
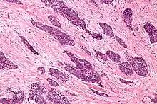
La desmoplasia o reacción desmoplásica es un fenómeno en el cual existe una colagenización del estroma de un tumor.[1] A los tumores que expresan este tipo de comportamiento se les llama desmoplásicos o escirrosos.[1] También se puede entender como un fenómeno de producción excesiva de tejido conectivo, pobre en células y rico en fibras de colágeno. Suelen acompañar a algunos tumores malignos epiteliales por activación excesiva de los blastodermos.
Desmoplasia es generalmente asociada a neoplasias malignas, que pueden evocar una respuesta de la fibrosis por invadir tejidos sanos. Carcinomas ductales metastáticos infiltrante de mama a menudo tienen un aspecto Escirroso, radiado causado por las formaciones desmoplásico.
Causas, mecanismos y consecuencias morfológicas
La reacción es causada por estimular la proliferación fibroblástica y miofibroblástica en la matriz extra-celular, con sustancias secretadas por las propias células del tumor.[1] A causa de este cambio estructural el tejido adquiere una consistencia pétrea.
Desmoplasia y cáncer
El cáncer comienza como las células que crecen sin control, generalmente, como resultado de un cambio interno o las mutaciones oncogénicas dentro de la célula. El cáncer se desarrolla y progresa como el microambiente somete a cambios dinámicos. La reacción estromal en cáncer es similar a la reacción estromal inducida por lesión o herida reparación: aumento de ECM y factor de crecimiento de la producción y secreción, que en consecuencia causar crecimiento del tejido. En otras palabras, el cuerpo reacciona de manera similar a un cáncer como lo hace a una herida, causando tejido similar al cicatricial que se construirá alrededor del cáncer. Como tal, el estroma circundante juega un papel muy importante en la progresión del cáncer. La interacción entre las células cancerosas y estroma tumoral circundante así es bidireccional, y el mutuo apoyo celular, permite la progresión de la neoplasia.
Factores de crecimiento para la vascularización, degradación, migración y proliferación
Estroma contiene componentes de la matriz extracelular como proteoglicanos y glicosaminoglicanos que son altamente negativos, debido en gran medida sulfatadas regiones y factores de crecimiento y citocinas, actuando como reservorio de estas citoquinas se unen. En los tumores, las células cancerosas segregan matriz degradar enzimas como metaloproteinasas de matriz (MMPs) que, una vez troceados y activado, degradan la matriz, de tal modo liberación de factores de crecimiento que la señal para el crecimiento de las células cancerosas. Las MMPs degradan también ECM para proporcionar espacio para vasculatura crecer el tumor, para las células del tumor migrar y para el tumor que siguen proliferando.
Mecanismos subyacentes de Desmoplasia
Desmoplasia se cree que tienen un número de causas subyacentes. En la hipótesis del estroma reactiva, las células del tumor causan la proliferación de fibroblastos y posterior secreción de colágeno. El colágeno recién secretado es similar a la del colágeno en la formación de la cicatriz – actuando como un andamio para la infiltración de células al sitio de la lesión. Además, las células cancerosas segregan matriz degradar enzimas para destruir el tejido normal ECM promoviendo el crecimiento y la invasión del tumor. Cáncer asociado con un estroma reactivo es típicamente diagnóstico de mal pronóstico.
La hipótesis de cambio stromal tumor-inducida afirma que las células del tumor pueden dedifferentiate en fibroblastos y, ellos mismos, secretan colágeno más. Esto se observó en el melanoma desmoplásico, en el cual las células del tumor son fenotípicamente fibroblástica y positivamente expresan los genes asociados con la producción de ECM. Sin embargo, desmoplasias benignos no exhiben diferenciación de las células tumorales.
Características de respuesta estroma desmoplásico
Una respuesta desmoplastic se caracteriza por grandes células del estroma con fibras extracelulares crecientes e immunohistochemically por la transformación de las células fibroblásticas tipo a un fenotipo myofibroblastic. Las células myofibroblastic en tumores se distinguen de los fibroblastos para su coloración positiva de la actina del músculo liso (SMA). Además, un aumento en totales colágenos fibrilares, fibronectinas, proteoglicanos y tenascin C son distintivos de la respuesta de estroma desmoplásico en varias formas de cáncer. Expresión de tenascina C por las células de cáncer de mama se ha demostrado que permite para la metástasis a los pulmones y causar la expresión de tenascina C por el tumor rodea las células del estroma. Además, tenascina C se encuentra ampliamente en tumor pancreático desmoplasia así.
