Las células madre mesenquimatosas también conocidas como células madre estromales o MSC (del inglés Mesenchymal Stem Cells o Mesenchymal Stromal Cells), son células multipotenciales primitivas, con morfología fibroblastoide, originadas a partir de la capa germinal mesodermal, con la capacidad de diferenciarse en diversos tipos de células,[1] incluyendo osteocitos, osteoblasto[2] (células óseas), condrocitos (células del cartílago), adipocitos (células grasas),hemocitoblastos, mastocitos,fibroblastos.

Definición
A continuación se exponen las diferencias entre los términos de células madre mesenquimatosas y células mesenquimatosas para que estos no sean utilizados indistintamente:
- El tejido mesenquimatoso o mesénquima es el tejido conectivo embrionario que procede del mesodermo y tiene una gran variedad de tipos celulares. A partir de este tejido, por diferenciación celular y regulación diferencial, se originan patrones de desarrollo diferentes que provocan la aparición de tejidos más especializados.
- Desde un punto de vista estricto, las células que se encuentran en el mesénquima son las denominadas células mesenquimatosas, pero este término no es lo suficientemente descriptivo, ya que se utiliza sin ningún rigor para también hacer referencia a las células madre mesenquimatosas (MSCs), que son un tipo de células multipotenciales a partir de las cuales pueden originarse los diferentes tipos de tejidos conectivos.
- Así, mientras que las células del mesénquima no se diferencian en células hematopoyéticas, las MSCs sí que pueden hacerlo. Esto implica que las MSCs son células mesenquimatosas, pero no todas las células mesenquimatosas son MSCs.
Historia
En 1924, el científico ruso Alexander A. Maximow utilizó los extensos hallazgos histológicos para identificar un tipo singular de célula precursora en el interior de la mesénquima que se diferencia en distintos tipos de células sanguíneas.[3]
Los científicos Ernest A. McCulloch y James E.Till fueron los primeros en demostrar la naturaleza clonal de las células de la médula en la década de 1960.[4][5] Posteriormente, en los años 70, Friedenstein y sus compañeros llevaron a cabo un experimento para examinar el potencial de clonación de las células de la médula.[6][7] En este estudio, las células del estroma fueron definidas como células formadoras de la unidad de fibroblastos (CFU-f).
Posteriores experimentos dieron a conocer la plasticidad de las células medulares y cómo su desarrollo podría estar condicionado a factores ambientales. El cultivo de células madre mesenquimatosas en presencia de estímulos osteogénicos como el ácido ascórbico, el fosfato inorgánico y la dexametasona podría determinar su desarrollo a osteoblastos. En cambio, el factor de crecimiento transformante beta 1 (TGF-beta 1) las induciría a convertirse en condrocitos.
Morfología
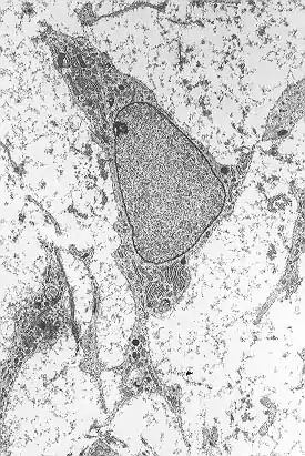
Las células madre de la mesénquima se caracterizan morfológicamente por ser células pequeñas, largas y estrechas con pocos procesos celulares. En el interior se encuentra un núcleo grande y redondo con un nucléolo prominente, rodeado de finas partículas de cromatina que delimitan y diferencian el núcleo claramente. El cuerpo celular contiene además compartimentos celulares como el aparato de Golgi, retículo endoplasmático rugoso, mitocondrias y polirribosomas. Estas células se encuentran bastante dispersas y la matriz extracelular adyacente está formada por algunas fibrillas reticulares, careciendo, sin embargo, de otro tipo de fibrillas de colágeno.[8][9]
Caracterización
Detección
No existe ningún método para detectar a una célula madre mesenquimatosa aislada. Sin embargo existen antígenos de superficie que pueden ser utilizados para aislar una población de células con capacidad de diferenciación y proliferación similar al de las células madre mesenquimatosas. Hay que tener en cuenta que, como población en sí, las células madre mesenquimatosas no suelen expresar todos los marcadores propuestos y todavía no se sabe con seguridad cuales deben expresarse necesariamente para poder clasificar a las células de esa población como células madre mesenquimatosas. Se ha sugerido que las propiedades terapéuticas atribuidas a este tipo de células se deben a la interacción intercelular y que, por tanto, no existe ninguna célula que posea todas las características. Por lo anteriormente mencionado, “The Mesenchymal and Tissue Stem Cells Committe of the Internaltional Society for Cellular Therapy” (ISCT) propuso las siguientes normas para definir las MSC:
• Las MSC deben adherirse al plástico cuando se mantienen en condiciones normales de cultivo.
