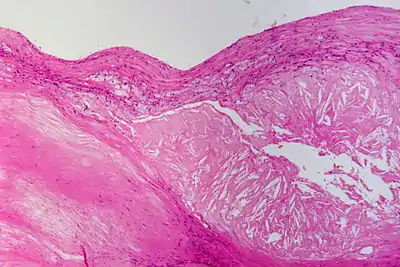
| Placa de ateroma |
|---|
Lumen del vaso
Cápsula fibrosa
Núcleo lipídico
|
| Estructura de una placa de ateroma |
La cápsula fibrosa es una capa de tejido conectivo fibroso que se encuentra en las placas ateroescleróticas, la cual es más gruesa y menos celular que la túnica intima normal. La cápsula fibrosa contiene macrófagos y células de músculo liso.[1] La cápsula fibrosa de un ateroma está compuesta de paquetes de células musculares, macrófagos, células espumosas, linfocitos, colágeno y elastina.
La cápsula fibrosa es propenso a romperse y ulcerarse, pudiendo dar lugar a trombosis. En lesiones avanzadas pueden surgir complicaciones adicionales como la calcificación de la cápsula fibrosa.[2]
Referencias
- ↑ Hansson, Göran K.; Libby, Peter (Julio de 2006). «The immune response in atherosclerosis: a double-edged sword». Nature Reviews Immunology 6 (7): 508-519. PMID 16778830. doi:10.1038/nri1882.
- ↑ Swirski, F. K.; Nahrendorf, M. (10 de enero de 2013). «Leukocyte Behavior in Atherosclerosis, Myocardial Infarction, and Heart Failure». Science 339 (6116): 161-166. PMC 3891792. PMID 23307733. doi:10.1126/science.1230719.
Este artículo ha sido escrito por Wikipedia. El texto está disponible bajo la licencia Creative Commons - Atribución - CompartirIgual. Pueden aplicarse cláusulas adicionales a los archivos multimedia.
