de células inflamatorias y de agentes infecciosos tiene como efecto secundario la inhibición de la regeneración de axones, debido a la redundancia entre las señales migratorias a través de los diferentes tipos celulares.[3][6]
Mecanismos biológicos
Los cambios que resultan en astrogliosis están regulados según el contexto por medio de eventos de señalización específicos que tienen el potencial de modificar tanto la naturaleza como el nivel de estos cambios. En diferentes condiciones de simulación, los astrocitos pueden producir moléculas efectoras intracelulares que alteran la expresión de moléculas involucradas en las actividades celulares, el metabolismo, la señalización intracelular y de transportadores de membrana y bombas en la membrana.[9][11] Los astrocitos reactivos responden de acuerdo a diferentes señales e impactan en la función neuronal. Los mediadores moleculares son liberados por neuronas, microglia, oligodendrocitos, endotelio, leucocitos y otros astrocitos en el tejido del SNC en respuesta a daños que varían desde perturbaciones celulares sutiles hasta fuertes daños a tejido.[3] Los efectos resultantes pueden variar desde la regulación del flujo sanguíneo hasta involucrarse en las funciones sinápticas y la plasticidad neuronal.
.tif.jpg.webp)
Moléculas de señalización
Pocas de las moléculas de señalización conocidas y sus efectos son comprendidos en un contexto de astrocitosis reactiva las cuales responden a diferentes formas de daño.
El aumento de GFAP, el cual es inducido por el FGF, el factor de crecimiento transformante beta (TGFB por sus siglas en inglés) y el factor neurotrófico ciliar (CNTF por sus siglas en inglés), es un marcador clásico de gliosis reactiva.[2][12] La regeneración de axones no ocurre en áreas con un incremento de GFAP y vimentina. Paradójicamente, un incremento en la producción de GFAP también es necesaria para la disminución del tamaño de una lesión y la reducción del riesgo encefalomielitis autoinmune y de accidente cerebrovascular.[12]
Transportadores y canal
La presencia de transportadores de glutamato en astrocitos está asociada con un número reducido de ataques epilépticos y diminución de neurodegeneración mientras que la proteína de unión gap en astrocitos (Cx43) contribuye al efecto neuroprotectivo del precondicionamiento a hipoxia. Además, la acuaporina AQP4, un canal de membrana, desempeña un papel crucial en un edema citotóxico y en los resultados graves de un accidente cerebrovascular.[3]
Patologías neurológicas
La pérdida o perturbación en las funciones que normalmente desempeñan los astrocitos o los astrocitos reactivos durante el proceso de astrogliosis reactiva tiene el potencial de subyacer en condiciones como disfunción neural, trauma, accidente cerebrovascular, esclerosis múltiple y otros. Algunos ejemplos son los siguientes:[3]
- La destrucción, por una respuesta autoinmune, de las prolongaciones de los astrocitos que están en contacto y envuelven a los vasos sanguíneos está asociada con la inflamación en el SNC y una forma de esclerosis múltiple.
- La destrucción de astrocitos por una respuesta autoinmune en la encefalitis de Rasmussen causa convulsiones.
- En la enfermedad de Alexander, una mutación dominante que le da una función extra en el gen que codifica para GFAP está asociada con macroencefalopatías, convulsiones, perturbaciones psicomotoras y muerte prematura.
- En una forma familiar de esclerosis lateral amiotrófica (ALS), una mutación de ganancia de función dominante en el gen que codifica para la superóxido dismutasa (SOD) lleva a la producción por parte de astrocitos reactivos de moléculas que son tóxicas para las neuronas motoras.
Los astrocitos reactivos pueden también ser estimulados por cascadas de señalización específicas que resultan en efectos perjudiciales como los siguientes:[3][13]
- Inflamación exacerbada por medio de la producción de citocinas.
- Producción y liberación de especies reactivas de oxígeno a niveles neurotóxicos.
- Liberación de glutamato potencialmente excitotóxico.
- Contribución potencial a la generación de convulsiones.
- Funciones comprometidas de la barrera hematoencefálica como resultado de la producción del factor de crecimiento endotelial vascular.