• Más del 95% de la población de MSC debe expresar los antígenos específicos de superficie CD105, CD73 y CD90, adicionalmente, estas células no deben expresar (menos del 2% positivas) CD45, CD34, CD14 o CD11b, CD79a o CD19 y HLA de clase II.
• Las células deben ser capaces de diferenciarse a osteoblastos, adipocitos y condroblastos bajo condiciones estándares de diferenciación in vitro.19
Características
Las MSC son un blanco prometedor como terapéutico biológico para un amplio rango de necesidades médicas no resueltas. Las razones para esto son muchas e incluyen: fácil aislamiento y expansión en cultivo, multipotencia, efectos paracrinos, propiedades inmunomoduladoras, conducta migratoria y consideraciones éticas.20
Multipotencia
Las células madre mesenquimatosas del tejido embrionario son las células precursoras del tejido conjuntivo en general: la capacidad de diferenciación y especialización de estas células pluripotenciales da lugar a los diferentes tipos de tejidos conectivos especializados (tejido adiposo, tejido cartilaginoso, tejido óseo, tejido hematopoyético y tejido muscular); las que no se especializan forman los tejidos conectivos laxo (tejido mucoso, tejido reticular y el propio tejido mesenquimtoso) y denso (regular e irregular).
Las células madre mesenquimatosas tienen además la capacidad de transformarse en un tejido diferente del que formaban parte y adaptarse a las nuevas condiciones del medio. Estos procesos de regeneración y proliferación son inducidos tras la formación de desmosomas y la secreción de factores de crecimiento y citoquinas.
Las células pertenecientes a tejidos ya especializados también pueden ser diferenciadas in vitro mediante técnicas de activación y supresión de genes, dando lugar a células funcionales distintas a las de origen. Esto implica la producción guiada de osteoblastos, adipocitos, condrocitos así como miocitos y células similares a neuronas. El nivel de diferenciación de estas células cultivadas varía entre individuos y depende de si ésta es inducida mecánica- o químicamente.[10] La capacidad de diferenciación y proliferación decrece a medida que aumenta la edad del donante, así como el tiempo en que permanecen las células en cultivo.
Efectos paracrinos
Cada vez más evidencias indican que las señales paracrinas de las MSC son el mecanismo predominante responsable para el potenciamiento de la reparación de las heridas. Los medios condicionados de las MSC presentan un efecto similar en reparación, que la utilización de las mismas células.21 22 Es importante destacar que, estos resultados no son específicos para medio condicionado colectado a partir de MSC derivadas de médula ósea, también ha sido observado usando medio condicionado de MSC aisladas de tejido adiposo.23 Esto cambia un paradigma centrado en la diferenciación a una visión en la cual las MSC pueden ser terapéuticas incluso si estas no son implantadas o se diferencian dentro de las células de un tejido específico. Los efectos paracrinos de las MSC pueden dividirse en tróficos, inmunomoduladores, anti-cicatrizantes, y quimioatrayentes. Los efectos tróficos pueden ser subdivididos en anti-apoptóticos, de apoyo (estimulación de la mitosis, proliferación y diferenciación de células madre precursoras intrínsecas de órganos) y angiogénicos. El número de moléculas que median la acción paracrina de las MSC aumenta cada día.24
Propiedades inmunomoduladoras
Numerosos estudios han demostrado que las células madre mesenquimatosa evitan el reconocimiento de antígenos interfiriendo en la función de las células dendríticas y de los linfocitos T. Tienen por tanto un efecto inmunosupresor local debido a su capacidad de secretar citoquinas.[11] Este efecto se ve potenciado cuando las células son expuestas a un medio inflamatorio caracterizado por la presencia de niveles elevados de interferón gamma.[12] Otros estudios contradicen algunos de estos descubrimientos, reflejando la naturaleza heterogénea de las células madre mesenquimatosas, así como las diferencias que pueden surgir de la aplicación de diferentes métodos de estudio en desarrollo.[13]
Conducta migratoria
