| Babesia canis | ||
|---|---|---|
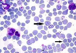
![]() B. canis en el interior de eritrocitos | ||
| Taxonomía | ||
| Reino: | Protista | |
| (sin rango) | Alveolata | |
| Filo: | Miozoa | |
| Infrafilo: | Apicomplexa | |
| Clase: | Aconoidasida | |
| Orden: | Piroplasmida | |
| Familia: | Babesiidae | |
| Género: | Babesia | |
| Especie: |
Babesia canis (Piana & Galli-Valerio, 1895) | |

Babesia canis es un parásito que se desarrolla dentro de los eritrocitos del perro. La forma infecciosa, el esporozoito se transmite por la saliva de las garrapatas del (género Ixodes y Rhipicephalus). El esporozoito penetra en los eritrocitos por invaginación de la membrana del huésped y sufre una o dos divisiones asexual para producir los merozoitos. Estos son fácilmente identificables con un microscopio óptico, con o sin coloración, bajo la forma de inclusiones piriformes (en forma de pera).[1]
Babesia canis es responsable de la babesiosis, que se manifiesta como una enfermedad hemolítica febril y en ocasiones fatal. Un signo clínico a menudo evocador, pero relativamente tardío, es la presencia de una hemoglobinuria masiva.
Existe un tratamiento específico eficaz cuando se administra precozmente: el imidocarb.
La prevención de la enfermedad pasa por la lucha contra las garrapatas (control de plagas externas) y una vacuna específica, cuya eficacia, aunque imperfecta, es motivo de controversia.
Notas
- ↑ Babesia canis, p. 13, en Google Libros
Enlaces externos
- Esta obra contiene una traducción derivada de «Babesia canis» de Wikipedia en francés, publicada por sus editores bajo la Licencia de documentación libre de GNU y la Licencia Creative Commons Atribución-CompartirIgual 4.0 Internacional.
