| Fractura del húmero | ||
|---|---|---|
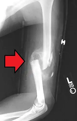
![]() Radiografía de una fractura conminuta del húmero izquierdo. | ||
La fractura del húmero se observa en todos los grupos de edad, pero es más frecuente en los ancianos y adultos jóvenes.[1] Se puede clasificar por la ubicación del húmero implicada: el extremo superior, el eje, o el extremo inferior.
Cerca del 85% de las fracturas del húmero no desplazan al hueso de su posición anatómica, por lo que pueden ser tratadas sin intervención de ortopédica quirúrgica. La causa más común de fracturas de húmero proximal es una caída desde los pies del sujeto, seguido por accidentes automovilísticos y una caída de escaleras.[2] Otros mecanismos adicionales incluyen violentas contracciones musculares por convulsiones, electrocución, y los traumatismos relacionados con el atletismo. La mayoría de las fracturas de húmero proximal son cerradas.
Lesiones asociadas
Ciertas lesiones son comúnmente asociadas con áreas específicas de fracturas del húmero. En el extremo superior, pueden estar involucrados tanto el cuello quirúrgico del húmero como el cuello anatómico del húmero, aunque las fracturas de cuello quirúrgico son más comunes. El nervio axilar puede verse dañado en este tipo de fracturas. Las fracturas del tercio medio pueden dañar el nervio radial, que atraviesa la cara lateral del húmero, estrechamente asociado con la ranura radial. El nervio mediano es vulnerable a los daños en la zona supracondilea, y el nervio ulnar es vulnerable cerca del epicóndilo medial, en torno al cual gira en su trayecto para entrar en el antebrazo.
Fracturas proximales del húmero
Al extremo superior del húmero se le conoce como epífisis proximal y es una región que se fractura con poca frecuencia y cuando ocurren, es principalmente en personas mayores de 60 años.[3] El tratamiento suele ser conservador con manejo del dolor e inmovilización con férula y posterior rehabilitación con fisioterapia. La verdadera incidencia de desgarros del manguito rotador es desconocida. Son más comunes en pacientes de mayor edad, las lesiones de alta energía, y donde existe un importante desplazamiento.
Fracturas del troquíter
La tuberosidad mayor del húmero o troquíter da inserción al músculo supraespinoso, músculo infraespinoso y músculo redondo menor.[4] Es un segmento óseo que puede fracturarse cuando se produce por un golpe violento y directo a la cabeza humeral, en una caída de lado contra el suelo, conllevando a seis variantes de acuerdo a la clasificación de Neer:[3]
- Fractura del vértice del troquíter
- Fractura del troquín del húmero
- Fractura conminuta con gran compromiso óseo
- Fractura sin desplazamiento o desplazamiento mínimo del fragmento
- Fractura con desplazamiento del fragmento
- Fractura con luxación
El brazo afectado se sostiene con un cabestrillo por 2 o 3 semanas, al cabo del cual el pronóstico es bueno y la consolidación es rápida. Ocasionalmente, en especial con desplazamiento de fragmentos del troquíter, se requiere de una intervención quirúrgica llamada osteosíntesis.
Fracturas del cuello del húmero

Las fracturas de la metáfisis o cuello del húmero son frecuentes en niños y pacientes mayores de 50 años y en la mayoría de los casos como consecuencia de un mecanismo indirecto, como una caída en la que el sujeto se apoya con el miembro superior extendido. Ciertos trastornos como la osteoporosis favorecen la fractura del cuello del húmero.
El desplazamiento de fragmentos rara vez excede los 15-20° y no necesita de ninguna maniobra reductiva. Si la fractura produce una desviación mayor de 25°, se suele intentar una reducción manual por un ortopedista y la inmovilización con vendaje tipo Velpeau,[5] también llamado cabestrillo de elevación, en la que la mano del lado afectado queda a nivel del hombro del lado opuesto. La reducción quirúrgica es de indicación excepcional.
La complicación de la necrosis avascular de la epífisis humeral es una observación frecuente en niños y en pacientes quienes han recibido maniobras violentas en un intento de reducir los fragmentos fracturados.
Fracturas diafisarias del húmero
La diáfisis del húmero es el segmento largo del hueso y suele fracturarse en la inmensa mayoría de los casos en adultos que, en plena actividad y como consecuencia de acciones violentas, aplican golpes contusos o penetrantes directamente sobre el brazo. Algunas de las causas de este tipo de fractura incluyen caídas de motocicleta y otros accidentes viales, arrollamientos, caídas de caballos, caídas de patines, etc. Las fracturas diafisarias del húmero ocurren en pacientes con edad promedio de 55 años y representan cerca del 1% de todos los casos de fracturas.[2] Por lo violento que suele ser el golpe, la fractura de la diáfisis del húmero tiende a acompañarse con lesiones secundarias al nervio radial y, con menos frecuencia, a la arteria humeral.
Ocasionalmente, las fracturas diafisarias del húmero causadas por golpes leves y de poca intensidad, como el lanzar un objeto o ser golpeado por una pelota, hace sospechar una fractura patológica por metástasis al hueso, mieloma múltiple, etc.
