| Fluorosis dental | ||
|---|---|---|
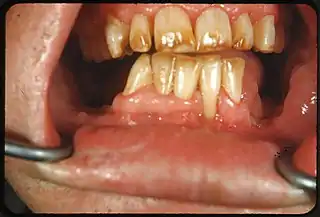
![]() Manchas de color blanco o café en la superficie dental | ||
| Especialidad | estomatología | |
La fluorosis dental es una anomalía de la cavidad oral, en especial de las piezas dentales, es una hipoplasia o hipomaduración del esmalte producida por la ingestión crónica o excesiva de fluoruro.[1]
Historia
En 1916 G.V. Black y F. McKay, describieron por primera vez bajo el término de esmalte moteado un tipo de hipoplasia del esmalte. Aunque se sabe que hubo referencias anteriores en la bibliografía, Black y McKay reconocieron que ésta lesión tiene una distribución geográfica e incluso sugirieron que era causada por alguna sustancia que contiene el agua, pero no fue sino hasta 1930-40 que se demostró que el agente causal era el fluoruro.
Patogenia
Esta hipoplasia se debe a la alteración que sufren los ameloblastos durante la etapa formativa del desarrollo dental, que afecta a la formación de la matriz del esmalte, así como a su calcificación. El flúor en condiciones y cantidades normales (1mg/litro de agua) se incorpora a la hidroxiapatita y forma la F-hidroxiapatita, aumentando la resistencia del esmalte. Sin embargo, en concentraciones elevadas produce alteraciones. Hay manifestación histológica de daño celular; es probable que el producto celular, la matriz del esmalte, esté defectuoso o deficiente; también se ha mostrado que mayores niveles de fluoruro obstruyen el proceso de calcificación de la matriz.
Etiología
En la actualidad se sabe que la ingestión de agua potable, que contiene fluoruro, en una proporción superior a una parte por millón (1ppm) durante los primeros diez años de vida aproximadamente durante la época de formación dental, puede dar lugar a un esmalte moteado que se presenta inicialmente como las "manchas blancas".[2] La intensidad de dicho moteado aumenta según la cantidad de fluoruro que contenga el agua. De este modo, hay un moteado mínimo de poca importancia clínica cuando el agua contiene un nivel menor de 0,9 a 1 partes por millón de fluoruro que se vuelva más notorio cuando el nivel es mayor. El esmalte a su vez tiende a destruirse, llevando así a la formación de caries, lesiones o cavidades. El diente se pone más poroso, la porosidad del diente afectado aumenta dependiendo del grado de fluorosis. El grado de fluorosis se relaciona directamente con la erupción del diente[3]
Clasificación
Thylsprup Fejerskov propusieron un sistema de clasificación conocido como índice TF, que se basa en los diferentes grados histopatológicos propios de la fluorosis dental y en los cambios adamantinos que se observan en la misma.[4]
Índice de TF
- TF 0 (Normal): Esmalte normal. Color uniforme y presencia de translucidez.
- TF 1 (Cuestionable): Esmalte normal, liso, translúcido y cristalino, acompañado por finas líneas blancas opacas horizontales.
- TF 2 (Muy leve): Esmalte normal, liso, translúcido y cristalino, acompañado por gruesas líneas blancas opacas horizontales y con la presencia de manchones blancos opacos dispersos sobre la superficie del esmalte.
- TF 3 (Leve): Esmalte normal, liso, translúcido y cristalino, en el que se observan líneas blancas opacas de mayor amplitud, con manchones blancos opacos y de color, que varía del amarillo hasta el café, dispersos sobre la superficie del esmalte dando característica de veteado.
Fluorosis Leve - TF 4 (Moderado): Toda la superficie exhibe una marcada opacidad parecida al blanco tiza o gis, pudiendo estar acompañada de betas y manchas de color, desde amarillo a marrón, pudiendo aparecer partes desgastadas por atrición.
- TF 5 (Severo): Superficie totalmente blanca opaca, con pérdida de partículas superficiales aparentando cráteres redondos menores a 2mm.
- TF 6 (Severo): Superficie totalmente blanca opaca, con mayor cantidad de cráteres, formando bandas horizontales de esmalte faltante.
- TF 7 (Severo): Superficie totalmente blanca opaca, con pérdida de superficie de esmalte en áreas irregulares discontinuas. Abarca menos del 50% de la superficie de esmalte.
- TF 8 (Severo): Pérdida de superficie de esmalte que abarca un área menor al 50%. El esmalte remanente se observa blanco opaco.
Fluorosis Moderada, Anomalía Dentaria de Estructura
Fluorosis Severa - TF 9 (Severo): Pérdida de superficie de esmalte que abarca un área mayor al 50%. El esmalte remanente es blanco opaco
Cuadro clínico
Dependiendo del nivel de fluoruro en el agua, el aspecto de los dientes moteados, puede variar:
- Cambios caracterizados por manchas de color blanco en el esmalte,
- Cambios moderados manifestados por áreas opacas blancas que afectan más el área de la superficie dental.