Cicatrices
Mientras que las cicatrices están asociadas con la respuesta desmoplastic de varios tipos de cáncer, no todas las cicatrices están asociadas con neoplasias malignas. Cicatrices maduras son generalmente gruesos, colagenosas paquetes dispuestas horizontalmente con paucicellularity, los vasos sanguíneos verticales y sin apéndices. Esto se distingue de desmoplasia en la organización de los tejidos, los apéndices y orientación de los vasos sanguíneos. Cicatrices inmaduras son más difíciles de distinguir debido a sus orígenes neoplásicas. Estas cicatrices son hipercelular con fibroblastos y miofibroblastos, algunas células inmunes presentes. Las cicatrices inmaduras pueden distinguirse de desmoplasia por tinción inmunohistoquímica de tumores una biopsia que revelan el tipo y organización de células presentes así como si tiene trauma reciente ocurrió en el tejido.
Ejemplos de Desmoplasia
| Este artículo pueden contener ejemplos excesivos, pobres o irrelevantes. Por favor, mejorar el artículo agregando texto más descriptivo y quitando los ejemplos menos pertinentes. Ver de Copro Guía para escribir mejores artículos para más sugerencias. |
Ejemplos de condición benigna
- Nevo melanocítico desmoplásico.
- Nevo de spitz desmoplásico.
- Nevos azules celular desmoplásico.
- Nevo desmoplásico hipopigmentadas sin pelo.
- Tricoepitelioma desmoplásico.
- Trichilemmoma desmoplastic.
- Tumor desmoplásico del infundibulum folicular.
- Dermatofibroma esclerótica.
- Fibroblastoma desmoplásico.
- Neurothekeoma celular desmoplastic.
- Perineurioma esclerótico.
- Microvenular haemangioma.
- Cicatrices inmaduras.
Condición maligna ejemplos
- Melanoma maligno desmoplásico.
- Carcinoma de células escamosas desmoplásico.
- Carcinoma de células basales del morpheaform.
- Carcinoma anexial microquístico.
- Leiomiosarcoma cutáneo.
- Metástasis cutánea.
Morfología y causas de aparición del LCM
En la actualidad, es considerado biológicamente muy heterogéneo, pero tiene una característica especial y es que además de expresar los marcadores de superficie de células B, también expresan el marcador CD5 (que suelen aparecer en un número reducido de linfomas B).
Sin embargo, lo que más caracteriza a esta entidad, es la transacción de un congénito: la ciclina D1 (esto significa, que cambia su localización en los cromosomas) junto a uno de los genes de las hemoglobinas (IgH).
La transacción t (11; 14) (q13; q32) hace que aumente la producción de la diclina D1, misma que estimula, la división celular y el crecimiento de las células tumorales. Podemos considerar a la ciclina D1 como una de las principales causas de la enfermedad en virtud de que,
- Altera el control celular sobre los mecanismos que controlan la supresión de genes tumorales.
- Altera la capacidad de destrucción de otras moléculas dañinas para las células normales, pero en aquellas células que ya han sufrido una transformación tumoral, hace que sus efectos nocivos se multipliquen sobre el organismo.
En una pequeña proporción de pacientes con LCM, además de la excesiva producción de ciclina D1, aparece la sobre-expresión de otras ciclinas (D2, D3) y otros genes asociados a tumores (gen ATM). Este fenómeno, podría ser un acontecimiento relevante que predispone al desarrollo del linfoma, ya que este gen, produce la proteína ATM que actúa sobre la programación de la muerte de las células normales (que ha de ocurrir cuando envejecen o se deterioran), a través del gen p53. También se han detectado mutaciones del gen p53 en el LCM y podrían actuar de forma independiente en la producción del tumor.
Referencias
- 1 2 3 Kumar, Vinay, 1944-; Aster, Jon C. (2015). Robbins y Cotran. Patología estructural y funcional.. Elsevier Health Sciences Spain - T. ISBN 9788490228791. OCLC 936877819. Consultado el 1 de junio de 2019.