- El edema citotóxico durante un trauma y un accidente cerebrovascular a través la hiperactividad de AQP4.
- Potencial para activación crónica de citocina de astrocitos que contribuye al dolor crónico.
Los astrocitos reactivos tienen el potencial de promover la toxicidad neural por medio de la generación de moléculas citotóxicas como radicales del óxido nítrico y otras especies reactivas de oxígeno,[6] las cuales pueden dañar a las neuronas cercanas. Los astrocitos reactivos pueden también promover la degeneración secundaria después de una lesión en el SNC.[6]
Nuevas técnicas terapéuticas
Debido a los efectos destructivos de la astrogliosis, los cuales incluyen las alteraciones en los niveles de expresión de ciertas moléculas, liberación de factores inflamatorios, proliferación de astrocitos y disfunción neural, los investigadores actualmente buscan nuevas maneras de tratar la astrogliosis y las enfermedades neurodegenerativas. Varios estudios han descrito el papel de los astrocitos en las enfermedades como la Enfermedad de Alzheimer, la ALS, la enfermedad de Parkinson y de Huntington.[14] La inflamación causada por la astrogliosis reactiva agrava muchas de estas enfermedades neurológicas.[15] Actualmente se investigan posibles beneficios de inhibir la inflamación causada por la astrogliosis reactiva para reducir sus efectos neurotóxicos.
La neurotrofina está siendo estudiada como posible medicamento para la protección neural puesto que se ha demostrado que restauran la función neural. Por ejemplo, algunos estudios han utilizado factores de crecimiento nervioso para recuperar la función colinérgica en pacientes con Alzheimer.[14]
Función del BB14 contra la gliosis
Un compuesto candidato es el BB14, el cual es un péptido parecido a factor de crecimiento nervioso que actúa como agonista del TrkA.[14] El BB14 ha demostrado reducir la astrogliosis reactiva que se presenta después de un daño a los nervios periféricos en ratas actuando en la diferenciación celular de DRG y PC12.[14] Aunque aún se requiere de más investigación al respecto, BB14 tiene el potencial de tratar una variedad de enfermedades neurológicas. Una mayor investigación de las neurotrofinas podría llevar al desarrollo de una neurotrofina altamente selectiva, potente y pequeña que tenga como objetivo la astrogliosis reactiva para aliviar algunos de los síntomas de las enfermedades neurodegenerativas.
Función regulatoria del TGFB
El TGFB es una molécula regulatoria involucrada en la producción de proteoglicano. Esta producción se incrementa en la presencia del factor de crecimiento básico de fibroblastos (bFGF) o la interleucina 1. Un anticuerpo contra TGFβ podría disminuir la producción de GFAP después de una lesión en el SNC promoviendo la regeneración de los axones.[2]
Tratamiento con bromuro de etidio
La inyección del bromuro de etidio mata a todas las células gliales del SNC (oligodendrocitos y astrocitos), pero deja a los axones, vasos sanguíneos y macrófagos intactos.[2][4] Esto proporciona un ambiente propicio para la regeneración axonal por 4 días. Después de 4 días, las células gliales vuelven a invadir el área de inyección y la regeneración axonal vuelve a inhibirse.[2] Este método ha demostrado reducir la cicatrización glial que ocurre después de un trauma en el SNC.[4]
Actividad de la metaloproteinasa
Las células precursoras de oligodendrocitos y las células C6 de glioma producen metaloproteinasa, la cual ha demostrado inactivar un tipo de proteoglicano que es secretado por las células de Schwann. Como consecuencia, la metaloproteinasa en el ambiente alrededor de los axones puede facilitar la regeneración axonal por medio de la degradación de moléculas inhibitorias debido al incremento en la actividad proteolítica.[2]
Referencias
- ↑ Gordon, Grant R. J.; Mulligan, Sean J.; MacVicar, Brian A. (2007). «Astrocyte control of the cerebrovasculature». Glia 55 (12): 1214-21. PMID 17659528. doi:10.1002/glia.20543.
- 1 2 3 4 5 6 7 Fawcett, James W; Asher, Richard.A (1999). «The glial scar and central nervous system repair». Brain Research Bulletin 49 (6): 377-91. PMID 10483914. doi:10.1016/S0361-9230(99)00072-6.
