

Braquimetatarsia (del griego brachys, corto, y metatarsia, relativo al metatarso) o metatarso hipoplásico es una condición médica en la cual existe uno o más metatarsos anormalmente cortos.[1] El tipo más común de braquimetatarsia es la que afecta al primer metatarsiano. Esta es conocida como Pie de Morton
Epidemiología
La braquimetatarsia es 25 veces más frecuente en mujeres que en hombres.[1]
El tipo de braquimetatarsia más común es aquella que afecta al primer metatarsiano (dedo gordo), afectando aproximadamente al 10-25 % de la población global.[2][3]
.jpg.webp)
Causas
Esta afección puede suceder por causas congénitas, traumáticas, iatrogénicas y asociada a síndromes[4] como el síndrome de Aarskog-Scott y el síndrome de Apert.[1]
Cuadro clínico
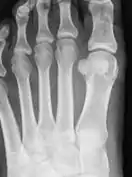
Esta enfermedad puede deberse a un defecto congénito o puede ser adquirida.[1] Generalmente afecta al cuarto metatarso y está presente en ambos pies (braquimetatarsia bilateral). En caso de que el defecto esté presente en más de un dedo se le denomina braquimetapodia.[5] En caso de que el metatarso afectado sea el primero, esta malformación se conoce como síndrome de Morton. Frecuentemente, genera un inconveniente desde el punto de vista estético e incluso causa otros problemas como metatarsalgia, callosidades o dificultad para calzarse. Existen varios procedimientos médicos para tratar esta condición.[1]
Referencias
- 1 2 3 4 5 Schimizzi A, Brage M (setiembre de 2004). «Brachymetatarsia». Foot Ankle Clin 9 (3): 555-70, ix. PMID 15324790. doi:10.1016/j.fcl.2004.05.002.
- ↑ «What is Morton's Toe». News-Medical.net (en inglés). 24 de marzo de 2016. Consultado el 28 de febrero de 2022.
- ↑ Peña, Marcos Méndez de la (2 de septiembre de 2016). «¿Tienes este dedo del pie más largo? ¡Pues ten cuidado!». Diario AS. Consultado el 28 de febrero de 2022.
- ↑ Ortopedia al día. Braquimetatarsia
- ↑ remedy's health.com communities. Brachymetatarsia