
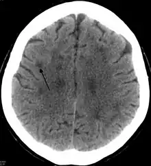
TC mostrando leucoencefalopatía probablemente debida a una isquemia de pequeños vasos. La flecha apunta solo a una de las muchas áreas.
El término leucoencefalopatía es usado para las enfermedades similares a las leucodistrofias.[1] Se aplica a cualquier enfermedad de la sustancia blanca del cerebro, independientemente de que su causa sea conocida o no. Puede referirse específicamente a estas enfermedades:
- Leucoencefalopatía con sustancia blanca evanescente
- Leucoencefalopatía con esferoides axonales
- Leucoencefalopatía esclerosante de Van Bogaert
- Leucoencefalopatía megaencefálica con quistes subcorticales
- Leucoencefalopatía multifocal progresiva
- Leucoencefalopatía por hipertensión
- Leucoencefalopatía tóxica
- Leucoencefalopatía vascular progresiva
- Síndrome de leucoencefalopatía posterior reversible.
Referencias
- ↑ Lyon, G.; Fattal-Valevski, A.; Kolodny, E. H. (2006). «Leukodystrophies». Topics in Magnetic Resonance Imaging 17 (4): 219-42. PMID 17414998. doi:10.1097/RMR.0b013e31804c99d4.
Este artículo ha sido escrito por Wikipedia. El texto está disponible bajo la licencia Creative Commons - Atribución - CompartirIgual. Pueden aplicarse cláusulas adicionales a los archivos multimedia.