EL uso de MSC para aplicaciones terapéuticas ha sido particularmente aprobado por su capacidad inherente de llegar a los sitios de inflamación causados por lesión en los tejidos después de que son inyectadas vía intravenosa. Chapel et al, demostró en un modelo de insuficiencia de múltiples órganos que las MSC marcadas con la proteína verde fluorescente se alojan en numeroso tejidos, con localización en relación con la gravedad y a la geometría de la lesión. Este proceso es conocido como homing (o anidamiento, en español) y es el proceso esencial por medio del cual las células migran y se implan en el tejido en el que tendrán efectos funcionales y de protección. Durante la inflamación, el reclutamiento de células inflamatorias requiere una secuencia coordinada de adhesión de múltiples pasos y eventos de señalización, laminación mediada por selectinas, activación celular por citoquinas y quimiocinas, activación de integrinas, adhesión firme al endotelio mediada por integrinas, migración transendotelial, y finalmente la migración/invasión en la matriz extra celular involucrando interacciones dependientes de integrinas y proteasas que degradan la matriz. Es bien sabido que la dirección migratoria sigue un gradiente de densidad de quimioquinas. El aumento de la concentración de quimiocinas inflamatorias en el lugar de la inflamación es un mediador clave del anidamiento de las MSC en el sitio de la lesión. Las quimiocinas son liberados después de los daños y las MSC expresan varios receptores de quimiocinas. La activación de quimiocinas es también un paso importante en el tráfico de MSC en el sitio de la lesión.18 25 26
Sitios de obtención
En estudios recientes se ha señalado que las MSC pueden ser aisladas de muchos tejidos, además de la médula ósea, incluyendo tejido adiposo, hígado, bazo, testículos, sangre menstrual, fluido amniótico, páncreas, periostio, membrana sinovial, líquido sinovial,[14] músculo esquelético, dermis, pericitos, hueso trabecular, cordón umbilical humano, pulmón, pulpa dental, e incluso de sangre periférica, sugiriendo que las MSC son ampliamente distribuidas in vivo.27 28 En los últimos años, el interés ha aumentado por las células madre mesenquimatosas aisladas de tejido adiposo (AT-MSC) dada su plasticidad de desarrollo y su potencial terapéutico31, además de que su obtención es mucho menos invasiva que las realizada a partir de la médula ósea y se obtienen en mayor abundancia.29
Cultivos
La mayoría de técnicas de cultivo modernas todavía utilizan el método de CFU-f, donde las células mononucleares de la médula ósea no purificadas o purificadas con ficol son puestas directamente en placas o frascos. Las células mesenquimatosas, a diferencia de los eritrocitos y los progenitores hematopoyéticos, se pueden adherir al tejido plástico en un período que oscila entre las 24 y las 48 horas. No obstante, ha sido identificada al menos una población de células mesenquimatosas no adherentes y se ha observado que éstas no se habían obtenido con la técnica mencionada anteriormente.[15]
Existe otro método de obtención, la citometría de flujo, que permite el “sorting” o selección de las células de la médula ósea mediante marcadores de superficie específicos, como sucede por ejemplo en el caso de las células STRO-1.[16] Las células STRO-1+ generalmente son más homogéneas, y tienen tasas más altas de adherencia y de proliferación, pero las diferencias exactas entre STRO-1+ y las células mesenquimatosas aún no están claras.[17]
Uso Clínico
Todas las características anteriormente nombradas, convierten a las MSC en un potencial terapéutico para la terapia celular, la ingeniería de tejidos y la medicina regenerativa para un diverso rango de necesidades médicas, tales como: el Parkinson y el Alzhéimer, lesiones de médula espinal, quemaduras, enfermedades cardiacas y osteoartritis entre otras condiciones.30
Las células madre mesenquimatosas pueden ser activadas y movilizadas si es necesario, aunque la eficiencia es muy baja. Por ejemplo, afecciones musculares son de lenta recuperación. En cambio, si hubiera un método para activar las células madre mesenquimatosas, entonces esos daños se curarían más rápidamente.
