| Fístula aortoentérica | ||
|---|---|---|
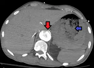
![]() Fístula arortoentérica y disección aórtica de la aorta torácica. La flecha indica la solapa en la aorta. La heterogeneidad es sangre en el estómago. | ||
Una fístula aortoentérica es una conexión anormal[1] entre la aorta y los intestinos, el estómago o el esófago. Por aquí puede haber una pérdida significativa de sangre que es acumulada en los intestinos lo que produce heces con sangre y la muerte.[2] Por lo general, es secundaria a una reparación de aneurisma aórtico abdominal. La tercera o cuarta porción del duodeno es el sitio más común para la formación de fístulas aortoentéricas, seguida del yeyuno y el íleon.
Diagnóstico
El diagnóstico suele ser a través de una angiografía por tomografía computarizada, esofagogastroduodenoscopia o arteriografía.[2] Es parte del diagnóstico diferencial del sangrado gastrointestinal.[3]
Referencias
- ↑ Fístula. Medicine Plus.
- 1 2 Xiromeritis, K; Dalainas, I; Stamatakos, M; Filis, K (Jul–Sep de 2011). «Aortoenteric fistulae: present-day management.». International surgery (en inglés) 96 (3): 266-73. PMID 22216707.
- ↑ Acosta, RD; Wong, RK (Oct. de 2011). «Differential diagnosis of upper gastrointestinal bleeding proximal to the ligament of Trietz.». Gastrointestinal Endoscopy Clinics of North America (en inglés) 21 (4): 555-66. PMID 21944410. doi:10.1016/j.giec.2011.07.014.
Enlaces externos
- Esta obra contiene una traducción total derivada de «Aortoenteric fistula» de Wikipedia en inglés, concretamente de esta versión, publicada por sus editores bajo la Licencia de documentación libre de GNU y la Licencia Creative Commons Atribución-CompartirIgual 4.0 Internacional.
| Clasificación |
|---|
Este artículo ha sido escrito por Wikipedia. El texto está disponible bajo la licencia Creative Commons - Atribución - CompartirIgual. Pueden aplicarse cláusulas adicionales a los archivos multimedia.
