| Enfermedad de Rosai-Dorfman | ||
|---|---|---|
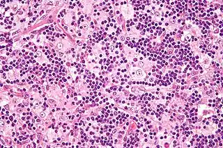
![]() Micrografía de un nodo linfático afectado por la enfermedad de Rosai-Dorfman mostrando emperipolesis. Tinción H&E. | ||
| Especialidad | hematología | |
La enfermedad de Rosai–Dorfman, también conocida como Histiocitosis sinusoidal es una rara enfermedad benigna de causa desconocida que se caracteriza por la sobreproducción de histiocitos, los cuales se acumulan en los ganglios linfáticos a través de todo el cuerpo.[1] Las linfoadenopatías del cuello son el lugar más característico para la acumulación de histiocitos, aunque la acumulación también puede ser extraganglionar. La piel, el tracto respiratorio alto y las cavidades sinusales son los lugares extraganglionares que con mayor frecuencia se ven afectados.[2][3] Los síntomas de la enfermedad pueden variar según el lugar que se vea comprometido. El nombre proviene de Ronald F. Dorfman y Juan Rosai.
Referencias
- ↑ James, William D.; Berger, Timothy G.; et al. (2006). Andrews' Diseases of the Skin: clinical Dermatology. Saunders Elsevier. ISBN 0-7216-2921-0.
- ↑ Foucar E, Rosai J, Dorfman R (1990). «Sinus histiocytosis with massive lymphadenopathy (Rosai-Dorfman disease): review of the entity». Semin Diagn Pathol 7 (1): 19-73. PMID 2180012.
- ↑ Walid MS, Grigorian AA (2010). «Ethmo-spheno-intracranial Rosai-Dorfman disease». Indian J Cancer 47 (1): 80-81. PMID 20071801. doi:10.4103/0019-509X.58870.
Este artículo ha sido escrito por Wikipedia. El texto está disponible bajo la licencia Creative Commons - Atribución - CompartirIgual. Pueden aplicarse cláusulas adicionales a los archivos multimedia.