La inyección directa o el emplazamiento de las células en el tejido donde son requeridas para realizar su función de reparación es el método de tratamiento preferible, ya que el reparto vascular queda afectado por un efecto de acumulación y retención en los pulmones de las células inyectadas por vía intravenosa (“pulmonary first pass effect”.[18] Han sido publicados algunos casos clínicos en aplicaciones ortopédicas, aunque el número de pacientes tratados es pequeño y esos métodos todavía carecen de estudios rigurosos que demuestren su efectividad.[19]
Sin embargo, la terapia con células estromales mesenquimales puede estar asociada con eventos adversos y efectos secundarios. Algunos de ellos pueden aparecer por razón de naturaleza de este tipo de células, y otros pueden estar relacionados con las condiciones de cultivo celular.[20]
Véase también
Referencias
- ↑ Anna M. Wobus (27 de marzo de 2008). Stem Cells. Springer. pp. 248-. ISBN 9783540778547. Consultado el 16 de abril de 2010.
- ↑ Gutiérrez Gómez, Jaime (Jul.-Sep. 2008). «El proceso de remodelación ósea». Volumen 4, Número 3 medigraphic. Consultado el https://www.medigraphic.com/pdfs/orthotips/ot-2008/ot083d.pdf.
- ↑ Sell, Stewart (2003), Stem cell handbook, Humana Press, p. 143
- ↑ Becker AJ, McCulloch EA, Till JE (1963). «Cytological demonstration of the clonal nature of spleen colonies derived from transplanted mouse marrow cells». Nature 197: 452-4. PMID 13970094. doi:10.1038/197452a0.
- ↑ Siminovitch L, McCulloch EA, Till JE (1963). «The distribution of colony-forming cells among spleen colonies». Journal of Cellular and Comparative Physiology 62: 327-36. PMID 14086156. doi:10.1002/jcp.1030620313.
- ↑ Friedenstein AJ, Deriglasova UF, Kulagina NN, Panasuk AF, Rudakowa SF, Luria EA, Ruadkow IA (1974). «Precursors for fibroblasts in different populations of hematopoietic cells as detected by the in vitro colony assay method». Exp Hematol 2 (2): 83-92. PMID 4455512.
- ↑ Friedenstein AJ, Gorskaja JF, Kulagina NN (1976). «Fibroblast precursors in normal and irradiated mouse hematopoietic organs». Exp Hematol 4 (5): 267-74. PMID 976387.
- ↑ Netter, Frank H. (1987), Musculoskeletal system: anatomy, physiology, and metabolic disorders. Summit, New Jersey: Ciba-Geigy Corporation ISBN 0-914168-88-6, p.134
- ↑ Brighton, Carl T. and Robert M. Hunt (1991), "Early histologic and ultrastructural changes in medullary fracture callus", Journal of Bone and Joint Surgery, 73-A (6): 832-847
- ↑ Engler AJ, Sen S, Sweeny HL, Discher DE (2006). «Matrix Elasticity Directs Stem Cell Lineage Specification». Cell 126 (4): 677-689. PMID 16923388. doi:10.1016/j.cell.2006.06.044.
- ↑ Ryan JM, Barry FP, Murphy JM, Mahon BP (2005). «Mesenchymal stem cells avoid allogeneic rejection». J Inflamm (Lond) 2: 8. PMC 1215510. PMID 16045800. doi:10.1186/1476-9255-2-8.
- ↑ Ryan JM, Barry F, Murphy JM, Mahon BP (2007). «Interferon-gamma does not break, but promotes the immunosuppressive capacity of adult human mesenchymal stem cells». Clin. Exp. Immunol. 149 (2): 353-63. PMC 1941956. PMID 17521318. doi:10.1111/j.1365-2249.2007.03422.x.
- ↑ Concise review: mesenchymal stem/multipotent stromal cells: the state of transdifferentiation and modes of tissue repair--current views. Stem Cells. 2007 Nov;25(11):2896-902. Epub 2007 Sep 27. Review.
- ↑ Harvanová D, Tóthová T, Sarišský M, Amrichová J, Rosocha J. (2011). «Isolation and characterization of synovial mesenchymal stem cells». Folia Biológica (Praha) 57(3):119-24.
- ↑ Wan C, He Q, McCaigue M, Marsh D, Li G (2006). «Nonadherent cell population of human marrow culture is a complementary source of mesenchymal stem cells (MSCs)». Journal of Orthopaedic Research 24 (1): 21-8. PMID 16419965. doi:10.1002/jor.20023.