- Cambios moderado e intensos que muestran formación de fosetas y coloración parda de la superficie e incluso:
- Apariencia corroída.
Los dientes afectados moderada o intensamente pueden mostrar tendencia a desgastar, e incluso fracturar, el esmalte. Algunos estudios demuestran que estos dientes presentan dificultades para sostener las restauraciones dentales.
Para prevenir la aparición de fluorosis, en Europa está prohibida la comercialización de dentífricos con más de 1500 ppm de flúor. Además los dentífricos con más de 1000 ppm de flúor han de ser de uso exclusivo para adultos o bien incluir una advertencia de seguridad en su etiquetado.[5]
Diagnóstico diferencial

El diagnóstico diferencial incluye:
- Lesiones del esmalte dental causadas por una enfermedad celíaca no diagnosticada o tardíamente tratada. Por lo general, se trata de lesiones simétricas: si aparecen en el diente/molar derecho, también lo hacen en su opuesto al lado izquierdo. Consisten en decoloración (manchas blancas, amarillas o marrones), esmalte débil, bandas o picaduras del esmalte, o dientes translúcidos. Pueden constituir el único signo que indique la presencia de la enfermedad celíaca, en ausencia de síntomas digestivos o de otro tipo. La gran mayoría de los dentistas desconocen su relación con la enfermedad celíaca y las atribuyen por error a una fluorosis, a que la madre tomó tetraciclina o a otras causas.[6][7][8][9]
- Algunas formas leves de amelogénesis imperfecta.
- Defectos del esmalte causados por infección de un elemento dentario temporal antecesor.
- Caries incipiente.
Tratamiento
El esmalte moteado con frecuencia se mancha de un desagradable y antiestético color pardo. Por razones estéticas es práctico el blanqueamiento con un agente como el peróxido de hidrógeno pero manejado por un experto bucal. Este procedimiento con frecuencia es eficaz (dependiendo del grado de fluorosis); sin embargo debe realizarse periódicamente, ya que los dientes continúan manchándose.[10] Una solución más definitiva es un tratamiento protésico, es decir coronas o preferiblemente carillas estéticas dentales de cerámica dental. El tratamiento de la fluorosis es directamente proporcional al estadio de la lesión.[11]
Referencias
- ↑ Enamel Fluorosis, from the Sitio de la "American Academy of Pediatric Dentistry", visto 18 de marzo de 2006.
- ↑ Hidalgo, Iliana (oct.-dic. 2007). «Fluorosis dental: no solo un problema estético». Rev Cubana Estomatol v.44 n.4 Ciudad de La Habana. Consultado el 5/10/2021.
- ↑ Hidalgo, Iliana (oct.-dic. 2007). «Fluorosis dental: no solo un problema estético». Rev Cubana Estomatol v.44 n.4 Ciudad de La Haban. Consultado el 5/10/2021.
- ↑ «Fluorosis dental: alternativa conservadora para su tratamiento. Caso clínico».
- ↑ «Microabrasion for dental fluorosis». Dental Abstracts 59 (5): 255-256. 2014-09. ISSN 0011-8486. doi:10.1016/j.denabs.2014.03.023. Consultado el 25 de octubre de 2021.
- 1 2 National Institutes of Health (NIH). «Dental Enamel Defects and Celiac Disease». Archivado desde el original el 17 de junio de 2016. Consultado el 1 de febrero de 2016. «Tooth defects that result from celiac disease may resemble those caused by too much fluoride or a maternal or early childhood illness. Dentists mostly say it’s from fluoride, that the mother took tetracycline, or that there was an illness early on ».
- ↑ Ferraz EG, Campos Ede J, Sarmento VA, Silva LR (2012 Nov-Dec). «The oral manifestations of celiac disease: information for the pediatric dentist». Pediatr Dent (Revisión) 34 (7): 485-8. PMID 23265166.
- ↑ Rashid M, Zarkadas M, Anca A, Limeback H (2011). «Oral manifestations of celiac disease: a clinical guide for dentists». J Can Dent Assoc (Revisión) 77: b39. PMID 21507289.
- ↑ Giuca MR, Cei G, Gigli F, Gandini P (2010 Jan-Feb). «Oral signs in the diagnosis of celiac disease: review of the literature». Minerva Stomatol (Revisión) 59 (1-2): 33-43. PMID 20212408.
- ↑ Acosta de Camargo, (22 de enero de 2021). «Nivel de conocimiento de defectos de esmalte y su tratamiento entre odontopediatras». Revista De Odontopediatría Latinoamericana. Consultado el 12/09/2021.
- ↑ Covaleda Rodriguez, Torres Peñuela (28-Jun-2021). «Abordaje clínico mínimamente invasivo de fluorosis dental en estadios de TF1 a TF5. Revisión sistemática.». Avances en Odontoestomatología. Consultado el 12/09/2021.
Bibliografía
- Diccionario de Medicina Mosby. Editorial Océano 2005
- Tratado de Patología Bucal W:G: Shafer, B:M: Levy Editorial Interamericana.