Los tipos más frecuentes de fractura de la porción larga del húmero incluyen:[6]
- Fracturas transversales:
- Fractura del tercio distal
- Fracturas oblicuas cortas: las fracturas desplazadas en los segmentos distales del húmero resultan difíciles de reducir y son difíciles de mantener en la posición de reducción de la posición; estas fracturas pueden estar asociadas con retraso en la cicatrización
- Fracturas en espiral largo:
- las fracturas en espiral, las conminutas, y las fracturas oblicuas tienen la ventaja de presentar una superficie generosa que tiende a cicatrizar rápidamente;
- si se desplaza con un espacio que no se cierra entre los segmentos fracturas en los intentos de restablecer la alineación, puede haber interposición muscular;
- si se deja con una buena alineación, pero con una diferencia significativa entre los fragmentos fracturados, estos pasan a formar un callo o pseudoartrosis atrófica;
Tratamiento
El objetivo del manejo de las fracturas del húmero es minimizar el movimiento del paciente y proporcionar una analgesia adecuada para que el paciente esté cómodo en el entorno del cuidado agudo de sus lesiones. El entender cómo se cura la fractura con cada forma de tratamiento es esencial para la selección de la opción más apropiada para cada fractura.[7] El médico ortopedista comprende las indicaciones adecuadas para cada modalidad de tratamiento y reconoce la situación biológica y los aspectos técnicos que subyacen en su uso, aprecia la importancia de cualquier desviación de los fragmentos, así como secuelas nocivas, por lo que el tratamiento de fracturas debe ser consultado con un especialista.
Fractura de húmero proximal

La mayoría de las fracturas con desplazamientos mínimos del húmero proximal se pueden abordar de manera no operatoria. Las fracturas de la tuberosidad mayor del húmero pueden cursar asociadas con desgarros del manguito rotador. El tratamiento principal consiste en la colocación de una férula o un yeso y un cabestrillo.
Las fracturas de cuello anatómico deben referirse a un ortopedista, debido al riesgo de necrosis avascular.[8]
Las fracturas del tercio distal diafisarias tienen sus propias consideraciones sobre el tratamiento. Existen dos opciones de tratamiento, el tratamiento funcional con férula o reducción abierta y fijación interna del húmero. Cada método tiene sus propias ventajas y desventajas. El tratamiento final depende de la elección del paciente y de la preferencia de los especialistas.
Fracturas diafisarias de húmero
Las fracturas diafisarias del húmero deben estabilizarse mediante una férula de coaptación. Para ello, se envuelve el material de ferulización desde la axila hasta la nuca rodeando todo el codo. La reducción de la fractura no suele ser necesaria porque la reducción es difícil de mantener. Dado que el hombro tiene capacidad compensatoria, es aceptable una angulación entre 30-40°.
La mayoría de las fracturas diafisarias aisladas del húmero proximal pueden ser manejadas por un ortopedista en un consultorio. Incluso los pacientes con fracturas que pueden requerir cirugía general en el futuro, puede ser dados de alta con principios de cuidados y seguimiento ambulatorio en caso de que sea una fractura no complicada.
Las fracturas abiertas representan una emergencia quirúrgica; por lo que deben ser referidos a los ortopédicos para obtener de inmediato una valoración y conducta. El trauma penetrante requiere especial control neurovascular. La luxación glenohumeral asociada con una fractura de húmero proximal también requiere evaluación ortopédica. El codo flotante, es decir, fracturas ipsilaterales de húmero y antebrazo, por lo general requieren reparación quirúrgica.[2]
Pronóstico
El grado de recuperación así como el plazo para conseguirla, depende de:
- Edad del paciente: pasados los 45 años el riesgo de limitación a la abducción es progresivo
- Fuerza de la contusión muscular, especialmente del deltoides
- Grado de la potencia de los músculos del hombro
- Obesidad
- Grado de comprensión y cooperación del paciente
Factores que retardan la recuperación de una fractura:
- Inadecuada rehabilitación
- Pasados los 45 a 50 años de edad la rehabilitación es progresivamente más difícil
- Musculatura con desarrollo deficiente
- Obesidad
- Arrancamiento óseo con desplazamiento del fragmento
- Diagnóstico tardío
Véase también
Referencias
- ↑ Marc F. Swiontkowski; Elizabeth A. Arendt. Manual de Ortopedia y Traumatología (2da edición). España: Elsevier. p. 221. ISBN 844581222X. Consultado el 20 de abril de 2009.
- 1 2 3 Aronson, Andrew A; Adarsh K Srivastava (july de 2008). «Fracture, Humerus». Emergency Medicine: Trauma & Orthopedics (en inglés). eMedicine.com. Consultado el 20 de abril de 2009.
- 1 2 Rodrigo Miralles Marrero (2001). Valoración del daño corporal en elaparato locomotor. España: Elsevier. p. 89. ISBN 8445810812.
- ↑ Beatriz Bonet Beltrán. A propósito de un caso: fractura subcapital de humero (artículo completo disponible en español). Publicado en línea por efisioterapia.net/ Último acceso 21 de abril, 2009
- ↑ Marc F. Swiontkowski; Elizabeth A. Arendt (2005). Manual de Ortopedia y Traumatología. España: Elsevier. pp. 88-89. ISBN 844581222X. Consultado el 21 de abril de 2009.
- ↑ R. Ekholm y col. Fractures of the shaft of the humerus Archivado el 27 de mayo de 2009 en Wayback Machine. (en inglés). Journal of Bone and Joint Surgery - British Volume, Vol 88-B, Issue 11, 1469-1473. Último acceso 21 de abril, 2009. doi: 10.1302/0301-620X.88B11.17634
- ↑ Sarmiento A, Waddell JP, Latta LL. Diaphyseal humeral fractures: treatment options (en inglés). 1: Instr Course Lect. 2002;51:257-69. Último acceso 21 de abril, 2009. PMID 12064111
- ↑ Augusto Sarmiento (2005). «Capítulo C: Cabeza del húmero: Fracturas». Orthopaedic Ruminations: Reflections on a changing discipline. Prous Science. p. 22. ISBN 8481242152.