- ↑ Gronthos S, Graves SE, Ohta S, Simmons PJ (1994). «The STRO-1+ fraction of adult human bone marrow contains the osteogenic precursors». Blood 84 (12): 4164-73. PMID 7994030.
- ↑ Oyajobi BO, Lomri A, Hott M, Marie PJ (1999). «Isolation and characterization of human clonogenic osteoblast progenitors immunoselected from fetal bone marrow stroma using STRO-1 monoclonal antibody». Journal of Bone and Mineral Research 14 (3): 351-61. PMID 10027900. doi:10.1359/jbmr.1999.14.3.351.
- ↑ Fischer, et al. «"Pulmonary passage is a major obstacle for intravenous stem cell delivery: The pulmonary first pass effect.».
- ↑ Wakatani, et al. «"Increased knee cartilage volume in degenerative joint disease using percutaneously implanted, autologous mesenchymal stem cells"».
- ↑ Baranovskii, D.S.; Klabukov, I.D.; Arguchinskaya, N.V.; Yakimova, A.O.; Kisel, A.A.; Yatsenko, E.M.; Ivanov, S.A.; Shegay, P.V. et al. (2022). «Adverse events, side effects and complications in mesenchymal stromal cell-based therapies». Stem Cell Investigation 9: 7. ISSN 2306-9759. PMC 9659480. PMID 36393919. doi:10.21037/sci-2022-025. Consultado el 14 de diciembre de 2022.
Traducción de (versión:http://en.wikipedia.org/wiki/Mesenchymal_stem_cell#cite_note-Wobus2008-0) 18. Salem H, Thiemermann C. Mesenchymal Stromal Cells: Current Understanding and Clinical Status. Stem Cells. 2010;28:585-596.
19. Dominici M, Blanc K, Mueller I, Slaper-Cortenbach I, Marini F, Krause D, et al. Minimal criteria for defining multipotent mesenchymal stromal cells. Cytotherapy . 2006: 8(4):315-7
20. Brooke G, Cook M, Blair C, Han R, Heazlewood C, Jones B, et al. Therapeutic applications of mesenchymal stromal cells. Semin Cell Dev Biol. 2007: 18(6):846-58.
21. Grassel S, Ahmed N. Influence of cellular microenvironment and paracrine signals on chondrogenic differentiation. Frontiers in Bioscience 2007:12:4946-4956
22. L. Chen, E.E. Tredget, P.Y. Wu, Y. Wu, Paracrine factors of mesenchymal stem cells recruit macrophages and endothelial lineage cells and enhance wound healing, PLoS ONE 3 (2008) e1886.
23. E.Y. Lee, Y. Xia, W.S. Kim, M.H. Kim, T.H. Kim, K.J. Kim, B.S. Park, J.H. Sung, Hypoxia-enhanced wound healing function of adipose-derived stem cells: increase in stem cell proliferation and up-regulation of VEGF and bFGF, Wound Repair Regen. 17 (2009) 540–547
24. Da Silva L, Fontes A, Tadeu D, Caplan A. Mechanisms involved in the therapeutic properties of mesenchymal stem cells. Cytokine Growth F R. 2009:20:419–427.
25. Imhof BA, Aurrand-Lions M. Adhesión mechanisms regulating the migration of monocytes. Nat Rev Immunol 2004;4:432–444.
26. Luster, AD, Alon R, von Andrian UH. Immune cell migration in inflammation: Present and future therapeutic targets. Nat Immunol 2005;6:1182–1190.
27. Chen Y, Shao J, Xiang L, Dongb X, Zhang G. Mesenchymal stem cells: A promising candidate in regenerative medicine. Int J Biochem Cell B. 2008:40: 815–820.
28. Vater, C., Kasten, P., & Stiehler, M. Culture media for the differentiation of mesenchymal stromal cells. Acta Biomaterialia , 2011:7:463–477.
29. Vallée M, Côté F, Fradette J. Adipose-tissue engineering: Taking advantage of the properties of human adipose-derived stem/stromal cells. Pathol Biol. 2009:57:309–317.
30. Golimollion C, Burg K. Stem cells and adipose tissue engineering. Biomaterials. 2006:27:6052–6063.
31. Zhu Y, Liu T, Song K, Fan X, Ma X, Cui Z. Adipose-derived stem cell: a better stem cell than BMSC. cell biochem funct. 2008:26(6):664-75.