- 1 2 3 4 5 6 7 8 9 10 11 12 13 14 Sofroniew, Michael V. (2009). «Molecular dissection of reactive astrogliosis and glial scar formation». Trends in Neurosciences 32 (12): 638-47. PMC 2787735. PMID 19782411. doi:10.1016/j.tins.2009.08.002.
- 1 2 3 McGraw, J.; Hiebert, G.W.; Steeves, J.D. (2001). «Modulating astrogliosis after neurotrauma». Journal of Neuroscience Research 63 (2): 109-15. PMID 11169620. doi:10.1002/1097-4547(20010115)63:2<109::AID-JNR1002>3.0.CO;2-J.
- 1 2 Barres, B (2008). «The Mystery and Magic of Glia: A Perspective on Their Roles in Health and Disease». Neuron 60 (3): 430-40. PMID 18995817. doi:10.1016/j.neuron.2008.10.013.
- 1 2 3 4 5 Sofroniew, M. V. (2005). «Reactive Astrocytes in Neural Repair and Protection». The Neuroscientist 11 (5): 400-7. PMID 16151042. doi:10.1177/1073858405278321.
- 1 2 3 4 Bush, T; Puvanachandra, N; Horner, C; Polito, A; Ostenfeld, T; Svendsen, C; Mucke, L; Johnson, M et al. (1999). «Leukocyte Infiltration, Neuronal Degeneration, and Neurite Outgrowth after Ablation of Scar-Forming, Reactive Astrocytes in Adult Transgenic Mice». Neuron 23 (2): 297-308. PMID 10399936. doi:10.1016/S0896-6273(00)80781-3.
- ↑ Zador, Zsolt; Stiver, Shirley; Wang, Vincent; Manley, Geoffrey T. (2009). «Role of Aquaporin-4 in Cerebral Edema and Stroke». En Beitz, Eric, ed. Aquaporins. Handbook of Experimental Pharmacology 190. pp. 159-70. ISBN 978-3-540-79884-2. doi:10.1007/978-3-540-79885-9_7.
- 1 2 3 Eddleston, M.; Mucke, L. (1993). «Molecular profile of reactive astrocytes—Implications for their role in neurologic disease». Neuroscience 54 (1): 15-36. PMID 8515840. doi:10.1016/0306-4522(93)90380-X.
- ↑ Farina, Cinthia; Aloisi, Francesca; Meinl, Edgar (2007). «Astrocytes are active players in cerebral innate immunity». Trends in Immunology 28 (3): 138-45. PMID 17276138. doi:10.1016/j.it.2007.01.005.
- ↑ John, Gareth R.; Lee, Sunhee C.; Song, Xianyuan; Rivieccio, Mark; Brosnan, Celia F. (2005). «IL-1-regulated responses in astrocytes: Relevance to injury and recovery». Glia 49 (2): 161-76. PMID 15472994. doi:10.1002/glia.20109.
- 1 2 Pekny, Milos; Nilsson, Michael (2005). «Astrocyte activation and reactive gliosis». Glia 50 (4): 427-34. PMID 15846805. doi:10.1002/glia.20207.
- ↑ Milligan, Erin D.; Watkins, Linda R. (2009). «Pathological and protective roles of glia in chronic pain». Nature Reviews Neuroscience 10 (1): 23-36. PMC 2752436. PMID 19096368. doi:10.1038/nrn2533.
- 1 2 3 4 Colangelo, Anna Maria; Cirillo, Giovanni; Lavitrano, Maria Luisa; Alberghina, Lilia; Papa, Michele (2012). «Targeting reactive astrogliosis by novel biotechnological strategies». Biotechnology Advances 30 (1): 261-71. PMID 21763415. doi:10.1016/j.biotechadv.2011.06.016.
- ↑ Mrak, Robert E.; Griffin, W. Sue T. (2005). «Glia and their cytokines in progression of neurodegeneration». Neurobiology of Aging 26 (3): 349-54. PMID 15639313. doi:10.1016/j.neurobiolaging.2004.05.010.
